-
☑ Relative expression (RE)
Western blot analysis of CD48 on different lysates with Rabbit anti-CD48 antibody (HA751368) at 1/2,000 dilution.
Lane 1: Raji cell lysate
Lane 2: HeLa cell lysate (negative)
Lane 3: Ramos cell lysate
Lane 4: THP-1 cell lysate (negative)
Lane 5: Daudi cell lysate
Lane 6: Jurkat cell lysate
Lysates/proteins at 20 µg/Lane.
Predicted band size: 28 kDa
Observed band size: 40-50 kDa
Exposure time: 25 seconds; ECL: K1801;
4-20% SDS-PAGE gel.
Proteins were transferred to a PVDF membrane and blocked with 5% NFDM/TBST for 1 hour at room temperature. The primary antibody (HA751368) at 1/2,000 dilution was used in 5% NFDM/TBST at 4℃ overnight. Goat Anti-Rabbit IgG - HRP Secondary Antibody (HA1001) at 1/50,000 dilution was used for 1 hour at room temperature.
-
☑ Relative expression (RE)
Flow cytometric analysis of HeLa (left, negative) and Daudi (right, positive) cells labeling CD48.
Cells were fixed and permeabilized. Then stained with the primary antibody (HA751368, 1/2,000) (red) compared with Rabbit IgG Isotype Control (green). After incubation of the primary antibody at +4℃ for an hour, the cells were stained with a iFluor™ 488 conjugate-Goat anti-Rabbit IgG Secondary antibody (HA1121) at 1/1,000 dilution for 30 minutes at +4℃. Unlabelled sample was used as a control (cells without incubation with primary antibody; black).
-
☑ Relative expression (RE)
Flow cytometric analysis of THP-1 (left, negative) and Daudi (right, positive) cells labeling CD48.
Cells were fixed and permeabilized. Then stained with the primary antibody (HA751368, 1/2,000) (red) compared with Rabbit IgG Isotype Control (green). After incubation of the primary antibody at +4℃ for an hour, the cells were stained with a iFluor™ 488 conjugate-Goat anti-Rabbit IgG Secondary antibody (HA1121) at 1/1,000 dilution for 30 minutes at +4℃. Unlabelled sample was used as a control (cells without incubation with primary antibody; black).
-
CD48 was immunoprecipitated from 0.2 mg Daudi cell lysate with HA751368 at 2 µg/10 µl beads. Western blot was performed from the immunoprecipitate using HA751368 at 1/1,000 dilution. HRP Conjugated Anti-Rabbit IgG for IP Nano-secondary antibody at 1/5,000 dilution was used for 1 hour at room temperature.
Lane 1: Daudi cell lysate (input)
Lane 2: HA751368 IP in Daudi cell lysate
Lane 3: Rabbit IgG instead of HA751368 in Daudi cell lysate
Blocking/Dilution buffer: 5% NFDM/TBST
Exposure time: 4 seconds; ECL: K1801
-
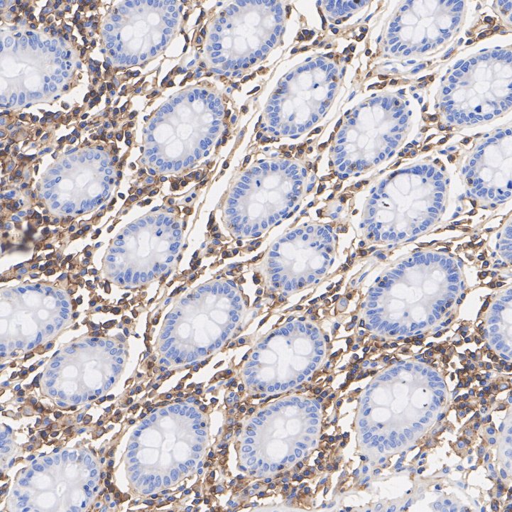
Immunohistochemical analysis of paraffin-embedded human colon tissue with Rabbit anti-CD48 antibody (HA751368) at 1/2,000 dilution.
The section was pre-treated using heat mediated antigen retrieval with Tris-EDTA buffer (pH 9.0) for 20 minutes. The tissues were blocked in 1% BSA for 20 minutes at room temperature, washed with ddH2O and PBS, and then probed with the primary antibody (HA751368) at 1/2,000 dilution for 1 hour at room temperature. The detection was performed using an HRP conjugated compact polymer system. DAB was used as the chromogen. Tissues were counterstained with hematoxylin and mounted with DPX.
-
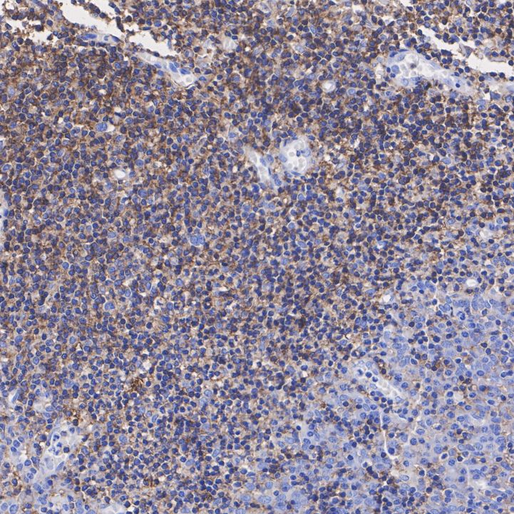
Immunohistochemical analysis of paraffin-embedded human tonsil tissue with Rabbit anti-CD48 antibody (HA751368) at 1/600 dilution.
The section was pre-treated using heat mediated antigen retrieval with Tris-EDTA buffer (pH 9.0) for 20 minutes. The tissues were blocked in 1% BSA for 20 minutes at room temperature, washed with ddH2O and PBS, and then probed with the primary antibody (HA751368) at 1/600 dilution for 1 hour at room temperature. The detection was performed using an HRP conjugated compact polymer system. DAB was used as the chromogen. Tissues were counterstained with hematoxylin and mounted with DPX.
-
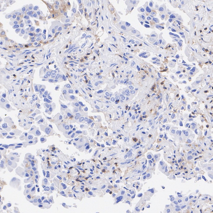
Immunohistochemical analysis of paraffin-embedded human lung adenocarcinoma tissue with Rabbit anti-CD48 antibody (HA751368) at 1/2,000 dilution.
The section was pre-treated using heat mediated antigen retrieval with Tris-EDTA buffer (pH 9.0) for 20 minutes. The tissues were blocked in 1% BSA for 20 minutes at room temperature, washed with ddH2O and PBS, and then probed with the primary antibody (HA751368) at 1/2,000 dilution for 1 hour at room temperature. The detection was performed using an HRP conjugated compact polymer system. DAB was used as the chromogen. Tissues were counterstained with hematoxylin and mounted with DPX.
请注意: All products are "FOR RESEARCH USE ONLY AND ARE NOT INTENDED FOR DIAGNOSTIC OR THERAPEUTIC USE"