Catalog# HA723473
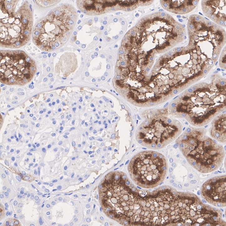
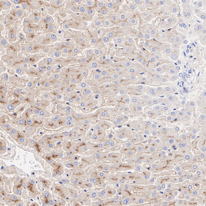
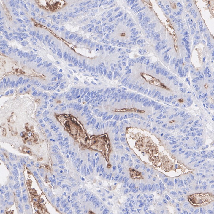
DPP4 / CD26 Recombinant Rabbit Monoclonal Antibody [PSH12-59]
Application
-
WB
-
IHC-P
-
IF-Cell
-
FC
-
IP
Reactivity
-
Human
BSA and Azide free
-
HA751446
不含抗保成分
Conjugation
-
unconjugated


浙公网安备 33019202000643号