Catalog# HA601266
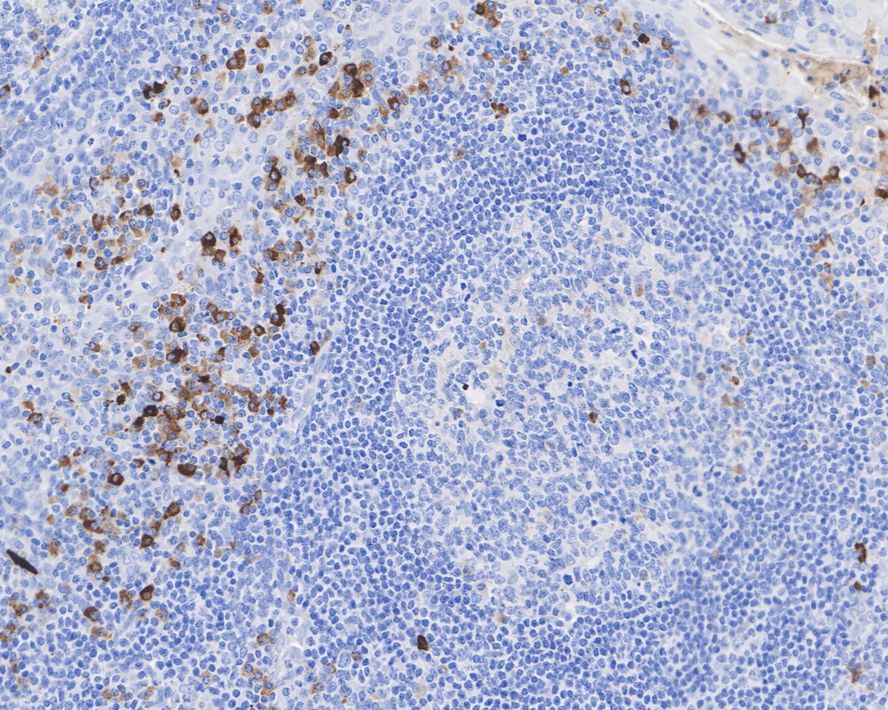
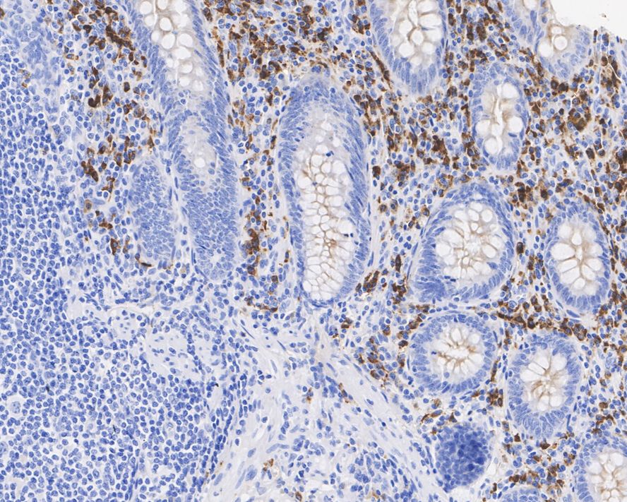
Kappa Light Chain Recombinant Mouse Monoclonal Antibody [A8H10-R]
Application
-
WB
-
IHC-P
Reactivity
-
Human
BSA and Azide free
-
HA610141
不含抗保成分
Conjugation
-
unconjugated


浙公网安备 33019202000643号