Catalog# ET7107-29
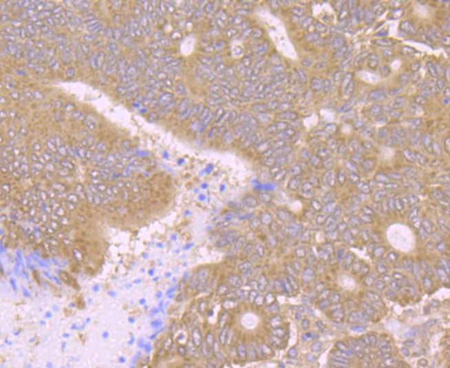
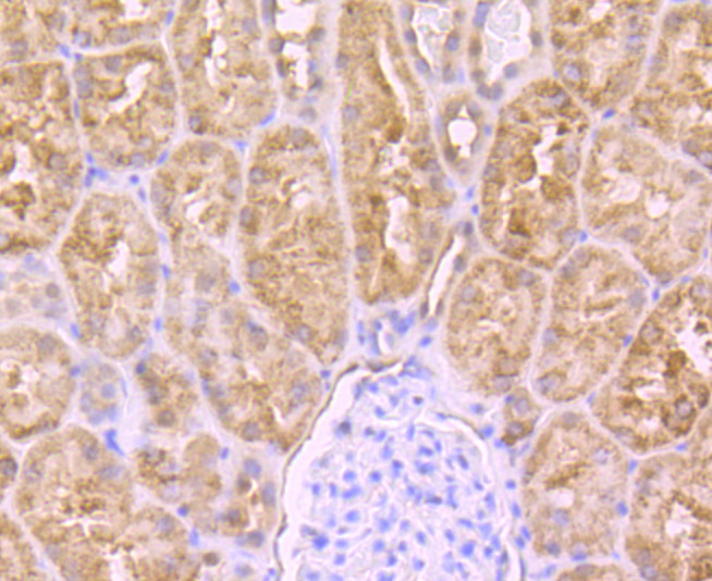
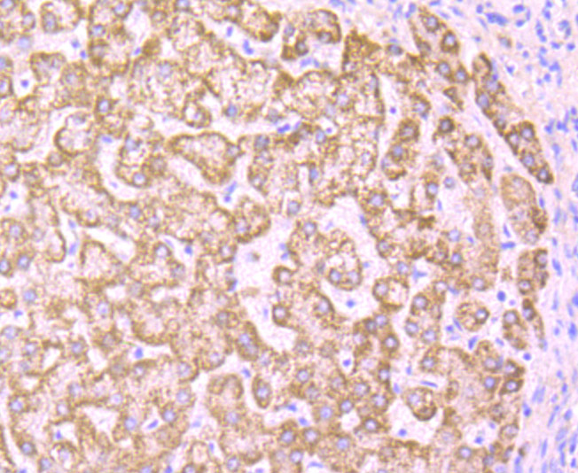
PCK2 Recombinant Rabbit Monoclonal Antibody [JB52-39]
Application
-
WB
-
IF-Cell
-
IF-Tissue
-
IHC-P
-
FC
Reactivity
-
Human
-
Mouse
-
Rat
Conjugation
-
unconjugated
This product has been cited in peer reviewed publications, see list HERE


浙公网安备 33019202000643号