CD68 Recombinant Antibody [PDM0-13] - Rabbit IgG (Chimeric) - BSA and Azide free
概述
产品名称
CD68 Recombinant Antibody [PDM0-13] - Rabbit IgG (Chimeric) - BSA and Azide free
抗体类型
Recombinant Chimeric Antibody
免疫原
Recombinant protein within Human CD68 aa 1-354.
种属反应性
Human
验证应用
IF-Tissue, IHC-P
分子量
Predicted band size: 37 kDa
阳性对照
Human liver tissue, human spleen tissue.
偶联
unconjugated
克隆号
PDM0-13
产品特性
形态
Liquid
存放说明
Store at +4℃ after thawing. Aliquot store at -20℃. Avoid repeated freeze / thaw cycles.
存储缓冲液
PBS (pH7.4).
纯化方式
Protein A affinity purified.
应用稀释度
-
IF-Tissue
-
1:500-1:1,000
-
IHC-P
-
1:4,000
靶点
功能
CD68 (Cluster of Differentiation 68) is a protein highly expressed by cells in the monocyte lineage (e.g., monocytic phagocytes, osteoclasts), by circulating macrophages, and by tissue macrophages (e.g., Kupffer cells, microglia). Human CD68 is a transmembrane glycoprotein, heavily glycosylated in its extracellular domain, with a molecular weight of 110 kD. Its primary sequence consists of 354 amino acids with predicted molecular weight of 37.4 kD if it were not glycosylated. Immunohistochemistry can be used to identify the presence of CD68, which is found in the cytoplasmic granules of a range of different blood cells and myocytes. It is particularly useful as a marker for the various cells of the macrophage lineage, including monocytes, histiocytes, giant cells, Kupffer cells, and osteoclasts. This allows it to be used to distinguish diseases of otherwise similar appearance, such as the monocyte/macrophage and lymphoid forms of leukaemia (the latter being CD68 negative). Its presence in macrophages also makes it useful in diagnosing conditions related to proliferation or abnormality of these cells, such as malignant histiocytosis, histiocytic lymphoma, and Gaucher's disease.
背景文献
1. Wang L. et. al. Specific clinical and immune features of CD68 in glioma via 1,024 samples. Cancer Manag Res. 2018 Nov 27;10:6409-6419.
2. Minami K. et. al. Prognostic significance of CD68, CD163 and Folate receptor-β positive macrophages in hepatocellular carcinoma. Exp Ther Med. 2018 May;15(5):4465-4476.
亚细胞定位
Cell membrane. Endosome membrane, Lysosome membrane.
UNIPROT
别名
CD 68 antibody
CD68 antibody
CD68 antigen antibody
CD68 molecule antibody
CD68_HUMAN antibody
DKFZp686M18236 antibody
gp11 antibody
Gp110 antibody
LAMP4 antibody
Macrophage antigen CD68 (microsialin) antibody
展开CD 68 antibody
CD68 antibody
CD68 antigen antibody
CD68 molecule antibody
CD68_HUMAN antibody
DKFZp686M18236 antibody
gp11 antibody
Gp110 antibody
LAMP4 antibody
Macrophage antigen CD68 (microsialin) antibody
MACROPHAGE ANTIGEN CD68 antibody
Macrosialin antibody
SCARD1 antibody
Scavenger receptor class D member 1 antibody
折叠图片
-
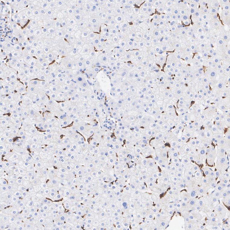
Application: IF-Tissue
Species: Human
Site: liver
Sample: Paraffin-embedded section
Antibody concentration: 1/500 -
Immunohistochemical analysis of paraffin-embedded human liver tissue with Rabbit anti-CD68 antibody (HA751544) at 1/4,000 dilution.
The section was pre-treated using heat mediated antigen retrieval with Tris-EDTA buffer (pH 9.0) for 20 minutes. The tissues were blocked in 1% BSA for 20 minutes at room temperature, washed with ddH2O and PBS, and then probed with the primary antibody (HA751544) at 1/4,000 dilution for 1 hour at room temperature. The detection was performed using an HRP conjugated compact polymer system. DAB was used as the chromogen. Tissues were counterstained with hematoxylin and mounted with DPX. -
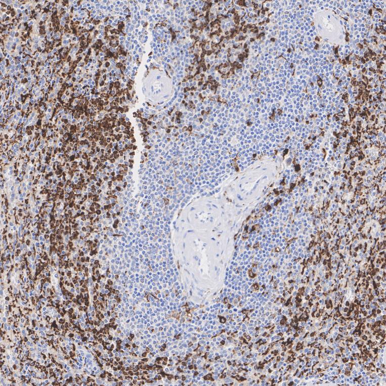
Immunohistochemical analysis of paraffin-embedded human spleen tissue with Rabbit anti-CD68 antibody (HA751544) at 1/4,000 dilution.
The section was pre-treated using heat mediated antigen retrieval with Tris-EDTA buffer (pH 9.0) for 20 minutes. The tissues were blocked in 1% BSA for 20 minutes at room temperature, washed with ddH2O and PBS, and then probed with the primary antibody (HA751544) at 1/4,000 dilution for 1 hour at room temperature. The detection was performed using an HRP conjugated compact polymer system. DAB was used as the chromogen. Tissues were counterstained with hematoxylin and mounted with DPX.
请注意: All products are "FOR RESEARCH USE ONLY AND ARE NOT INTENDED FOR DIAGNOSTIC OR THERAPEUTIC USE"
同靶点 & 同通路的产品
CD68 Mouse Monoclonal Antibody [A3C4]
Application: WB,IHC-P,FC,mIHC
Reactivity: Human
Conjugate: unconjugated
CD68 Rabbit Polyclonal Antibody
Application: WB,IHC-P,IF-Tissue
Reactivity: Human,Mouse,Rat
Conjugate: unconjugated
CD68 Recombinant Rabbit Monoclonal Antibody [SN07-27]
Application: WB
Reactivity: Human
Conjugate: unconjugated
CD68 Recombinant Antibody - Rat IgG1 (Chimeric)
Application: mIHC
Reactivity: Human
Conjugate: unconjugated
CD68 Mouse Monoclonal Antibody [F3-D7]
Application: WB,IHC-P,IF-Cell,FC
Reactivity: Human
Conjugate: unconjugated
CD68 Recombinant Antibody [PDM0-13] - Rat IgG1 (Chimeric)
Application: IF-Tissue,IHC-P
Reactivity: Human
Conjugate: unconjugated
CD68 Recombinant Antibody - Rabbit IgG (Chimeric)
Application: mIHC
Reactivity: Human
Conjugate: unconjugated
CD68 Recombinant Antibody [PDM0-13] - Rat IgG1 (Chimeric) - BSA and Azide free
Application: IF-Tissue,IHC-P
Reactivity: Human
Conjugate: unconjugated
CD68 Mouse Monoclonal Antibody [A3C3]
Application: WB,IHC-P,FC
Reactivity: Human
Conjugate: unconjugated
CD68 Recombinant Mouse Monoclonal Antibody [A3C4-R]
Application: WB,IF-Cell,IHC-P
Reactivity: Human
Conjugate: unconjugated
CD68 Recombinant Mouse Monoclonal Antibody [A3C2-R]
Application: WB,IF-Cell,IHC-P
Reactivity: Human
Conjugate: unconjugated
CD68 Recombinant Mouse Monoclonal Antibody [PDM0-13] - BSA and Azide free
Application: IHC-P,IF-Cell,FC,IF-Tissue
Reactivity: Human
Conjugate: unconjugated
CD68 Recombinant Mouse Monoclonal Antibody [A3C4-R] - BSA and Azide free
Application: WB,IF-Cell,IHC-P
Reactivity: Human
Conjugate: unconjugated
CD68 Recombinant Mouse Monoclonal Antibody [A3C2-R] - BSA and Azide free
Application: WB,IF-Cell,IHC-P
Reactivity: Human
Conjugate: unconjugated
CD68 Recombinant Antibody [PDM0-13] - Rabbit IgG (Chimeric)
Application: IF-Tissue,IHC-P
Reactivity: Human
Conjugate: unconjugated
CD68 Recombinant Mouse Monoclonal Antibody [PDM0-13]
Application: IHC-P,IF-Cell,FC,mIHC,IF-Tissue
Reactivity: Human
Conjugate: unconjugated
CD68 Recombinant Mouse Monoclonal Antibody
Application: mIHC
Reactivity: Human
Conjugate: unconjugated
CD68 Mouse Monoclonal Antibody [A3C2]
Application: WB,IHC-P,FC
Reactivity: Human
Conjugate: unconjugated
CD68 Recombinant Mouse Monoclonal Antibody [A3C3-R]
Application: WB,IF-Cell,IHC-P,FC
Reactivity: Human
Conjugate: unconjugated