Catalog# ET1609-60
c-Kit Recombinant Rabbit Monoclonal Antibody [ST04-99]
Application
-
WB
-
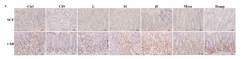
IHC-P
Reactivity
-
Human
Conjugation
-
unconjugated
This product has been cited in peer reviewed publications, see list HERE


浙公网安备 33019202000643号