Catalog# HA721371
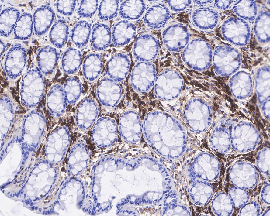
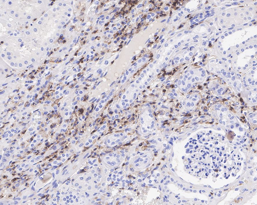
CD48 Recombinant Rabbit Monoclonal Antibody [JE37-98]
Application
-
WB
-
IHC-P
Reactivity
-
Human
Conjugation
-
unconjugated


浙公网安备 33019202000643号