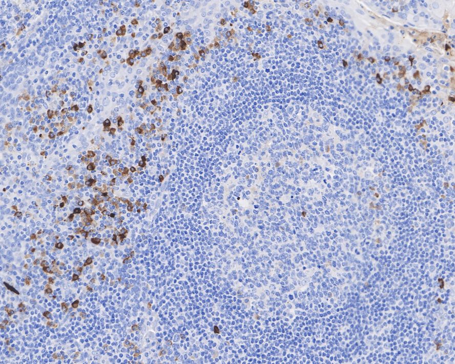
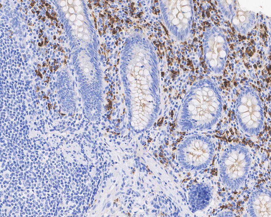
Kappa Light Chain Recombinant Mouse Monoclonal Antibody [A8H10-R] - BSA and Azide free
Catalog# HA610141
Kappa Light Chain Recombinant Mouse Monoclonal Antibody [A8H10-R] - BSA and Azide free
Application
-
WB
-
IHC-P
Reactivity
-
Human
With BSA and Azide
-
HA601266
含抗保成分
Conjugation
-
unconjugated
浙公网安备 33019202000643号