The phosphatidylinositol kinase (PIK) family members fall into two distinct subgroups. The first subgroup contains proteins such as the PI 3- and PI 4-kinases and the second group comprises the PIK-related kinases. The PIK-related kinases include Atm, DNA-PKCS and FRAP. These proteins have in common a region of homology at their carboxy termini that is not present in the PI 3- and PI 4-kinases. The Atm gene is mutated in the autosomal recessive disorder ataxia telangiectasia (AT) that is characterized by cerebellar degeneration (ataxia) and the appearance of dilated blood vessels (telangiectases) in the conjunctivae of the eyes. AT cells are hypersensitive to ionizing radiation, impaired in mediating the inhibition of DNA synthesis and they display delays in p53 induction. DNA-PK is a heterotrimeric DNA binding enzyme that is composed of a large subunit, DNA-PKCS, and two smaller subunits collectively known as Ku. The loss of DNA-PK leads to defects in DSB repair and V(D)J recombination. FRAP can autophosphorylate on serine and bind to rapamycin/FKBP. FRAP is also an upstream regulator of S6 kinase and has been implicated in the regulation of p27 and p21 expression.
背景文献
1. Yüce & West SC Senataxin, defective in the neurodegenerative disorder ataxia with oculomotor apraxia 2, lies at the interface of transcription and the DNA damage response. Mol Cell Biol 33:406-17 (2013).
2. Wang Y et al. MicroRNA-138 Modulates DNA Damage Response by Repressing Histone H2AX Expression. Mol Cancer Res 9:1100-11 (2011).
序列相似性
Belongs to the PI3/PI4-kinase family.
翻译后修饰
Autophosphorylated at two clusters, the T2609 cluster and the S2056 cluster (By similarity). Autophosphorylated on Ser-2056, Thr-2609, Thr-2638 and Thr-2647. Ser-2056 and Thr-2609 are DNA damage-inducible phosphorylation sites (inducible with ionizing radiation, IR) dephosphorylated by PPP5C. Autophosphorylation induces a conformational change that leads to remodeling of the DNA-PK complex, requisite for efficient end processing and DNA repair. Autophosphorylation of the T2609 cluster is required for hematopoietic development and protein synthesis in erythrocytes precursors (By similarity).; S-nitrosylated by GAPDH.; Polyubiquitinated by RNF144A, leading to proteasomal degradation.
Western blot analysis of DNA PKcs on different lysates with Rabbit anti-DNA PKcs antibody (ET1610-12) at 1/5,000 dilution.
Lane 1: K-562 cell lysate Lane 2: NIH/3T3 cell lysate Lane 3: PC-12 cell lysate
Lysates/proteins at 15 µg/Lane.
Predicted band size: 469 kDa Observed band size: 469 kDa
Exposure time: 5 seconds; ECL: K1801;
3-8% SDS-PAGE gel.
Proteins were transferred to a PVDF membrane and blocked with 5% NFDM/TBST for 1 hour at room temperature. The primary antibody (ET1610-12) at 1/5,000 dilution was used in 5% NFDM/TBST at 4℃ overnight. Goat Anti-Rabbit IgG - HRP Secondary Antibody (HA1001) at 1/50,000 dilution was used for 1 hour at room temperature.
Immunocytochemistry analysis of K-562 cells labeling DNA PKcs with Rabbit anti-DNA PKcs antibody (ET1610-12) at 1/100 dilution.
Cells were fixed in 4% paraformaldehyde for 20 minutes at room temperature, permeabilized with 0.1% Triton X-100 in PBS for 5 minutes at room temperature, then blocked with 1% BSA in 10% negative goat serum for 1 hour at room temperature. Cells were then incubated with Rabbit anti-DNA PKcs antibody (ET1610-12) at 1/100 dilution in 1% BSA in PBST overnight at 4 ℃. Goat Anti-Rabbit IgG H&L (iFluor™ 488, HA1121) was used as the secondary antibody at 1/1,000 dilution. PBS instead of the primary antibody was used as the secondary antibody only control. Nuclear DNA was labelled in blue with DAPI.
Beta tubulin (M1305-2, red) was stained at 1/100 dilution overnight at +4℃. Goat Anti-Mouse IgG H&L (iFluor™ 594, HA1126) was used as the secondary antibody at 1/1,000 dilution.
ICC staining of DNA PKcs in Hela cells (green). Formalin fixed cells were permeabilized with 0.1% Triton X-100 in TBS for 10 minutes at room temperature and blocked with 1% Blocker BSA for 15 minutes at room temperature. Cells were probed with the primary antibody (ET1610-12, 1/50) for 1 hour at room temperature, washed with PBS. Alexa Fluor®488 Goat anti-Rabbit IgG was used as the secondary antibody at 1/1,000 dilution. The nuclear counter stain is DAPI (blue).
ICC staining of DNA PKcs in MCF-7 cells (green). Formalin fixed cells were permeabilized with 0.1% Triton X-100 in TBS for 10 minutes at room temperature and blocked with 1% Blocker BSA for 15 minutes at room temperature. Cells were probed with the primary antibody (ET1610-12, 1/50) for 1 hour at room temperature, washed with PBS. Alexa Fluor®488 Goat anti-Rabbit IgG was used as the secondary antibody at 1/1,000 dilution. The nuclear counter stain is DAPI (blue).
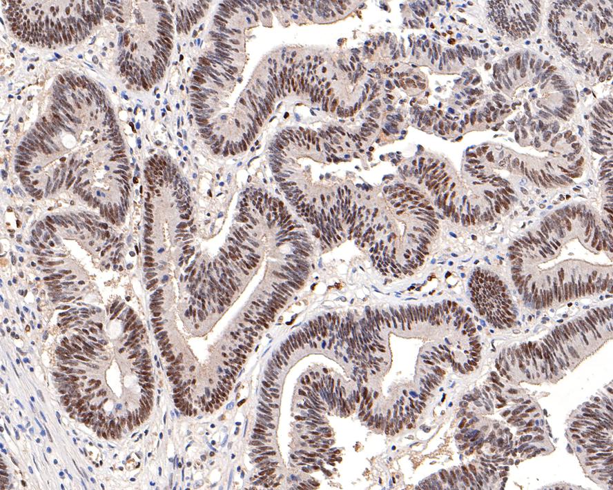
Immunohistochemical analysis of paraffin-embedded human colon carcinoma tissue with Rabbit anti-DNA PKcs antibody (ET1610-12) at 1/200 dilution.
The section was pre-treated using heat mediated antigen retrieval with sodium citrate buffer (pH 6.0) (high pressure) for 2 minutes. The tissues were blocked in 1% BSA for 20 minutes at room temperature, washed with ddH2O and PBS, and then probed with the primary antibody (ET1610-12) at 1/200 dilution for 1 hour at room temperature. The detection was performed using an HRP conjugated compact polymer system. DAB was used as the chromogen. Tissues were counterstained with hematoxylin and mounted with DPX.
DNA PKcs was immunoprecipitated from 0.2 mg K-562 cell lysate with ET1610-12 at 2 µg/10 µl beads. Western blot was performed from the immunoprecipitate using ET1610-12 at 1/1,000 dilution. HRP Conjugated Anti-Rabbit IgG for IP Nano-secondary antibody at 1/5,000 dilution was used for 1 hour at room temperature.
Lane 1: K-562 cell lysate (input) Lane 2: ET1610-12 IP in K-562 cell lysate Lane 3: Rabbit IgG instead of ET1610-12 in K-562 cell lysate