Skip to content

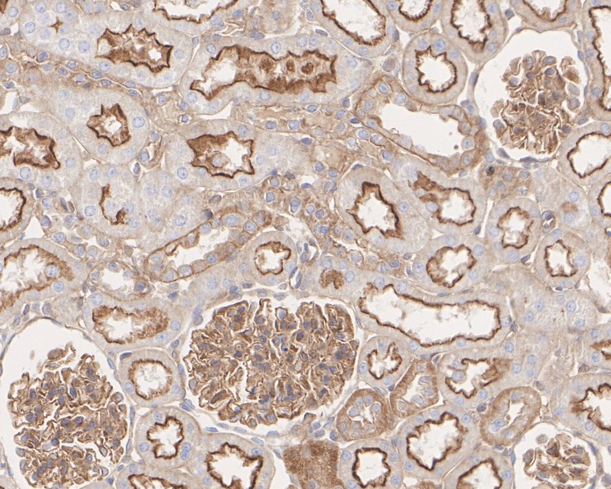
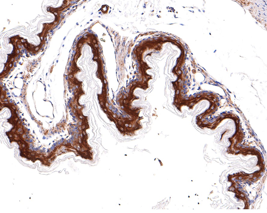
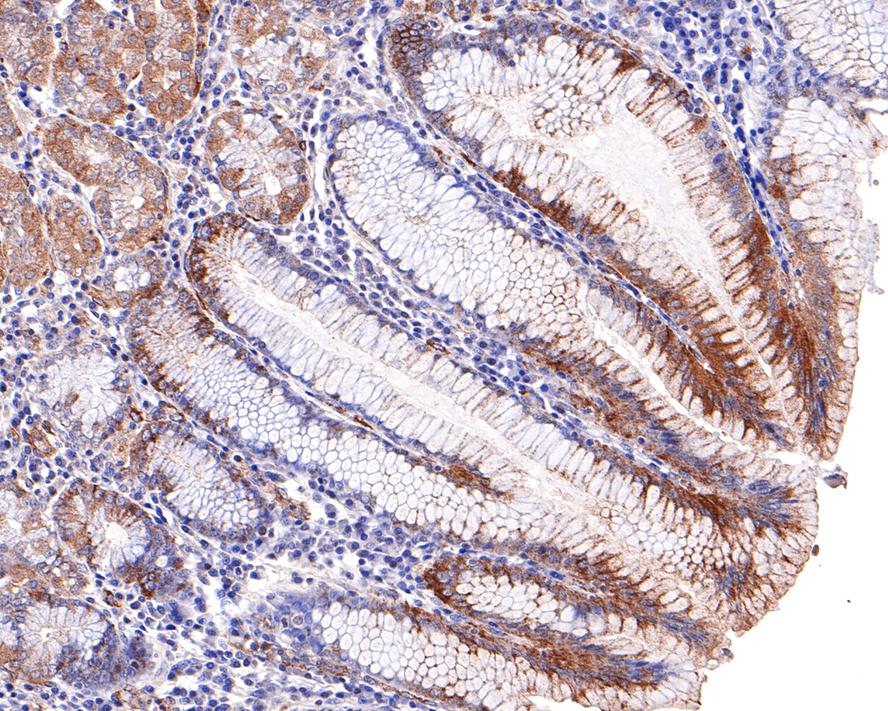
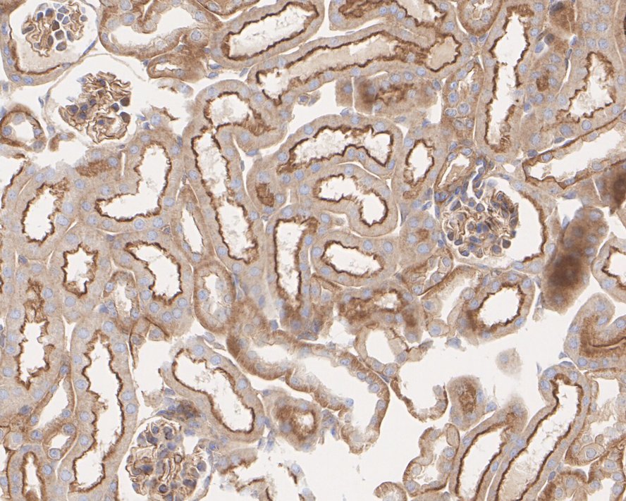
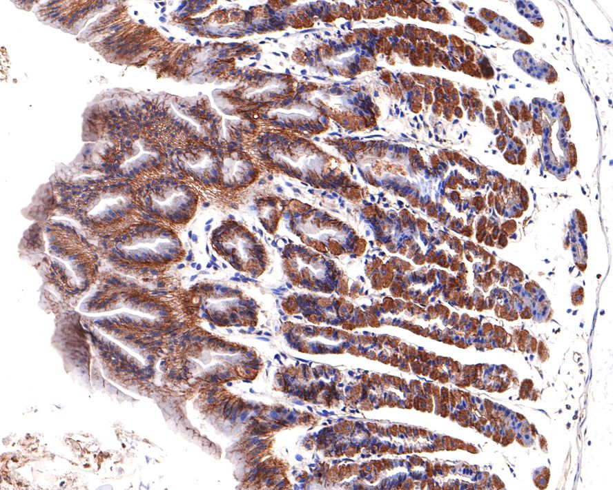
TXNIP Recombinant Rabbit Monoclonal Antibody [JM60-35]

RMB: 900 特惠 1500

产品规格

Catalog# ET1705-72

TXNIP Recombinant Rabbit Monoclonal Antibody [JM60-35]

Application
  • WB

  • IF-Cell

  • IF-Tissue

  • IHC-P

  • FC

Reactivity
  • Human

  • Mouse

  • Rat

BSA and Azide free
Conjugation
  • unconjugated

This product has been cited in peer reviewed publications, see list HERE
Close (esc)

Popup

Use this popup to embed a mailing list sign up form. Alternatively use it as a simple call to action with a link to a product or a page.

Age verification

By clicking enter you are verifying that you are old enough to consume alcohol.

搜索