概述
产品名称
Cdk4 Recombinant Rabbit Monoclonal Antibody [SD205-1]
抗体类型
Recombinant Rabbit monoclonal Antibody
免疫原
Recombinant protein within mouse Cdk4 aa 180-303.
种属反应性
Human, Mouse, Rat
验证应用
WB, IF-Cell, IF-Tissue, IHC-P, FC
分子量
Predicted band size: 34 kDa
阳性对照
SK-OV-3 cell lysate, Jurkat cell lysate, HeLa cell lysate, MCF7 cell lysate, K-562 cell lysate, A549 cell lysate, NIH:OVCAR-3 cell lysate, NIH/3T3 cell lysate, C2C12 cell lysate, C6 cell lysate, PC-12 cell lysate, Mouse brain tissue lysate, Rat lung tissue lysate, human thyroid carcinoma tissue, mouse colon tissue, mouse lung tissue, rat colon tissue, rat lung tissue, NIH/3T3, HeLa.
偶联
unconjugated
克隆号
SD205-1
RRID
产品特性
形态
Liquid
存放说明
Shipped at 4℃. Store at +4℃ short term (1-2 weeks). It is recommended to aliquot into single-use upon delivery. Store at -20℃ long term.
存储缓冲液
1*TBS (pH7.4), 0.05% BSA, 40% Glycerol. Preservative: 0.05% Sodium Azide.
亚型
IgG
纯化方式
Protein A affinity purified.
应用稀释度
-
WB
-
1:2,000
-
IF-Cell
-
1:50-1:200
-
IF-Tissue
-
1:50-1:200
-
IHC-P
-
1:200-1:1,000
-
FC
-
1:1,000
发表文章中的应用
| WB | 查看 12 篇文献如下 |
发表文章中的种属
| Human | 查看 11 篇文献如下 |
| Mouse | 查看 1 篇文献如下 |
靶点
功能
The protein encoded by this gene is a member of the Ser/Thr protein kinase family. This protein is highly similar to the gene products of S. cerevisiae cdc28 and S. pombe cdc2. It is a catalytic subunit of the protein kinase complex that is important for cell cycle G1 phase progression. The activity of this kinase is restricted to the G1-S phase, which is controlled by the regulatory subunits D-type cyclins and CDK inhibitor p16INK4a. This kinase was shown to be responsible for the phosphorylation of retinoblastoma gene product (Rb).Ser/Thr-kinase component of cyclin D-CDK4 (DC) complexes that phosphorylate and inhibit members of the retinoblastoma (RB) protein family including RB1 and regulate the cell-cycle during G1/S transition. Phosphorylation of RB1 allows dissociation of the transcription factor E2F from the RB/E2F complexes and the subsequent transcription of E2F target genes which are responsible for the progression through the G1 phase. Hypophosphorylates RB1 in early G1 phase. Cyclin D-CDK4 complexes are major integrators of various mitogenic and antimitogenic signals. Also phosphorylates SMAD3 in a cell-cycle-dependent manner and represses its transcriptional activity. Component of the ternary complex, cyclin D/CDK4/CDKN1B, required for nuclear translocation and activity of the cyclin D-CDK4 complex.
背景文献
1. Machado-Neto, JA. et al. 2014. ANKHD1, a novel component of the Hippo signaling pathway, promotes YAP1 activation and cell cycle progression in prostate cancer cells. Exp. Cell Res.. 324: 137-45.
2. Baranwal, S. et al. 2011. Molecular characterization of the tumor-suppressive function of nischarin in breast cancer. Journal of the National Cancer Institute. 103: 1513-28.
序列相似性
Belongs to the protein kinase superfamily. CMGC Ser/Thr protein kinase family. CDC2/CDKX subfamily.
翻译后修饰
Phosphorylation at Thr-172 is required for enzymatic activity. Phosphorylated, in vitro, at this site by CCNH-CDK7, but, in vivo, appears to be phosphorylated by a proline-directed kinase. In the cyclin D-CDK4-CDKN1B complex, this phosphorylation and consequent CDK4 enzyme activity, is dependent on the tyrosine phosphorylation state of CDKN1B. Thus, in proliferating cells, CDK4 within the complex is phosphorylated on Thr-172 in the T-loop. In resting cells, phosphorylation on Thr-172 is prevented by the non-tyrosine-phosphorylated form of CDKN1B.
亚细胞定位
Cytoplasm, Nucleus, Membrane.
别名
Cdk 4 antibody
cdk4 antibody
CDK4 protein antibody
CDK4_HUMAN antibody
Cell division kinase 4 antibody
Cell division protein kinase 4 antibody
CMM 3 antibody
CMM3 antibody
Crk3 antibody
Cyclin dependent kinase 4 antibody
展开Cdk 4 antibody
cdk4 antibody
CDK4 protein antibody
CDK4_HUMAN antibody
Cell division kinase 4 antibody
Cell division protein kinase 4 antibody
CMM 3 antibody
CMM3 antibody
Crk3 antibody
Cyclin dependent kinase 4 antibody
Cyclin-dependent kinase 4 antibody
Melanoma cutaneous malignant 3 antibody
MGC14458 antibody
p34 cdk4 antibody
PSK J3 antibody
PSK-J3 antibody
折叠图片
-
Western blot analysis of Cdk4 on different lysates with Rabbit anti-Cdk4 antibody (ET1612-23) at 1/2,000 dilution.
Lane 1: SK-OV-3 cell lysate (20 µg/Lane)
Lane 2: Jurkat cell lysate (20 µg/Lane)
Lane 3: HeLa cell lysate (20 µg/Lane)
Lane 4: MCF7 cell lysate (20 µg/Lane)
Lane 5: K-562 cell lysate (20 µg/Lane)
Lane 6: A549 cell lysate (20 µg/Lane)
Lane 7: NIH:OVCAR-3 cell lysate (20 µg/Lane)
Lane 8: NIH/3T3 cell lysate (20 µg/Lane)
Lane 9: C2C12 cell lysate (20 µg/Lane)
Lane 10: C6 cell lysate (20 µg/Lane)
Lane 11: PC-12 cell lysate (20 µg/Lane)
Lane 12: Mouse brain tissue lysate (40 µg/Lane)
Lane 13: Rat lung tissue lysate (40 µg/Lane)
Predicted band size: 34 kDa
Observed band size: 30 kDa
Exposure time: 24 seconds; ECL: K1801;
4-20% SDS-PAGE gel.
Proteins were transferred to a PVDF membrane and blocked with 5% NFDM/TBST for 1 hour at room temperature. The primary antibody (ET1612-23) at 1/2,000 dilution was used in 5% NFDM/TBST at 4℃ overnight. Goat Anti-Rabbit IgG - HRP Secondary Antibody (HA1001) at 1/50,000 dilution was used for 1 hour at room temperature. -
ICC staining of Cdk4 in AGS cells (green). Formalin fixed cells were permeabilized with 0.1% Triton X-100 in TBS for 10 minutes at room temperature and blocked with 1% Blocker BSA for 15 minutes at room temperature. Cells were probed with the primary antibody (ET1612-23, 1/50) for 1 hour at room temperature, washed with PBS. Alexa Fluor®488 Goat anti-Rabbit IgG was used as the secondary antibody at 1/1,000 dilution. The nuclear counter stain is DAPI (blue).
-
ICC staining of Cdk4 in NIH/3T3 cells (green). Formalin fixed cells were permeabilized with 0.1% Triton X-100 in TBS for 10 minutes at room temperature and blocked with 1% Blocker BSA for 15 minutes at room temperature. Cells were probed with the primary antibody (ET1612-23, 1/50) for 1 hour at room temperature, washed with PBS. Alexa Fluor®488 Goat anti-Rabbit IgG was used as the secondary antibody at 1/1,000 dilution. The nuclear counter stain is DAPI (blue).
-
Immunohistochemical analysis of paraffin-embedded human thyroid carcinoma tissue with Rabbit anti-Cdk4 antibody (ET1612-23) at 1/1,000 dilution.
The section was pre-treated using heat mediated antigen retrieval with Tris-EDTA buffer (pH 9.0) for 20 minutes. The tissues were blocked in 1% BSA for 20 minutes at room temperature, washed with ddH2O and PBS, and then probed with the primary antibody (ET1612-23) at 1/1,000 dilution for 1 hour at room temperature. The detection was performed using an HRP conjugated compact polymer system. DAB was used as the chromogen. Tissues were counterstained with hematoxylin and mounted with DPX. -
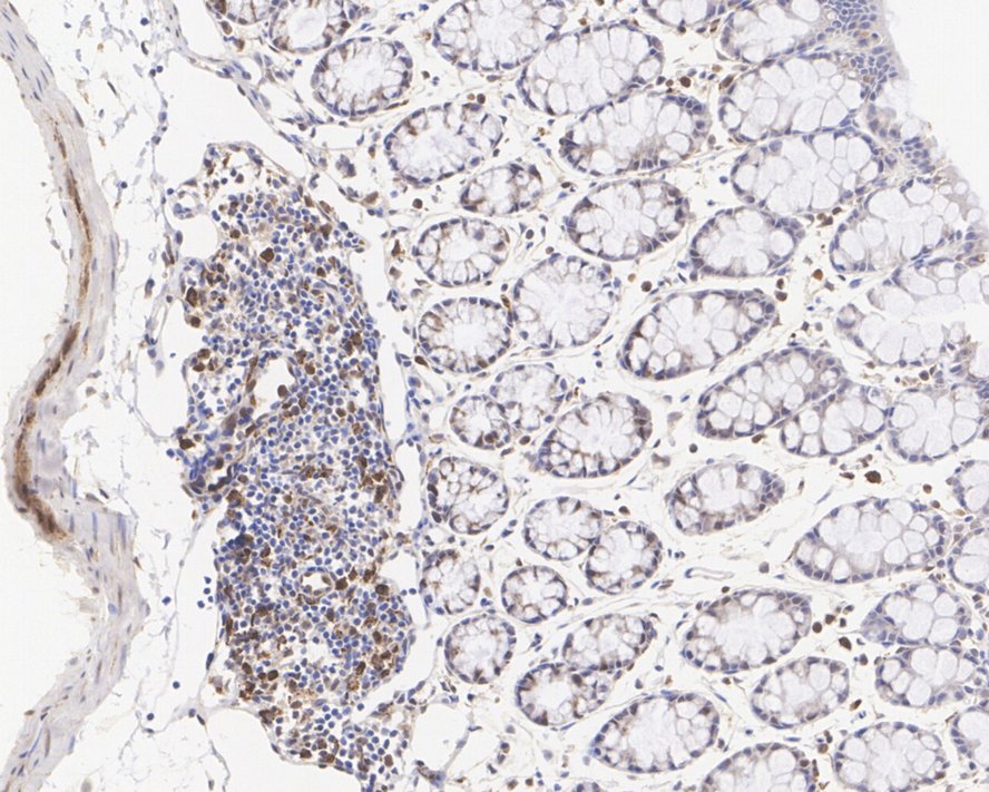
Immunohistochemical analysis of paraffin-embedded mouse colon tissue with Rabbit anti-Cdk4 antibody (ET1612-23) at 1/200 dilution.
The section was pre-treated using heat mediated antigen retrieval with Tris-EDTA buffer (pH 9.0) for 20 minutes. The tissues were blocked in 1% BSA for 20 minutes at room temperature, washed with ddH2O and PBS, and then probed with the primary antibody (ET1612-23) at 1/200 dilution for 1 hour at room temperature. The detection was performed using an HRP conjugated compact polymer system. DAB was used as the chromogen. Tissues were counterstained with hematoxylin and mounted with DPX. -
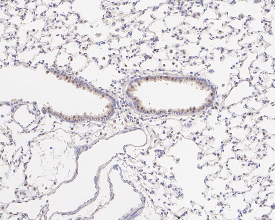
Immunohistochemical analysis of paraffin-embedded mouse lung tissue with Rabbit anti-Cdk4 antibody (ET1612-23) at 1/1,000 dilution.
The section was pre-treated using heat mediated antigen retrieval with Tris-EDTA buffer (pH 9.0) for 20 minutes. The tissues were blocked in 1% BSA for 20 minutes at room temperature, washed with ddH2O and PBS, and then probed with the primary antibody (ET1612-23) at 1/1,000 dilution for 1 hour at room temperature. The detection was performed using an HRP conjugated compact polymer system. DAB was used as the chromogen. Tissues were counterstained with hematoxylin and mounted with DPX. -
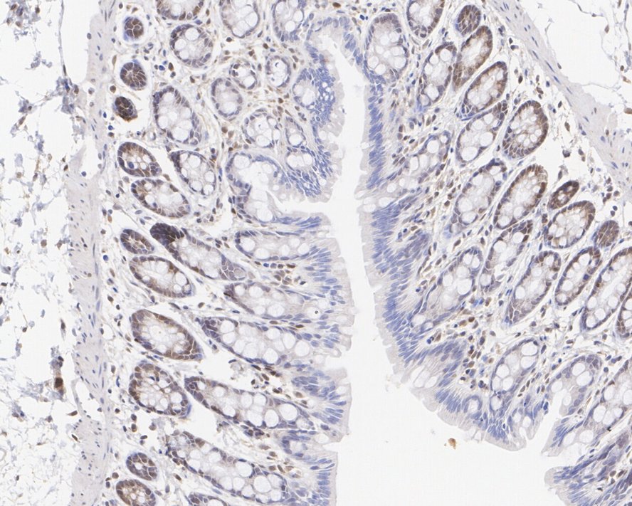
Immunohistochemical analysis of paraffin-embedded rat colon tissue with Rabbit anti-Cdk4 antibody (ET1612-23) at 1/200 dilution.
The section was pre-treated using heat mediated antigen retrieval with Tris-EDTA buffer (pH 9.0) for 20 minutes. The tissues were blocked in 1% BSA for 20 minutes at room temperature, washed with ddH2O and PBS, and then probed with the primary antibody (ET1612-23) at 1/200 dilution for 1 hour at room temperature. The detection was performed using an HRP conjugated compact polymer system. DAB was used as the chromogen. Tissues were counterstained with hematoxylin and mounted with DPX. -
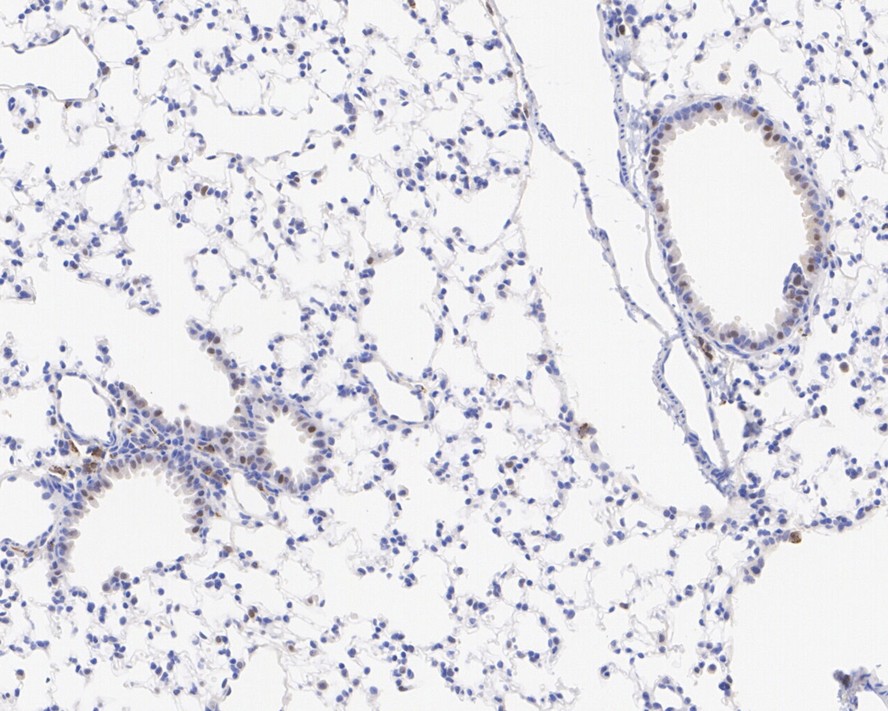
Immunohistochemical analysis of paraffin-embedded rat lung tissue with Rabbit anti-Cdk4 antibody (ET1612-23) at 1/200 dilution.
The section was pre-treated using heat mediated antigen retrieval with Tris-EDTA buffer (pH 9.0) for 20 minutes. The tissues were blocked in 1% BSA for 20 minutes at room temperature, washed with ddH2O and PBS, and then probed with the primary antibody (ET1612-23) at 1/200 dilution for 1 hour at room temperature. The detection was performed using an HRP conjugated compact polymer system. DAB was used as the chromogen. Tissues were counterstained with hematoxylin and mounted with DPX. -
Immunocytochemistry analysis of NIH/3T3 cells labeling Cdk4 with Rabbit anti-Cdk4 antibody (ET1612-23) at 1/100 dilution.
Cells were fixed in 4% paraformaldehyde for 20 minutes at room temperature, permeabilized with 0.1% Triton X-100 in PBS for 5 minutes at room temperature, then blocked with 1% BSA in 10% negative goat serum for 1 hour at room temperature. Cells were then incubated with Rabbit anti-Cdk4 antibody (ET1612-23) at 1/100 dilution in 1% BSA in PBST overnight at 4 ℃. Goat Anti-Rabbit IgG H&L (iFluor™ 488, HA1121) was used as the secondary antibody at 1/1,000 dilution. PBS instead of the primary antibody was used as the secondary antibody only control. Nuclear DNA was labelled in blue with DAPI.
Beta tubulin (M1305-2, red) was stained at 1/100 dilution overnight at +4℃. Goat Anti-Mouse IgG H&L (iFluor™ 594, HA1126) was used as the secondary antibody at 1/1,000 dilution. -
Flow cytometric analysis of HeLa cells labeling Cdk4.
Cells were fixed and permeabilized. Then stained with the primary antibody (ET1612-23, 1μg/mL) (red) compared with Rabbit IgG Isotype Control (green). After incubation of the primary antibody at +4℃ for an hour, the cells were stained with a iFluor™ 488 conjugate-Goat anti-Rabbit IgG Secondary antibody (HA1121) at 1/1,000 dilution for 30 minutes at +4℃. Unlabelled sample was used as a control (cells without incubation with primary antibody; black).
请注意: All products are "FOR RESEARCH USE ONLY AND ARE NOT INTENDED FOR DIAGNOSTIC OR THERAPEUTIC USE"
引文
-
Ethanol Extract of Adlay Hulls Suppresses Acute Myeloid Leukemia Cell Proliferation via PI3K/Akt Pathway Inhibition
Author: Guangjie Li, Wenyuan Yang, Jiahui Xu, Ziqian Liu, Zhijian Li, Xiaoqiu Wu, Tongtong Li, Ruoxian Wang, Yamin Zhu, Ning Liu
PMID: 19NOPMID25070902
期刊: Current Issues In Molecular Biology
应用: WB
反应种属: Human
发表时间: 2025 May
-
Citation
-
Hespintor Negative Regulation of PI3K/Akt Pathway Induces Cell Cycle Arrest of Hepatocellular Carcinoma
Author: Sun J., Lun Y. Z., Liu B., Dong W.
PMID: 39762705
期刊: Bulletin Of Experimental Biology And Medicine
应用: WB
反应种属: Mouse
发表时间: 2025 Jan
-
Citation
-
Hydrochlorothiazide disrupts DNA damage response to exacerbate skin photosensitivity
Author: Lei Tao,et al
PMID: 39541700
期刊: Ecotoxicology And Environmental Safety
应用: WB
反应种属: Human
发表时间: 2024 Nov
-
Citation
-
The anti-non-small cell lung cancer effect of Diosbulbin B: targeting YY1 induced cell cycle arrest and apoptosis
Author: Zhao Jinquan,et al
PMID: 38761775
期刊: Phytomedicine
应用: WB
反应种属: Human
发表时间: 2024 May
-
Citation
-
PSME3 promotes lung adenocarcinoma development by regulating the TGF-β/SMAD signaling pathway
Author: Shuai Wang, Yongmeng Li, Kai Jin, Kenichi Suda, Rongyang Li, Huiying Zhang, Hui Tian
PMID: 38973962
期刊: Translational Lung Cancer Research
应用: WB
反应种属: Human
发表时间: 2024 Jun
-
Citation
-
Peptidyl-prolyl isomerase F as a prognostic biomarker associated with immune infiltrates and mitophagy in lung adenocarcinoma
Author: Zitong Feng, Lin Yuan, Luyuan Ma, Wenhao Yu, Fayez Kheir, Lukas Käsmann, Wolfgang M. Brueckl, Kai Jin, Dingxin Wang, Yi Shen, Rongyang Li, Hui Tian
PMID: 38973949
期刊: Translational Lung Cancer Research
应用: WB
反应种属: Human
发表时间: 2024 Jun
-
Citation
-
Chidamide represses MYC expression and might improve survival for patients with double expressor lymphoma
Author: Liu Pengpeng,et al
PMID: 39005667
期刊: American Journal Of Cancer Research
应用: WB
反应种属: Human
发表时间: 2024 Jul
-
Citation
-
Integrating network pharmacology, molecular docking and experimental verification to reveal the mechanism of artesunate in inhibiting choroidal melanoma
Author: Ma Qing-yue, Liu Yi-chong, Zhang Qian, Yi Wen-dan, Sun Ying, Gao Xiao-di, Zhao Xin-tong, Wang Hao-wen, Lei Ke, Luo Wen-juan
PMID: 39185308
期刊: Frontiers In Pharmacology
应用: WB
反应种属: Human
发表时间: 2024 Aug
-
Citation
-
Arsenic-induced downregulation of BRWD3 suppresses proliferation and induces apoptosis in lung adenocarcinoma cells through the p53 and p65 pathways
Author: Zhu Yanhua,et al
PMID: 39190898
期刊: Human & Experimental Toxicology
应用: WB
反应种属: Human
发表时间: 2024 Aug
-
Citation
-
TPP1 inhibits DNA damage response and chemosensitivity in esophageal cancer
Author:
PMID: 37606165
期刊: Critical Reviews In Eukaryotic Gene Expression
应用: WB
反应种属: Human
发表时间: 2023 May
-
Citation
-
CDK2 and CDK4 targeted liensinine inhibits the growth of bladder cancer T24 cells
Author:
PMID: 37423554
期刊: Chemico-Biological Interactions
应用: WB
反应种属: Human
发表时间: 2023 Jul
-
Citation
-
Natural small molecule triptonide inhibits lethal acute myeloid leukemia with FLT3-ITD mutation by targeting Hedgehog/FLT3 signaling
Author:
PMID: 33254022
期刊: Biomedicine & Pharmacotherapy
应用: WB
反应种属: Human
发表时间: 2021 Jan
-
Citation
同靶点 & 同通路的产品
Cdk4 Recombinant Mouse Monoclonal Antibody [5-C3-G3-R]
Application: WB
Reactivity: Human,Mouse,Rat
Conjugate: unconjugated
Cdk4 Recombinant Rabbit Monoclonal Antibody [SD20-42]
Application: WB,IF-Tissue,IHC-P
Reactivity: Human
Conjugate: unconjugated
Cdk4 Mouse Monoclonal Antibody [5-C3-G3]
Application: WB,IHC-P,IF-Cell
Reactivity: Human,Mouse,Rat
Conjugate: unconjugated
Cdk4 Recombinant Rabbit Monoclonal Antibody [SD205-1] - BSA and Azide free
Application: WB,IF-Cell,IF-Tissue,IHC-P,FC
Reactivity: Human,Mouse,Rat
Conjugate: unconjugated
Cdk4 Recombinant Mouse Monoclonal Antibody [5-C3-G3-R] - BSA and Azide free
Application: WB
Reactivity: Human,Mouse,Rat
Conjugate: unconjugated

