Catalog# HA601389
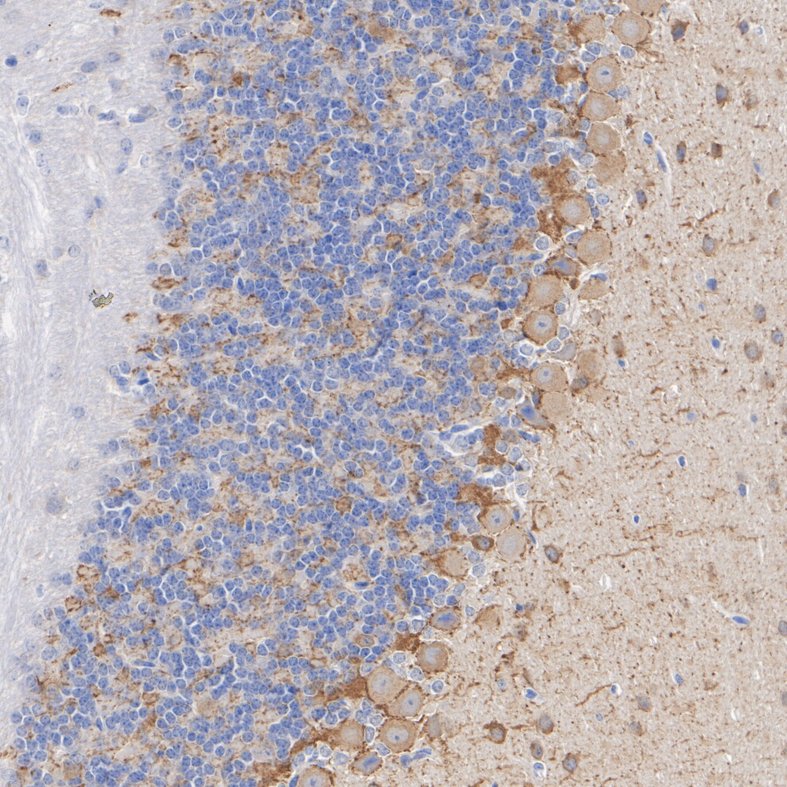
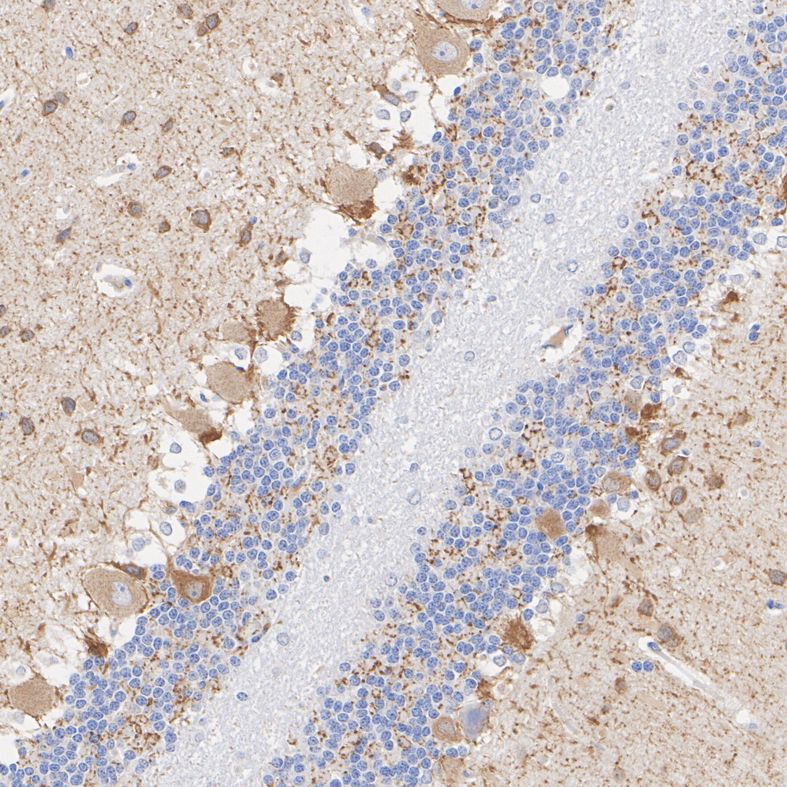
GAD65 Recombinant Antibody [PSH06-80] - Rat IgG1 (Chimeric)
Application
-
IHC-Fr
-
IHC-P
-
WB
Reactivity
-
Mouse
-
Rat
BSA and Azide free
-
HA610232
不含抗保成分
Predicted reactivity
预测的种属支持售后
-
Human
-
Cynomolgus monkey
-
Pig
Conjugation
-
unconjugated


浙公网安备 33019202000643号