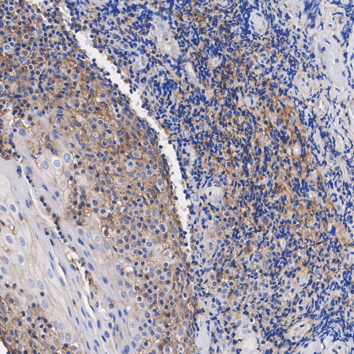
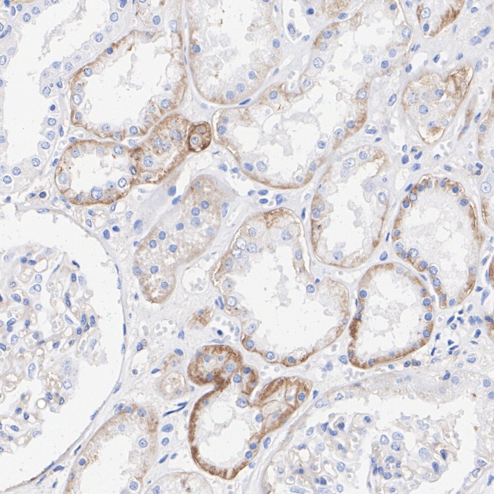
Catalog# ET1701-92
Fas / CD95 Recombinant Rabbit Monoclonal Antibody [JJ0942]
Application
-
WB
-
IF-Tissue
-
IHC-P
Reactivity
-
Human

