Catalog# ET1601-28
JNK1+JNK2+JNK3 Recombinant Rabbit Monoclonal Antibody [SA43-06]
-
WB
-
IF-Cell
-
IF-Tissue
-
IHC-P
-
IP
-
Human
-
Mouse
-
Rat
-
Cow
-
Monkey
-
Zebrafish
概述
产品名称
JNK1+JNK2+JNK3 Recombinant Rabbit Monoclonal Antibody [SA43-06]
抗体类型
Recombinant Rabbit monoclonal Antibody
免疫原
Recombinant protein within Human JNK1 aa 1-423 / 427.
种属反应性
Human, Mouse, Rat (Predicted: Cow, Monkey, Zebrafish)
验证应用
WB, IF-Cell, IF-Tissue, IHC-P, IP
分子量
Predicted band size: 48/53 kDa
阳性对照
HeLa cell lysate, HEK-293 cell lysate, Jurkat cell lysate, MCF7 cell lysate, NIH/3T3 cell lysate, PC-12 cell lysate, C6 cell lysate, Mouse brain tissue lysate, Rat brain tissue lysate, human brain tissue, mouse brain tissue, rat brain tissue.
偶联
unconjugated
克隆号
SA43-06
RRID
产品特性
形态
Liquid
存放说明
Shipped at 4℃. Store at +4℃ short term (1-2 weeks). It is recommended to aliquot into single-use upon delivery. Store at -20℃ long term.
存储缓冲液
1*TBS (pH7.4), 0.05% BSA, 40% Glycerol. Preservative: 0.05% Sodium Azide.
亚型
IgG
纯化方式
Protein A affinity purified.
应用稀释度
-
WB
-
1:2,000-1:5,000
-
IF-Cell
-
1:100
-
IF-Tissue
-
1:200
-
IHC-P
-
1:500-1:1,000
-
IP
-
Use at an assay dependent concentration.
发表文章中的应用
| WB | 查看 57 篇文献如下 |
发表文章中的种属
| Mouse | 查看 26 篇文献如下 |
| Human | 查看 15 篇文献如下 |
| Rat | 查看 8 篇文献如下 |
| Pig | 查看 5 篇文献如下 |
| Zebrafish | 查看 2 篇文献如下 |
| Chicken | 查看 1 篇文献如下 |
| Rabbit | 查看 1 篇文献如下 |
| Hamster | 查看 1 篇文献如下 |
靶点
功能
The c-Jun N-terminal kinases consist of ten isoforms derived from three genes: JNK1 (four isoforms), JNK2 (four isoforms) and JNK3 (two isoforms). Each gene is expressed as either 46 kDa or 55 kDa protein kinases, depending upon how the 3' coding region of the corresponding mRNA is processed. There have been no functional differences documented between the 46 kDa and the 55 kDa isoform, however, a second form of alternative splicing occurs within transcripts of JNK1 and JNK2, yielding JNK1-α, JNK2-α and JNK1-β and JNK2-β. Differences in interactions with protein substrates arise because of the mutually exclusive utilization of two exons within the kinase domain. and JNK2 are found in all cells and tissues. JNK3 is found mainly in the brain, but is also found in the heart and the testes.
背景文献
1. Cantrell, M. et al. 2015. c-Jun N-terminal kinase 2 prevents luminal cell commitment in normal mammary glands and tumors by inhibiting p53/Notch1 and breast cancer gene 1 expression. Oncotarget. 6: 11863-11881.
2. Marampon, F. et al. 2015. Vitamin D protects endothelial cells from irradiation-induced senescence and apoptosis by modulating MAPK/SirT1 axis. Journal of endocrinological investigation.
序列相似性
Belongs to the protein kinase superfamily. CMGC Ser/Thr protein kinase family. MAP kinase subfamily.
翻译后修饰
Dually phosphorylated on Thr-183 and Tyr-185 by MAP2K7 and MAP2K4, which activates the enzyme. Phosphorylated by TAOK2. May be phosphorylated at Thr-183 and Tyr-185 by MAP3K1/MEKK1. Phosphorylated form is more concentrated at synapses than none-phosphorylated (By similarity).
亚细胞定位
Cytoplasm, Nucleus, Membrane, Mitochondrion
UNIPROT
别名
C Jun kinase 2 antibody
c Jun N terminal kinase 1 antibody
c Jun N terminal kinase 2 antibody
c Jun N terminal kinase 3 antibody
c-Jun N-terminal kinase 1 antibody
JNK 46 antibody
JNK 55 antibody
JNK antibody
JNK-46 antibody
JNK1 antibody
展开C Jun kinase 2 antibody
c Jun N terminal kinase 1 antibody
c Jun N terminal kinase 2 antibody
c Jun N terminal kinase 3 antibody
c-Jun N-terminal kinase 1 antibody
JNK 46 antibody
JNK 55 antibody
JNK antibody
JNK-46 antibody
JNK1 antibody
JNK1A2 antibody
JNK2 antibody
JNK21B1/2 antibody
JNK2A antibody
JNK2ALPHA antibody
JNK2B antibody
JNK2BETA antibody
JNK3 alpha protein kinase antibody
JNK3 antibody
JNK3A antibody
Jun kinase antibody
JUN N terminal kinase antibody
MAP kinase 10 antibody
MAP kinase 8 antibody
MAP kinase 9 antibody
MAP kinase p49 3F12 antibody
MAPK 10 antibody
MAPK 8 antibody
MAPK 9 antibody
MAPK10 antibody
mapk8 antibody
MAPK9 antibody
Mitogen activated protein kinase 10 antibody
Mitogen activated protein kinase 8 antibody
Mitogen activated protein kinase 8 isoform JNK1 alpha1 antibody
Mitogen activated protein kinase 8 isoform JNK1 beta2 antibody
Mitogen activated protein kinase 9 antibody
Mitogen-activated protein kinase 8 antibody
MK08_HUMAN antibody
p493F12 antibody
p54a antibody
p54aSAPK antibody
p54bSAPK antibody
PRKM10 antibody
PRKM8 antibody
PRKM9 antibody
SAPK antibody
SAPK(beta) antibody
SAPK1 antibody
SAPK1a antibody
SAPK1b antibody
SAPK1c antibody
Stress activated protein kinase 1 antibody
Stress activated protein kinase 1a antibody
Stress activated protein kinase 1b antibody
Stress activated protein kinase 1c antibody
Stress activated protein kinase beta antibody
Stress activated protein kinase JNK1 antibody
Stress activated protein kinase JNK2 antibody
Stress activated protein kinase JNK3 antibody
Stress-activated protein kinase 1c antibody
Stress-activated protein kinase JNK1 antibody
折叠图片
-
Western blot analysis of JNK1+JNK2+JNK3 on different lysates with Rabbit anti-JNK1+JNK2+JNK3 antibody (ET1601-28) at 1/2,000 dilution and competitor's antibody at 1/1,000 dilution.
Lane 1: HeLa cell lysate
Lane 2: HEK-293 cell lysate
Lane 3: Jurkat cell lysate
Lane 4: MCF7 cell lysate
Lane 5: NIH/3T3 cell lysate
Lane 6: PC-12 cell lysate
Lane 7: C6 cell lysate
Lysates/proteins at 15 µg/Lane.
Predicted band size: 48/53 kDa
Observed band size: 48/53 kDa
Exposure time: 35 seconds; ECL: K1801;
4-20% SDS-PAGE gel.
Proteins were transferred to a PVDF membrane and blocked with 5% NFDM/TBST for 1 hour at room temperature. The primary antibody (ET1601-28) at 1/2,000 dilution and competitor's antibody at 1/1,000 dilution were used in 5% NFDM/TBST at 4℃ overnight. Goat Anti-Rabbit IgG - HRP Secondary Antibody (HA1001) at 1/50,000 dilution was used for 1 hour at room temperature. -
Western blot analysis of JNK1+JNK2+JNK3 on different lysates with Rabbit anti-JNK1+JNK2+JNK3 antibody (ET1601-28) at 1/5,000 dilution.
Lane 1: Mouse brain tissue lysate (15 µg/Lane)
Lane 2: Rat brain tissue lysate (15 µg/Lane)
Predicted band size: 48/53 kDa
Observed band size: 48/53 kDa
Exposure time: 1 minute; ECL: K1801;
4-20% SDS-PAGE gel.
Proteins were transferred to a PVDF membrane and blocked with 5% NFDM/TBST for 1 hour at room temperature. The primary antibody (ET1601-28) at 1/5,000 dilution was used in 5% BSA at 4℃ overnight. Goat Anti-Rabbit IgG - HRP Secondary Antibody (HA1001) at 1/50,000 dilution was used for 1 hour at room temperature. -
Immunohistochemical analysis of paraffin-embedded human brain tissue with Rabbit anti-JNK1+JNK2+JNK3 antibody (ET1601-28) at 1/1,000 dilution.
The section was pre-treated using heat mediated antigen retrieval with sodium citrate buffer (pH 6.0) (high pressure) for 2 minutes. The tissues were blocked in 1% BSA for 20 minutes at room temperature, washed with ddH2O and PBS, and then probed with the primary antibody (ET1601-28) at 1/1,000 dilution for 1 hour at room temperature. The detection was performed using an HRP conjugated compact polymer system. DAB was used as the chromogen. Tissues were counterstained with hematoxylin and mounted with DPX. -
Immunohistochemical analysis of paraffin-embedded mouse brain tissue with Rabbit anti-JNK1+JNK2+JNK3 antibody (ET1601-28) at 1/1,000 dilution.
The section was pre-treated using heat mediated antigen retrieval with sodium citrate buffer (pH 6.0) (high pressure) for 2 minutes. The tissues were blocked in 1% BSA for 20 minutes at room temperature, washed with ddH2O and PBS, and then probed with the primary antibody (ET1601-28) at 1/1,000 dilution for 1 hour at room temperature. The detection was performed using an HRP conjugated compact polymer system. DAB was used as the chromogen. Tissues were counterstained with hematoxylin and mounted with DPX. -
Immunohistochemical analysis of paraffin-embedded rat brain tissue with Rabbit anti-JNK1+JNK2+JNK3 antibody (ET1601-28) at 1/1,000 dilution.
The section was pre-treated using heat mediated antigen retrieval with sodium citrate buffer (pH 6.0) (high pressure) for 2 minutes. The tissues were blocked in 1% BSA for 20 minutes at room temperature, washed with ddH2O and PBS, and then probed with the primary antibody (ET1601-28) at 1/1,000 dilution for 1 hour at room temperature. The detection was performed using an HRP conjugated compact polymer system. DAB was used as the chromogen. Tissues were counterstained with hematoxylin and mounted with DPX.
请注意: All products are "FOR RESEARCH USE ONLY AND ARE NOT INTENDED FOR DIAGNOSTIC OR THERAPEUTIC USE"
引文
-
Synergistic Promotion of Triple-Negative Breast Cancer Tumorigenesis and Metastasis by Oral Polystyrene Nanoplastics Exposure via Alloprevotella-Derived Glutamate and Platelet Activation
Author: Yingzhi Shen
PMID: 40990541
期刊: Advanced Science
应用: WB
反应种属: Mouse
发表时间: 2025 Sept
-
Citation
-
Collagen peptides derived from sea bass scales (Lateolabrax maculatus) relieve photoaging through MAPK, NF-κB and TGF-β signaling pathways and modulating gut microbiota composition
Author: Baojun Xu
PMID: 14NOPMID25110401
期刊: Food Research International
应用: WB
反应种属: Mouse
发表时间: 2025 Sept
-
Citation
-
Smilax china L. Rhizome Extract Enhances Anti-Tumor Immune Responses by Resetting M2-Like Macrophages and Tumor-Associated Macrophages to M1-Like via ERK1/2 Signaling
Author: Yingxue Guo, Xiaochen Lin, Penghao Wang, Yingying Wang, Mengyun Chen, Shuiyan Tang, Lu Jin, Weiye Mao, Xia Liu, Qiyang Shou, Huiying Fu
PMID: 40383248
期刊: Journal Of Ethnopharmacology
应用: WB
反应种属: Mouse
发表时间: 2025 May
-
Citation
-
The potential of TAOK1 as a new therapeutic target for the treatment of cancer cachexia-associated muscle atrophy
Author: Ruiqin Zhang, Nan Li, Ke Yu, Qiongsen Wang, Meng Fan, Xiongwen Zhang, Xuan Liu
PMID: 40339965
期刊: Pharmacological Research
应用: WB
反应种属: Mouse
发表时间: 2025 May
-
Citation
-
Downregulation of miR-27a-3p induces endothelial injury and senescence and its significance in the development of coronary heart disease
Author: Chong-Yang Song, Hai-Zhen Huang, Ting-Ting Yan, Chen-Xi Cui, Hua-Yu Wu, Jing Chen, Jun-Hua Peng, Ning-Yuan Chen, Jun Tang, Shang-Ling Pan
PMID: 40147550
期刊: Cellular Signalling
应用: WB
反应种属: Human
发表时间: 2025 Mar
-
Citation
-
Single-nucleus transcriptomics reveal the cytological mechanism of conjugated linoleic acids in regulating intramuscular fat deposition
Author: Liyi Wang, Shiqi Liu, Shu Zhang, Yizhen Wang, Yanbing Zhou, Tizhong Shan
PMID: 40053468
期刊: eLife
应用: WB
反应种属: Pig
发表时间: 2025 Mar
-
Citation
-
Cyclic RGD modified dextran-quercetin polymer micelles for targeted therapy of breast cancer
Author: Chunpeng Yang, Huiling Ma, Ze Liang, Ying Zhuang, Litao Hu, Kexin Zhang, Leixiao Huang, Min Li, Shubiao Zhang, Yuhong Zhen
PMID: 40118409
期刊: International Journal Of Biological Macromolecules
应用: WB
反应种属: Mouse
发表时间: 2025 Mar
-
Citation
-
FoxO3 controls cardiomyocyte proliferation and heart regeneration by regulating Sfrp2 expression in postnatal mice
Author: Xia Jing-Bo, Liu Kun, Lin Xiao-Lin, Li Hong-Ji, Lin Jin-Hua, Li Li, Liang Chi-Qian, Cao Yan, Wen Na, Liao Zhao-Fu, Zhao Hui, Park Kyu-Sang, Song Guo-Hua, Ye Ze-Bing, Cai Dong-Qing, Ju Zhen-Yu, Qi Xu-Feng
PMID: 40087279
期刊: Nature Communications
应用: WB
反应种属: Mouse
发表时间: 2025 Mar
-
Citation
-
Mechanism of Dendrobium officinale polysaccharide in alleviating Alzheimer's disease: Insights from metabolomics, lipidomics, and proteomics analysis
Author: Jun Fu, Zhaohan Liang, Zihao Chen, Weiyuan Chen, Yiyang Zhou, Fen Xiong, Lingfei Meng, Qian Liang, Hongchang Gao
PMID: 40571023
期刊: International Journal Of Biological Macromolecules
应用: WB
反应种属: Mouse
发表时间: 2025 Jun
-
Citation
-
Glia maturation factor-β in hepatocytes enhances liver regeneration and mitigates steatosis and ballooning in zebrafish
Author: Hong-Yu Li, Wei-Lan Zeng, Yi-Wen Ye, Xin Chen, Ming-Ming Zhang, Yi-Si Chen, Cui-Ting Liu, Zhun-Qiang Zhong, Jing Li, Yan Wang
PMID: 40602783
期刊: American Journal of Physiology-Gastrointestinal and Liver
应用: WB
反应种属: Zebrafish
发表时间: 2025 Jul
-
Citation
-
Clostridium butyricum enhances cognitive function in APP/PS1 mice by modulating neuropathology and regulating acetic acid levels in the gut microbiota
Author: Ye Shiqing, Lu Xinjie, Zhu Xiaotong, Chen Jiayan, Lu Jiahai, Chen Xiaodong, Lou Yongliang, Li Xiang
PMID: 40621927
期刊: Microbiology Spectrum
应用: WB
反应种属: Mouse
发表时间: 2025 Jul
-
Citation
-
Protective role of triiodothyronine in sepsis‑induced cardiomyopathy through phospholamban downregulation
Author: Qiumin Xie, Qin Yi, Jing Zhu, Bin Tan, Han Xiang, Rui Wang, Huiwen Liu, Tangtian Chen, Hao Xu
PMID: 39821325
期刊: International Journal Of Molecular Medicine
应用: WB
反应种属: Mouse,Rat
发表时间: 2025 Jan
-
Citation
-
Ginsenoside Ro ameliorates cognitive impairment and neuroinflammation in APP/PS1 mice via the IBA1/GFAP-MAPK signaling pathway
Author: Tianyao Li, Jiaxin Chen, Zhouyuan Xie, Jiansong Fang, Qiqing Wu, Xinyue Cao, Ziying Chen, Yiyun Wang, Qiqi Fan, Qi Wang, Jinman Liu
PMID: 40066331
期刊: Frontiers In Pharmacology
应用: WB
反应种属: Mouse
发表时间: 2025 Feb
-
Citation
-
Phthalates promote lenvatinib resistance in hepatocellular carcinoma through the HPX-MAPK pathway
Author: Jinlu Han, Chen Wang, Yun Song, Hong Hu, Mengyan Chen, De Zhao, Qiong Wu, Ling Xu
PMID: 40858030
期刊: Ecotoxicology And Environmental Safety
应用: WB
反应种属: Human
发表时间: 2025 Aug
-
Citation
-
Disrupted betaine metabolism drives Th17 cell differentiation, mediating methamphetamine-induced depressive behaviors in male mice
Author: Hui Rongji, Xu Jiabao, Ma Hongchen, Feng Tao, Hou Congcong, Wang Xintao, Jin Mingyang, Yu Feng, Shi Yan, Xie Bing, Zhang Ludi, Cong Bin, Ma Chunling, Wen Di
PMID: 40859333
期刊: Journal Of Neuroinflammation
应用: WB
反应种属: Mouse
发表时间: 2025 Aug
-
Citation
-
Intestinal microbiota-derived d-(+)-malic acid promotes pBD1 expression via p-p38/ATF1 signaling pathway to maintain porcine intestinal health
Author: Tao Gong, Xiaoxi Lu, Hong Zhang, Weifa Su, Yuanli Jin, Huan He, Bin Yao, Mingliang Jin, Yizhen Wang, Yuanzhi Cheng
PMID: 40186905
期刊: International Immunopharmacology
应用: WB
反应种属: Pig
发表时间: 2025 Apr
-
Citation
-
Host genetic variation governs PCV2 susceptibility through CXCL13 and ELK1-mediated immune regulation
Author: Gen Liu, Yizhen Gao, Yijun Cheng, Wenlei Wang, Xiang Li, Yan Wu, Feng Gao, Zhong-Wei Zhou, Yi Sun, Yunliang Jiang, Na Yang, Yuelong Shu, Litao Sun
PMID: 40267997
期刊: International Journal Of Biological Macromolecules
应用: WB
反应种属: Pig
发表时间: 2025 Apr
-
Citation
-
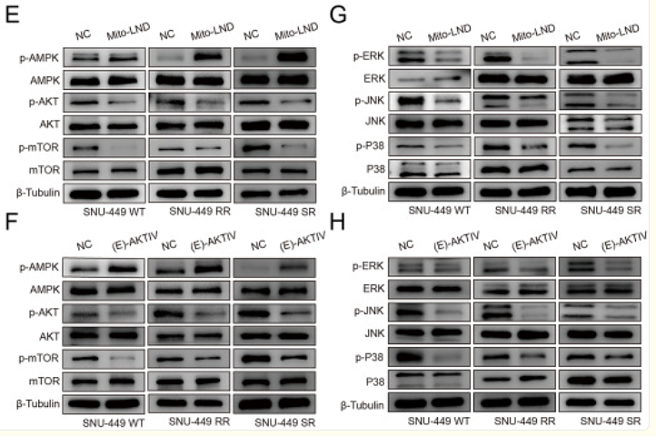
Mito-LND and (E)-Akt inhibitor-IV: novel compounds inducing endoplasmic reticulum stress and ROS accumulation against hepatocellular carcinoma
Author: Liao Siqi,et al
PMID: 39198815
期刊: Journal Of Translational Medicine
应用: WB
反应种属: Human
发表时间: 2024 Sep
-
Citation
-
Cucurbitacin B ameliorates acetaminophen induced mitochondrial oxidative stress through the Nrf2 pathway
Author: Xin Yang,et al
PMID: NO PMID 2024101206
期刊: Traditional Medicine Research
应用: WB
反应种属: Rabbit
发表时间: 2024 Oct
-
Citation
-
The CD163/TWEAK/Fn14 axis: A potential therapeutic target for alleviating inflammatory bone loss
Author: J Qian,et al
PMID: 39430128
期刊: Journal Of Orthopaedic Translation
应用: WB
反应种属: Mouse
发表时间: 2024 Oct
-
Citation
-
Edaravone Dexborneol ameliorates the cognitive deficits of APP/PS1 mice by inhibiting TLR4/MAPK signaling pathway via upregulating TREM2
Author: Wang Jinyang,et al
PMID: 38763325
期刊: Neuropharmacology
应用: WB
反应种属: Mouse
发表时间: 2024 May
-
Citation
-
Petanin Potentiated JNK Phosphorylation to Negatively Regulate the ERK/CREB/MITF Signaling Pathway for Anti-Melanogenesis in Zebrafish
Author: Jian Ouyang, Na Hu, Honglun Wang
PMID: 38892131
期刊: International Journal Of Molecular Sciences
应用: WB
反应种属: Zebrafish
发表时间: 2024 May
-
Citation
-
Discovery of LC-MI-3: A Potent and Orally Bioavailable Degrader of Interleukin-1 Receptor-Associated Kinase 4 for the Treatment of Inflammatory Diseases
Author: Chen Lingfeng,et al
PMID: 38722184
期刊: Journal Of Medicinal Chemistry
应用: WB
反应种属: Human
发表时间: 2024 May
-
Citation
-
Unveiling the role of RAC3 in the growth and invasion of cisplatin-resistant bladder cancer cells
Author: Haodong Li, Hongxuan Ma, JianHua Ma, Fei Qin, Siqi Fan, Shaopeng Kong, Sitao Zhao, Jianguo Ma
PMID: 38847477
期刊: Journal Of Cellular And Molecular Medicine
应用: WB
反应种属: Human
发表时间: 2024 Jun
-
Citation
-
SKLB023 protects against inflammation and apoptosis in sepsis-associated acute kidney injury via the inhibition of toll-like receptor 4 signaling
Author: Li Hui,et al
PMID: 39008938
期刊: International Immunopharmacology
应用: WB
反应种属: Mouse
发表时间: 2024 Jul
-
Citation
-
Targeting DAD1 gene with CRISPR-Cas9 system transmucosally delivered by fluorinated polylysine nanoparticles for bladder cancer intravesical gene therapy
Author: Tang D, Yan Y, Li Y, et al
PMID: 38164146
期刊: Theranostics
应用: WB
反应种属: Human
发表时间: 2024 Jan
-
Citation
-
Hemodynamic force dictates endothelial angiogenesis through MIEN1-ERK/MAPK-signaling axis
Author: Cheng Lin,et al
PMID: 38214132
期刊: Journal Of Cellular Physiology
应用: WB
反应种属: Human
发表时间: 2024 Jan
-
Citation
-
H9N2 Avian Influenza Virus Downregulates FcRY Expression in Chicken Macrophage Cell Line HD11 by Activating the JNK MAPK Pathway
Author: Sun Zhijian,et al
PMID: 38473897
期刊:
应用: WB
反应种属: Chicken
发表时间: 2024 Feb
-
Citation
-
Zinc Attenuates Bisphenol A-Induced Reproductive Toxicity in Male Mice by Inhibiting Ferroptosis and Apoptosis Through Improving Zinc Homeostasis
Author: Yuejia Li,et al
PMID: 39645636
期刊: Biological Trace Element Research
应用: WB
反应种属: Mouse
发表时间: 2024 Dec
-
Citation
-
BPA Exacerbates Zinc Deficiency–Induced Testicular Tissue Inflammation in Male Mice Through the TNF-α/NF-κB/Caspase8 Signaling Pathway
Author: Xinying Wang,et al
PMID: 39638945
期刊: Biological Trace Element Research
应用: WB
反应种属: Mouse
发表时间: 2024 Dec
-
Citation
-
Bisphenol S exposure interrupted human embryonic stem cell derived cardiomyocytes differentiation through ER-NF-κB/ERK signaling pathway
Author: Yongru Zhou,et al
PMID: 39729939
期刊: Ecotoxicology And Environmental Safety
应用: WB
反应种属: Human
发表时间: 2024 Dec
-
Citation
-
GLP-1RAs attenuated obesity and reversed leptin resistance partly via activating the microbiome-derived inosine/A2A pathway
Author: Chunyan Dong,et al
PMID: 40177547
期刊: Acta Pharmaceutica Sinica B
应用: WB
反应种属: Mouse
发表时间: 2024 Dec
-
Citation
-
Cyclic tensile stress promotes osteogenic differentiation via upregulation of Piezo1 in human dental follicle stem cells
Author: Xie Binqing,et al
PMID: 39190266
期刊: Human Cell
应用: WB
反应种属: Human
发表时间: 2024 Aug
-
Citation
-
Granulocyte colony-stimulating factor mediates bone loss via the activation of IL-1β/JNK signaling pathway in murine Staphylococcus aureus-induced osteomyelitis
Author: Song Mingrui,et al
PMID: 39163688
期刊: International Immunopharmacology
应用: WB
反应种属: Mouse
发表时间: 2024 Aug
-
Citation
-
Aconitine promotes myocardial damage in rats by activating JNK1/2 pathway
Author: Hu Changdong,et al
PMID: no pmid0508
期刊: Preprint And Has Not Been Certified By Peer Review
应用: WB
反应种属: Rat
发表时间: 2024 Apr
-
Citation
-
Exploring novel indazole derivatives as ASK1 inhibitors: design, synthesis, biological evaluation and docking studies
Author: He Mengni,et al
PMID: 38677010
期刊: Bioorganic Chemistry
应用: WB
反应种属: Human
发表时间: 2024 Apr
-
Citation
-
Investigation of Metabolic and Inflammatory Disorder in the Aging FGF21 Knockout Mouse
Author: Cai Yuqiong,et al
PMID: 38653921
期刊: Inflammation
应用: WB
反应种属: Mouse
发表时间: 2024 Apr
-
Citation
-
mTOR signaling pathway regulates embryonic development and rapid growth of triploid crucian carp
Author: Huang Z , Dai L, Peng F,et al
PMID: NO PMID202311
期刊: Aquaculture Reports
应用: WB
反应种属: Mouse
发表时间: 2023 Nov
-
Citation
-
Apigenin Inhibits the Progression of Osteoarthritis by Mediating Macrophage Polarization
Author: Ji, X., Du, W., Che, W., Wang, L., & Zhao, L.
PMID: 37049677
期刊: Molecules
应用: WB
反应种属: Mouse
发表时间: 2023 Mar
-
Citation
-
Modified Erchen decoction ameliorates cognitive dysfunction in vascular dementia rats via inhibiting JAK2/STAT3 and JNK/BAX signaling pathways
Author: Gao, Y., Ma, K., Zhu, Z., Zhang, Y., Zhou, Q., Wang, J., Guo, X., Luo, L., Wang, H., Peng, K., & Liu, M.
PMID: 37037084
期刊: Phytomedicine
应用: WB
反应种属: Rat
发表时间: 2023 Jun
-
Citation
-
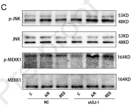
Resveratrol inhibits autophagy against myocardial ischemia-reperfusion injury through the DJ-1/MEKK1/JNK pathway
Author:
PMID: 37149277
期刊: European Journal Of Pharmacology
应用: WB
反应种属: Rat
发表时间: 2023 Jul
-
Citation
-
EYE-503: A Novel Retinoic Acid Drug for Treating Retinal Neurodegeneration
Author:
PMID: 37513944
期刊: Pharmaceuticals
应用: WB
反应种属: Mouse
发表时间: 2023 Jul
-
Citation
-
Analyses of Transcriptomics upon IL-1β-Stimulated Mouse Chondrocytes and the Protective Effect of Catalpol through the NOD2/NF-κB/MAPK Signaling Pathway
Author: Pang, Y., Zhao, L., Ji, X., Guo, K., & Yin, X.
PMID: 36838594
期刊: Molecules
应用: WB
反应种属: Mouse
发表时间: 2023 Feb
-
Citation
-
Selumetinib - a potential small molecule inhibitor for osteoarthritis treatment
Author: Zheng, X., Qiu, J., Pan, W., Gong, Y., Zhang, W., Jiang, T., Chen, L., Chen, W., & Hong, Z.
PMID: 36238555
期刊: Frontiers In Pharmacology
应用: WB
反应种属: Mouse
发表时间: 2022 Sept
-
Citation
-
MG132 protects against lung injury following brain death in rats
Author: Shi, H., Yang, D., Huo, Z., Li, Y., Guo, W., & Zhang, S.
PMID: 36277154
期刊: Experimental And Therapeutic Medicine
应用: WB
反应种属: Rat
发表时间: 2022 Nov
-
Citation
-
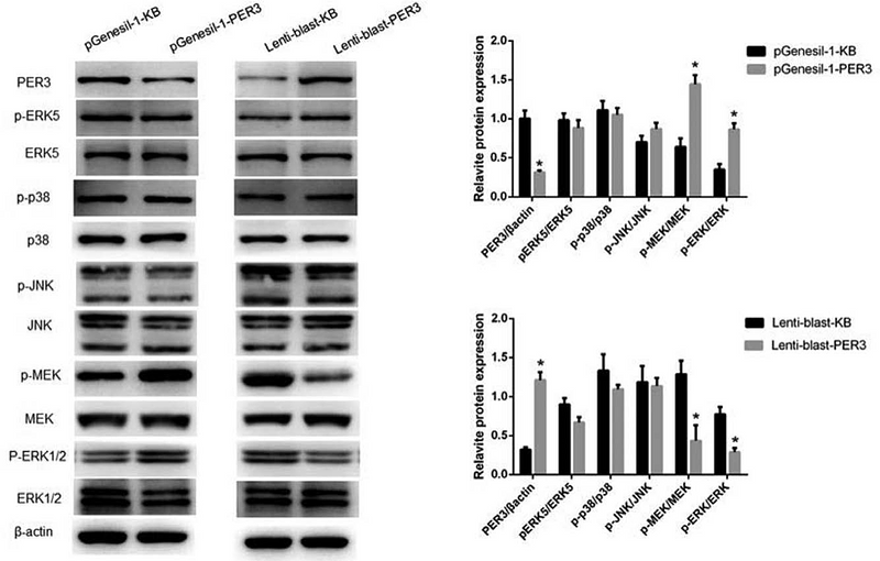
PER3 plays anticancer roles in the oncogenesis and progression of breast cancer via regulating MEK/ERK signaling pathway
Author:
PMID: 36278918
期刊: Journal Of The Chinese Medical Association
应用: WB
反应种属: Human
发表时间: 2022 Nov
-
Citation
-
Maternal consumption of a fermented diet protects offspring against intestinal inflammation by regulating the gut microbiota
Author: Wang, C., Wei, S., Liu, B., Wang, F., Lu, Z., Jin, M., & Wang, Y.
PMID: 35506256
期刊: Gut Microbes
应用: WB
反应种属: Pig
发表时间: 2022 May
-
Citation
-
Bile Duct Ligation Impairs Function and Expression of Mrp1 at Rat Blood-Retinal Barrier via Bilirubin-Induced P38 MAPK Pathway Activations
Author: Li, P., Yang, Y., Lin, Z., Hong, S., Jiang, L., Zhou, H., Yang, L., Zhu, L., Liu, X., & Liu, L.
PMID: 35887010
期刊: International Journal Of Molecular Sciences
应用: WB
反应种属: Human
发表时间: 2022 Jul
-
Citation
-
Single-Cell Sequencing Yields Insights in the Evolution of Foot-and-Mouth Disease Virus Persistent Infection
Author: Yuan, Y., Wang, X., Li, J., Han, L., Du, H., Sun, Y., Yang, P., Zhou, Z., Gu, M., Lu, Y., & Shen, C.
PMID: 35873170
期刊: Frontiers In Cellular And Infection Microbiology
应用: WB
反应种属: Hamster
发表时间: 2022 Jul
-
Citation
-
Platelet-Derived Growth Factor-BB Inhibits Intervertebral Disc Degeneration via Suppressing Pyroptosis and Activating the MAPK Signaling Pathway
Author: Zhang, W., Gong, Y., Zheng, X., Qiu, J., Jiang, T., Chen, L., Lu, F., Wu, X., Cheng, F., & Hong, Z.
PMID: 35095507
期刊: Frontiers In Pharmacology
应用: WB
反应种属: Human
发表时间: 2022 Jan
-
Citation
-
Hyperglycemia modulates M1/M2 macrophage polarization via reactive oxygen species overproduction in ligature-induced periodontitis
Author:
PMID: 34190354
期刊: Journal Of Periodontal Research
应用: WB
反应种属: Mouse
发表时间: 2021 Oct
-
Citation
-
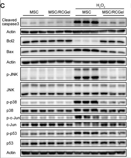
Mesenchymal stem cells encapsulated in a reactive oxygen species-scavenging and O2-generating injectable hydrogel for myocardial infarction treatment
Author: Hao Ding, Jie Ding, Qingnian Liu, Junxin Lin, Mengying He, Xinyu Wu, Xiaoying Chen, Changchen Xiao, Tanchen Ren, Yang Zhu, Changyou Gao, Xinyang Hu, Jian'an Wang
PMID: 17NOPMID25022502
期刊: Chemical Engineering Journal
应用: WB
反应种属: Rat
发表时间: 2021 Nov
-
Citation
-
Transient Receptor Potential Melastatin 7 Promotes Vascular Adventitial Fibroblasts Phenotypic Transformation and Inflammatory Reaction Induced by Mechanical Stretching Stress via p38 MAPK/JNK Pathway
Author:
PMID: 33494094
期刊: Journal Of Vascular Research
应用: WB
反应种属: Rat
发表时间: 2021 Jan
-
Citation
-
Napabucasin,a novel inhibitor of STAT3,inhibits growth and synergises with doxorubicin in diffuse large B-cell lymphoma
Author: Xiawei Wei
PMID: 32798587
期刊: Cancer Letters
应用: WB
反应种属: Human
发表时间: 2020 Oct
-
Citation
-
Dual effects of JNK activation in blood-milk barrier damage induced by zinc oxide nanoparticles
Author: Junrong Wu, Xuan Lai, Guangman Cui, Qiyue Chen, Jia Liu, Yiyuan Kang, Yanli Zhang, Xiaoli Feng, Chen Hu, Longquan Shao
PMID: 32937690
期刊: Journal Of Hazardous Materials
应用: WB
反应种属: Mouse,Rat
发表时间: 2020 May
-
Citation
-
Exopolysaccharide from Cryptococcus heimaeyensis S20 induces autophagic cell death in non-small cell lung cancer cells via ROS/p38 and ROS/ERK signalling
Author: Chao Shen
PMID: 32597573
期刊: Cell Proliferation
应用: WB
反应种属: Human
发表时间: 2020 Aug
-
Citation
-
Mettl3 Deficiency Sustains Long-Chain Fatty Acid Absorption through Suppressing Traf6-Dependent Inflammation Response
Author:
PMID: 30567729
期刊: The Journal Of Immunology
应用: WB
反应种属: Pig
发表时间: 2019 Jan
-
Citation
同靶点 & 同通路的产品
JNK1+JNK2+JNK3 Recombinant Rabbit Monoclonal Antibody [SA43-06] - BSA and Azide free
Application: WB,IF-Cell,IF-Tissue,IHC-P,IP
Reactivity: Human,Mouse,Rat,Cow,Monkey,Zebrafish
Conjugate: unconjugated

