Catalog# HA721455
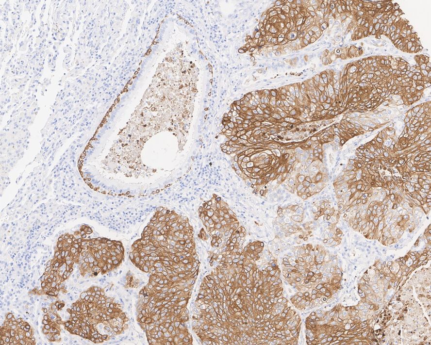
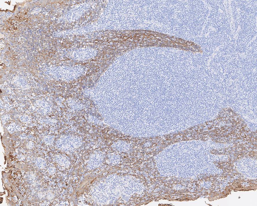
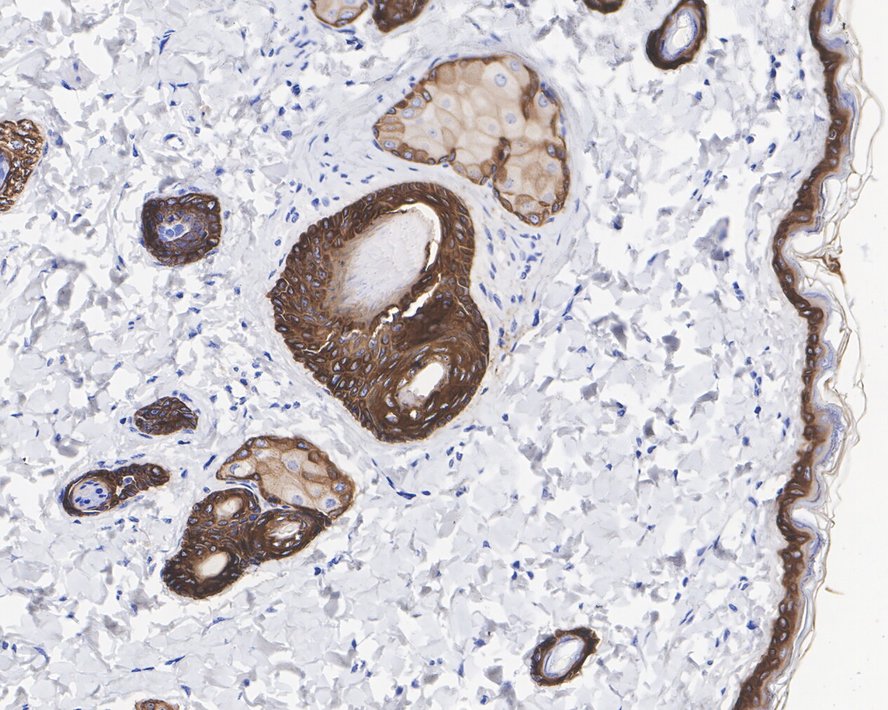
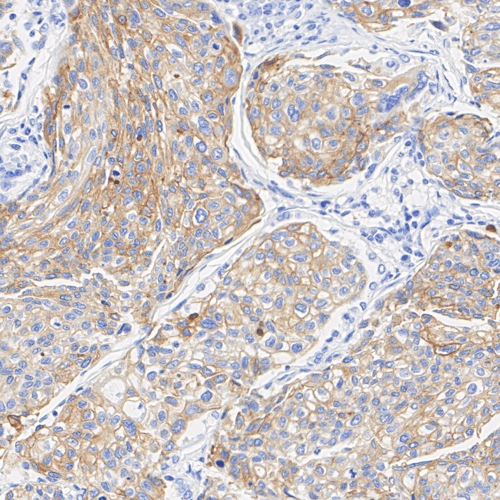
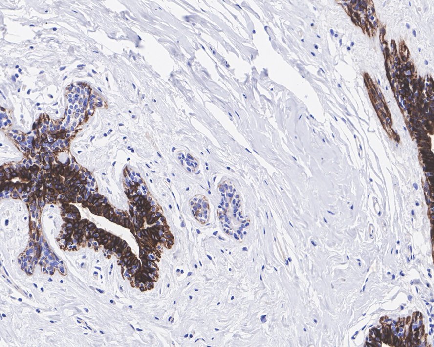
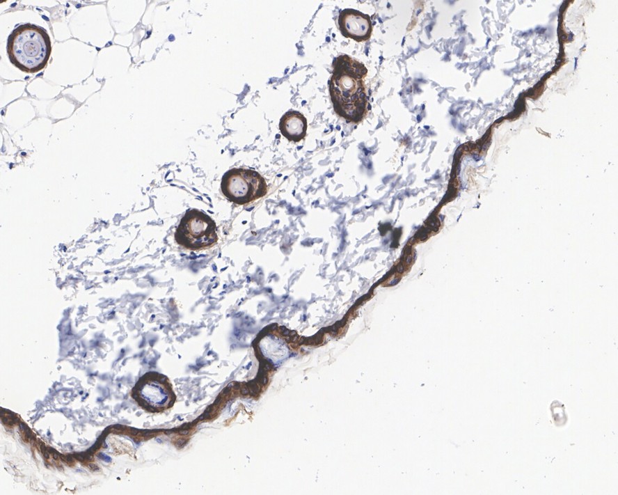
Cytokeratin 5+6 Recombinant Rabbit Monoclonal Antibody [PSH0-67]
Application
-
IHC-P
-
IF-Tissue
-
WB
Reactivity
-
Human
-
Mouse
-
Rat
Conjugation
-
unconjugated
This product has been cited in peer reviewed publications, see list HERE


浙公网安备 33019202000643号