概述
产品名称
Cdk4 Mouse Monoclonal Antibody [5-C3-G3]
抗体类型
Mouse Monoclonal Antibody
免疫原
Recombinant protein within human Cdk4 aa 80-303/303.
种属反应性
Human, Mouse, Rat
验证应用
WB, IHC-P, IF-Cell
分子量
Predicted band size: 34 kDa
阳性对照
A549 cell lysate, 293T cell lysate, HeLa cell lysate, MCF7 cell lysate, K-562 cell lysate, Mouse lung tissue lysate, NIH/3T3 cell lysate, C2C12 cell lysate, C6 cell lysate, PC-12 cell lysate, Rat lung tissue lysate, HeLa, human breast cancer tissue, human stomach cancer tissue, human thyroid cancer tissue, mouse colon tissue, mouse lung tissue, rat colon tissue, rat lung tissue.
偶联
unconjugated
克隆号
5-C3-G3
RRID
产品特性
形态
Liquid
存放说明
Shipped at 4℃. Store at +4℃ short term (1-2 weeks). It is recommended to aliquot into single-use upon delivery. Store at -20℃ long term.
存储缓冲液
1*PBS (pH7.4), 0.2% BSA, 40% Glycerol. Preservative: 0.05% Sodium Azide.
亚型
IgG2c
纯化方式
Protein A affinity purified.
应用稀释度
-
WB
-
1:1,000-1:2,000
-
IHC-P
-
1:200-1:1,000
-
IF-Cell
-
1:100
发表文章中的应用
| WB | 查看 1 篇文献如下 |
发表文章中的种属
| Mouse | 查看 1 篇文献如下 |
靶点
功能
Cell cycle progression is controlled in part by a family of cyclin proteins and cyclin dependent kinases (Cdks). Cdk proteins work in concert with the cyclins to phosphorylate key substrates involved in each phase of cell cycle progression . Another family of proteins, Cdk inhibitors, also plays a role in regulating the cell cycle by binding to cyclin-Cdk complexes and modulating their activity. Several Cdk proteins have been identified, including Cdk2-Cdk8, PCTAIRE-1-PCTAIRE-3, PITALRE and PITSLRE. Cdk4, in complex with D-type cyclins, is thought to regulate cell growth during the G1 phase of the cell cycle. This association with a D-type cyclin upregulates Cdk4 activity, whereas binding to the Cdk inhibitor p16 downregulates Cdk4 activity. Activation of the Cdk4-cyclin complexes requires phosphorylation on a single threonyl residue of Cdk4, catalyzed by a Cdk-activating protein (CAK).
背景文献
1. Wang Z et al. Migratory localization of cyclin D2-Cdk4 complex suggests a spatial regulation of the G1-S transition. Cell Struct Funct 33:171-183 (2008).
2. Bockstaele L et al. Differential regulation of cyclin-dependent kinase 4 (CDK4) and CDK6, evidence that CDK4 might not be activated by CDK7, and design of a CDK6 activating mutation. Mol Cell Biol 29:4188-4200 (2009).
序列相似性
Belongs to the protein kinase superfamily. CMGC Ser/Thr protein kinase family. CDC2/CDKX subfamily.
翻译后修饰
Phosphorylation at Thr-172 is required for enzymatic activity. Phosphorylated, in vitro, at this site by CCNH-CDK7, but, in vivo, appears to be phosphorylated by a proline-directed kinase. In the cyclin D-CDK4-CDKN1B complex, this phosphorylation and consequent CDK4 enzyme activity, is dependent on the tyrosine phosphorylation state of CDKN1B. Thus, in proliferating cells, CDK4 within the complex is phosphorylated on Thr-172 in the T-loop. In resting cells, phosphorylation on Thr-172 is prevented by the non-tyrosine-phosphorylated form of CDKN1B.
亚细胞定位
Cytoplasm, Nucleus, Nucleus membrane.
别名
Cdk 4 antibody
cdk4 antibody
CDK4 protein antibody
CDK4_HUMAN antibody
Cell division kinase 4 antibody
Cell division protein kinase 4 antibody
CMM 3 antibody
CMM3 antibody
Crk3 antibody
Cyclin dependent kinase 4 antibody
展开Cdk 4 antibody
cdk4 antibody
CDK4 protein antibody
CDK4_HUMAN antibody
Cell division kinase 4 antibody
Cell division protein kinase 4 antibody
CMM 3 antibody
CMM3 antibody
Crk3 antibody
Cyclin dependent kinase 4 antibody
Cyclin-dependent kinase 4 antibody
Melanoma cutaneous malignant 3 antibody
MGC14458 antibody
p34 cdk4 antibody
PSK J3 antibody
PSK-J3 antibody
折叠图片
-
Western blot analysis of Cdk4 on different lysates with Mouse anti-Cdk4 antibody (M1505-5) at 1/1,000 dilution.
Lane 1: A549 cell lysate (20 µg/Lane)
Lane 2: 293T cell lysate (20 µg/Lane)
Lane 3: HeLa cell lysate (20 µg/Lane)
Lane 4: MCF7 cell lysate (20 µg/Lane)
Lane 5: K-562 cell lysate (20 µg/Lane)
Lane 6: Mouse lung tissue lysate (40 µg/Lane)
Predicted band size: 34 kDa
Observed band size: 30 kDa
Exposure time: 17 seconds; ECL: K1801;
4-20% SDS-PAGE gel.
Proteins were transferred to a PVDF membrane and blocked with 5% NFDM/TBST for 1 hour at room temperature. The primary antibody (M1505-5) at 1/1,000 dilution was used in 5% NFDM/TBST at 4℃ overnight. Goat Anti-Mouse IgG - HRP Secondary Antibody (HA1006) at 1/50,000 dilution was used for 1 hour at room temperature. -
Western blot analysis of Cdk4 on different lysates with Mouse anti-Cdk4 antibody (M1505-5) at 1/2,000 dilution.
Lane 1: HeLa cell lysate (20 µg/Lane)
Lane 2: NIH/3T3 cell lysate (20 µg/Lane)
Lane 3: C2C12 cell lysate (20 µg/Lane)
Lane 4: C6 cell lysate (20 µg/Lane)
Lane 5: PC-12 cell lysate (20 µg/Lane)
Lane 6: Mouse lung tissue lysate (20 µg/Lane)
Lane 7: Rat lung tissue lysate (20 µg/Lane)
Predicted band size: 34 kDa
Observed band size: 30 kDa
Exposure time: 20 seconds; ECL: K1801;
4-20% SDS-PAGE gel.
Proteins were transferred to a PVDF membrane and blocked with 5% NFDM/TBST for 1 hour at room temperature. The primary antibody (M1505-5) at 1/2,000 dilution was used in 5% NFDM/TBST at 4℃ overnight. Goat Anti-Mouse IgG - HRP Secondary Antibody (HA1006) at 1/50,000 dilution was used for 1 hour at room temperature. -
Immunocytochemistry analysis of HeLa cells labeling Cdk4 with Mouse anti-Cdk4 antibody (M1505-5) at 1/100 dilution.
Cells were fixed in 4% paraformaldehyde for 15 minutes at room temperature, permeabilized with 0.1% Triton X-100 in PBS for 15 minutes at room temperature, then blocked with 1% BSA in 10% negative goat serum for 1 hour at room temperature. Cells were then incubated with Mouse anti-Cdk4 antibody (M1505-5) at 1/100 dilution in 1% BSA in PBST overnight at 4 ℃. Goat Anti-Mouse IgG H&L (iFluor™ 488, HA1125) was used as the secondary antibody at 1/1,000 dilution. PBS instead of the primary antibody was used as the secondary antibody only control. Nuclear DNA was labelled in blue with DAPI.
beta Tubulin (ET1602-4, red) was stained at 1/100 dilution overnight at +4℃. Goat Anti-Rabbit IgG H&L (iFluor™ 594, HA1122) were used as the secondary antibody at 1/1,000 dilution. -
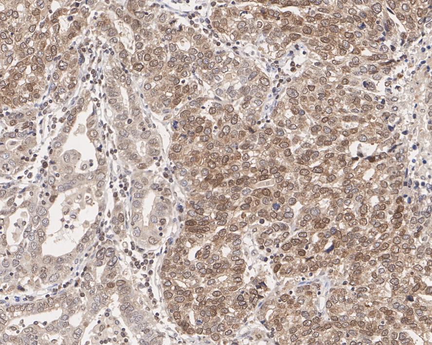
Immunohistochemical analysis of paraffin-embedded human breast cancer tissue with Mouse anti-Cdk4 antibody (M1505-5) at 1/200 dilution.
The section was pre-treated using heat mediated antigen retrieval with sodium citrate buffer (pH 6.0) (high pressure) for 2 minutes. The tissues were blocked in 1% BSA for 20 minutes at room temperature, washed with ddH2O and PBS, and then probed with the primary antibody (M1505-5) at 1/200 dilution for 1 hour at room temperature. The detection was performed using an HRP conjugated compact polymer system. DAB was used as the chromogen. Tissues were counterstained with hematoxylin and mounted with DPX. -
Immunohistochemical analysis of paraffin-embedded human stomach cancer tissue with Mouse anti-Cdk4 antibody (M1505-5) at 1/200 dilution.
The section was pre-treated using heat mediated antigen retrieval with sodium citrate buffer (pH 6.0) (high pressure) for 2 minutes. The tissues were blocked in 1% BSA for 20 minutes at room temperature, washed with ddH2O and PBS, and then probed with the primary antibody (M1505-5) at 1/200 dilution for 1 hour at room temperature. The detection was performed using an HRP conjugated compact polymer system. DAB was used as the chromogen. Tissues were counterstained with hematoxylin and mounted with DPX. -
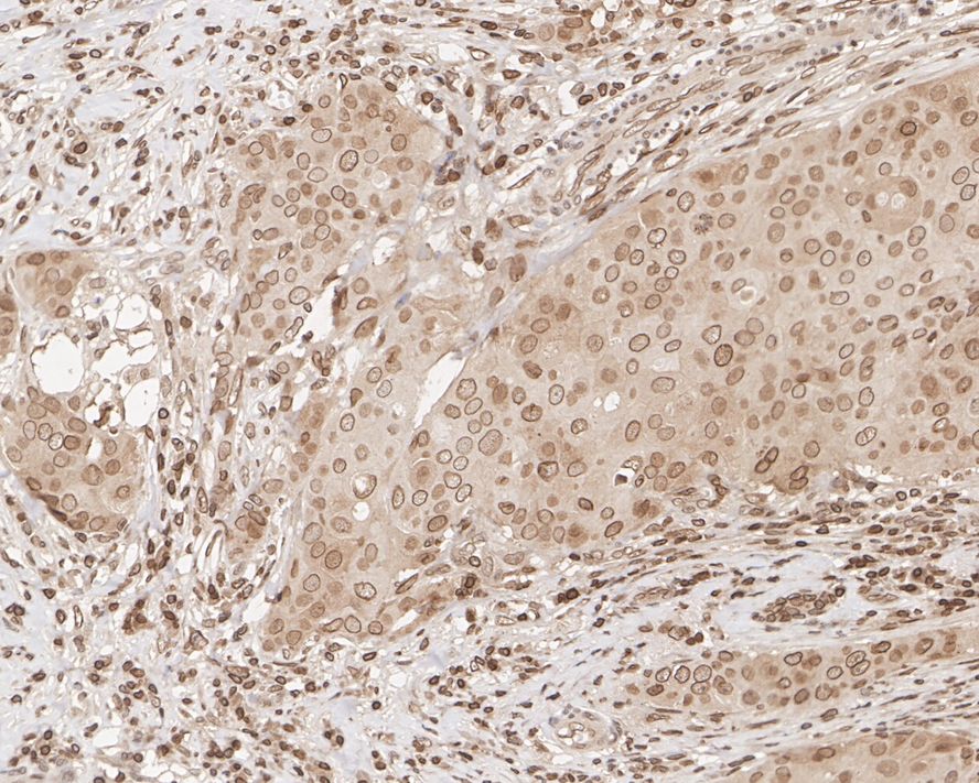
Immunohistochemical analysis of paraffin-embedded human thyroid cancer tissue with Mouse anti-Cdk4 antibody (M1505-5) at 1/1,000 dilution.
The section was pre-treated using heat mediated antigen retrieval with sodium citrate buffer (pH 6.0) (high pressure) for 2 minutes. The tissues were blocked in 1% BSA for 20 minutes at room temperature, washed with ddH2O and PBS, and then probed with the primary antibody (M1505-5) at 1/1,000 dilution for 1 hour at room temperature. The detection was performed using an HRP conjugated compact polymer system. DAB was used as the chromogen. Tissues were counterstained with hematoxylin and mounted with DPX. -
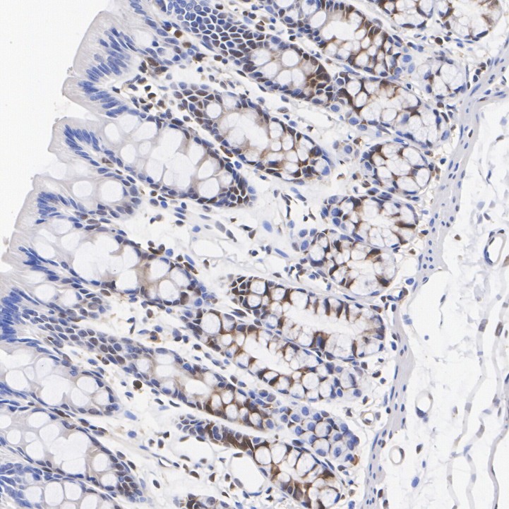
Immunohistochemical analysis of paraffin-embedded mouse colon tissue with Mouse anti-Cdk4 antibody (M1505-5) at 1/1,000 dilution.
The section was pre-treated using heat mediated antigen retrieval with Tris-EDTA buffer (pH 9.0) for 20 minutes. The tissues were blocked in 1% BSA for 20 minutes at room temperature, washed with ddH2O and PBS, and then probed with the primary antibody (M1505-5) at 1/1,000 dilution for 1 hour at room temperature. The detection was performed using an HRP conjugated compact polymer system. DAB was used as the chromogen. Tissues were counterstained with hematoxylin and mounted with DPX. -
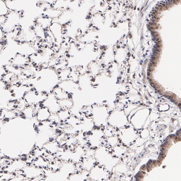
Immunohistochemical analysis of paraffin-embedded mouse lung tissue with Mouse anti-Cdk4 antibody (M1505-5) at 1/200 dilution.
The section was pre-treated using heat mediated antigen retrieval with Tris-EDTA buffer (pH 9.0) for 20 minutes. The tissues were blocked in 1% BSA for 20 minutes at room temperature, washed with ddH2O and PBS, and then probed with the primary antibody (M1505-5) at 1/200 dilution for 1 hour at room temperature. The detection was performed using an HRP conjugated compact polymer system. DAB was used as the chromogen. Tissues were counterstained with hematoxylin and mounted with DPX. -
Immunohistochemical analysis of paraffin-embedded rat colon tissue with Mouse anti-Cdk4 antibody (M1505-5) at 1/1,000 dilution.
The section was pre-treated using heat mediated antigen retrieval with Tris-EDTA buffer (pH 9.0) for 20 minutes. The tissues were blocked in 1% BSA for 20 minutes at room temperature, washed with ddH2O and PBS, and then probed with the primary antibody (M1505-5) at 1/1,000 dilution for 1 hour at room temperature. The detection was performed using an HRP conjugated compact polymer system. DAB was used as the chromogen. Tissues were counterstained with hematoxylin and mounted with DPX. -
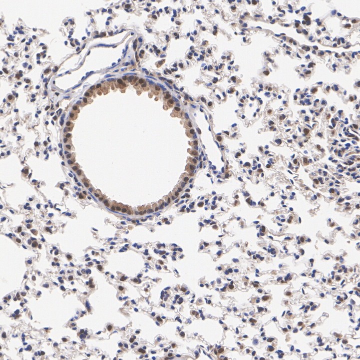
Immunohistochemical analysis of paraffin-embedded rat lung tissue with Mouse anti-Cdk4 antibody (M1505-5) at 1/200 dilution.
The section was pre-treated using heat mediated antigen retrieval with Tris-EDTA buffer (pH 9.0) for 20 minutes. The tissues were blocked in 1% BSA for 20 minutes at room temperature, washed with ddH2O and PBS, and then probed with the primary antibody (M1505-5) at 1/200 dilution for 1 hour at room temperature. The detection was performed using an HRP conjugated compact polymer system. DAB was used as the chromogen. Tissues were counterstained with hematoxylin and mounted with DPX.
请注意: All products are "FOR RESEARCH USE ONLY AND ARE NOT INTENDED FOR DIAGNOSTIC OR THERAPEUTIC USE"
引文
-
Proteasome regulation by reversible tyrosine phosphorylation at the membrane
Author: Chen, L., Zhang, Y., Shu, X., Chen, Q., Wei, T., Wang, H., Wang, X., Wu, Q., Zhang, X., Liu, X., Zheng, S., Huang, L., Xiao, J., Jiang, C., Yang, B., Wang, Z., & Guo, X.
PMID: 33603165
期刊: Oncogene
应用: WB
反应种属: Mouse
发表时间: 2021 Mar
-
Citation
同靶点 & 同通路的产品
Cdk4 Recombinant Rabbit Monoclonal Antibody [SD205-1]
Application: WB,IF-Cell,IF-Tissue,IHC-P,FC
Reactivity: Human,Mouse,Rat
Conjugate: unconjugated
Cdk4 Recombinant Mouse Monoclonal Antibody [5-C3-G3-R]
Application: WB
Reactivity: Human,Mouse,Rat
Conjugate: unconjugated
Cdk4 Recombinant Rabbit Monoclonal Antibody [SD20-42]
Application: WB,IF-Tissue,IHC-P
Reactivity: Human
Conjugate: unconjugated
Cdk4 Recombinant Rabbit Monoclonal Antibody [SD205-1] - BSA and Azide free
Application: WB,IF-Cell,IF-Tissue,IHC-P,FC
Reactivity: Human,Mouse,Rat
Conjugate: unconjugated
Cdk4 Recombinant Mouse Monoclonal Antibody [5-C3-G3-R] - BSA and Azide free
Application: WB
Reactivity: Human,Mouse,Rat
Conjugate: unconjugated


