Tie-1 and Tie-2 (also designated Tek) are novel cell surface receptor tyrosine kinases. The extracellular domain of Tie-1 has an unusual multidomain structure consisting of a cluster of three epidermal growth factor homology motifs localized between two immunoglobulin-like loops, which are followed by three fibronectin type III repeats next to the transmembrane region. Angiopoietin-1 (Ang-1) is a secreted ligand for Tie-2. Preliminary biochemical analyses of Ang-1 reveal a potential fibrinogen-like domain at the carboxy terminus and coiled-coil regions in the amino terminus. Ang-1 is an angiogenic factor that is thought to be involved in endothelial development. A related protein, angiopoietin-2 (Ang-2), has been identified as a naturally occurring antagonist of Ang-1 activation of Tie-2. In adult tissue, Ang-2 expression seems to be restricted to sites of vascular remodeling. This antibody may have cross-recognition with Angiopoietin 1.
背景文献
1. Zhou CF. et. al. miR-205-5p inhibits human endometriosis progression by targeting ANGPT2 in endometrial stromal cells. Stem Cell Res Ther. 2019 Sep
2. Chen Z. et. al. Gastric tumour-derived ANGPT2 regulation by DARPP-32 promotes angiogenesis. Gut. 2016 Jun
Western blot analysis of Angiopoietin 2 on different lysates with Rabbit anti-Angiopoietin 2 antibody (ET1705-6) at 1/10,000 dilution.
Lane 1: HeLa cell lysate (20 µg/Lane) Lane 2: TF-1 cell lysate (20 µg/Lane) Lane 3: PC-12 cell lysate (20 µg/Lane) Lane 4: Mouse liver tissue lysate (40 µg/Lane) Lane 5: Rat liver tissue lysate (40 µg/Lane)
Predicted band size: 57 kDa Observed band size: 50 kDa Exposure time: 3 minutes; ECL: K1801; 4-20% SDS-PAGE gel.
Proteins were transferred to a PVDF membrane and blocked with 5% NFDM/TBST for 1 hour at room temperature. The primary antibody (ET1705-6) at 1/10,000 dilution was used in 5% NFDM/TBST at 4℃ overnight. Goat Anti-Rabbit IgG - HRP Secondary Antibody (HA1001) at 1/50,000 dilution was used for 1 hour at room temperature.
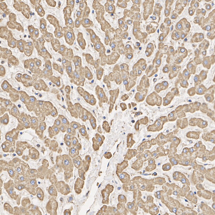
Immunohistochemical analysis of paraffin-embedded mouse liver tissue with Rabbit anti-Angiopoietin 2 antibody (ET1705-6) at 1/1,000 dilution.
The section was pre-treated using heat mediated antigen retrieval with Tris-EDTA buffer (pH 9.0) for 20 minutes. The tissues were blocked in 1% BSA for 20 minutes at room temperature, washed with ddH2O and PBS, and then probed with the primary antibody (ET1705-6) at 1/1,000 dilution for 1 hour at room temperature. The detection was performed using an HRP conjugated compact polymer system. DAB was used as the chromogen. Tissues were counterstained with hematoxylin and mounted with DPX.
Immunohistochemical analysis of paraffin-embedded rat liver tissue with Rabbit anti-Angiopoietin 2 antibody (ET1705-6) at 1/1,000 dilution.
The section was pre-treated using heat mediated antigen retrieval with Tris-EDTA buffer (pH 9.0) for 20 minutes. The tissues were blocked in 1% BSA for 20 minutes at room temperature, washed with ddH2O and PBS, and then probed with the primary antibody (ET1705-6) at 1/1,000 dilution for 1 hour at room temperature. The detection was performed using an HRP conjugated compact polymer system. DAB was used as the chromogen. Tissues were counterstained with hematoxylin and mounted with DPX.
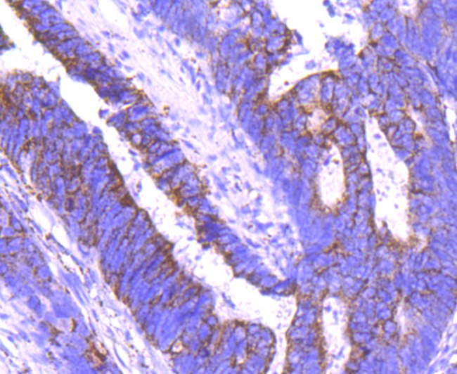
Immunohistochemical analysis of paraffin-embedded human colon carcinoma tissue using anti-Angiopoietin 2 antibody. The section was pre-treated using heat mediated antigen retrieval with Tris-EDTA buffer (pH 8.0-8.4) for 20 minutes.The tissues were blocked in 5% BSA for 30 minutes at room temperature, washed with ddH2O and PBS, and then probed with the primary antibody (ET1705-6, 1/50) for 30 minutes at room temperature. The detection was performed using an HRP conjugated compact polymer system. DAB was used as the chromogen. Tissues were counterstained with hematoxylin and mounted with DPX.
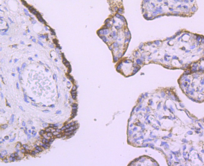
Immunohistochemical analysis of paraffin-embedded human placenta tissue using anti-Angiopoietin 2 antibody. The section was pre-treated using heat mediated antigen retrieval with Tris-EDTA buffer (pH 8.0-8.4) for 20 minutes.The tissues were blocked in 5% BSA for 30 minutes at room temperature, washed with ddH2O and PBS, and then probed with the primary antibody (ET1705-6, 1/50) for 30 minutes at room temperature. The detection was performed using an HRP conjugated compact polymer system. DAB was used as the chromogen. Tissues were counterstained with hematoxylin and mounted with DPX.
Flow cytometric analysis of TF-1 cells labeling Angiopoietin 2.
Cells were fixed and permeabilized. Then stained with the primary antibody (ET1705-6, 1μg/mL) (red) compared with Rabbit IgG Isotype Control (green). After incubation of the primary antibody at +4℃ for an hour, the cells were stained with a iFluor™ 488 conjugate-Goat anti-Rabbit IgG Secondary antibody (HA1121) at 1/1,000 dilution for 30 minutes at +4℃. Unlabelled sample was used as a control (cells without incubation with primary antibody; black).
请注意: All products are "FOR RESEARCH USE ONLY AND ARE NOT INTENDED FOR DIAGNOSTIC OR THERAPEUTIC USE"