-
☑ Relative expression (RE)
Western blot analysis of CD3 on different lysates with Rabbit anti-CD3 antibody (HA724302) at 1/20,000 dilution.
Lane 1: MOLT-4 cell lysate
Lane 2: Raji cell lysate (negative)
Lane 3: Jurkat cell lysate
Lane 4: THP-1 cell lysate (negative)
Lysates/proteins at 10 µg/Lane.
Predicted band size: 23 kDa
Observed band size: 20 kDa
Exposure time: 4 seconds; ECL: K1801;
4-20% SDS-PAGE gel.
Proteins were transferred to a PVDF membrane and blocked with 5% NFDM/TBST for 1 hour at room temperature. The primary antibody (HA724302) at 1/20,000 dilution was used in primary antibody dilution (K1803) at 4℃ overnight. Goat Anti-Rabbit IgG - HRP Secondary Antibody (HA1001) at 1/50,000 dilution was used for 1 hour at room temperature.
-
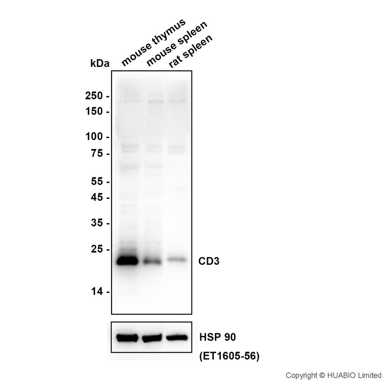
Western blot analysis of CD3 on different lysates with Rabbit anti-CD3 antibody (HA724302) at 1/5,000 dilution.
Lane 1: Mouse thymus tissue lysate
Lane 2: Mouse spleen tissue lysate
Lane 3: Rat spleen tissue lysate
Lysates/proteins at 30 µg/Lane.
Predicted band size: 21 kDa
Observed band size: 21 kDa
Exposure time: 6 seconds; ECL: K1801;
4-20% SDS-PAGE gel.
Proteins were transferred to a PVDF membrane and blocked with 5% NFDM/TBST for 1 hour at room temperature. The primary antibody (HA724302) at 1/5,000 dilution was used in primary antibody dilution (K1803) at 4℃ overnight. Goat Anti-Rabbit IgG - HRP Secondary Antibody (HA1001) at 1/50,000 dilution was used for 1 hour at room temperature.
-
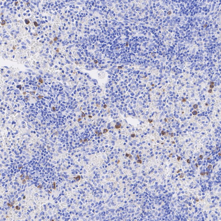
Application: IHC-Fr
Species: Mouse
Site: spleen
Sample: Frozen section
Antibody concentration: 1/500
Antigen retrieval: Not required
-
Application: IHC-Fr
Species: Rat
Site: spleen
Sample: Frozen section
Antibody concentration: 1/500
Antigen retrieval: Not required
-
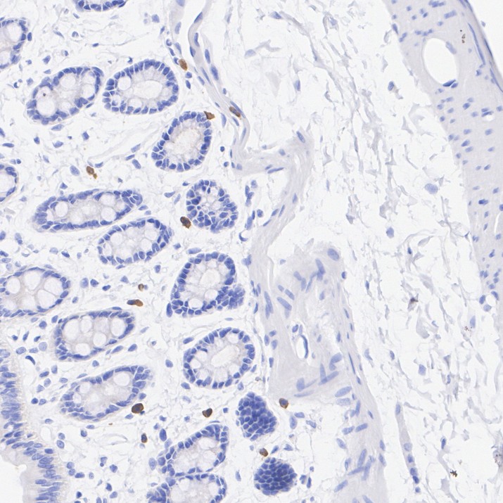
Immunohistochemical analysis of paraffin-embedded rat colon tissue with Rabbit anti-CD3 antibody (HA724302) at 1/5,000 dilution.
The section was pre-treated using heat mediated antigen retrieval with Tris-EDTA buffer (pH 9.0) for 20 minutes. The tissues were blocked in 1% BSA for 20 minutes at room temperature, washed with ddH2O and PBS, and then probed with the primary antibody (HA724302) at 1/5,000 dilution for 1 hour at room temperature. The detection was performed using an HRP conjugated compact polymer system. DAB was used as the chromogen. Tissues were counterstained with hematoxylin and mounted with DPX.
-
Immunohistochemical analysis of paraffin-embedded rat spleen tissue with Rabbit anti-CD3 antibody (HA724302) at 1/5,000 dilution.
The section was pre-treated using heat mediated antigen retrieval with Tris-EDTA buffer (pH 9.0) for 20 minutes. The tissues were blocked in 1% BSA for 20 minutes at room temperature, washed with ddH2O and PBS, and then probed with the primary antibody (HA724302) at 1/5,000 dilution for 1 hour at room temperature. The detection was performed using an HRP conjugated compact polymer system. DAB was used as the chromogen. Tissues were counterstained with hematoxylin and mounted with DPX.
-
Application: IF-Tissue
Species: Mouse
Site: spleen
Sample: Paraffin-embedded section
Antibody concentration: 1/500
-
Application: IF-Tissue
Species: Rat
Site: spleen
Sample: Paraffin-embedded section
Antibody concentration: 1/500
-
☑ Relative expression (RE)
Immunocytochemistry analysis of Jurkat (positive) and THP-1 (negative) labeling CD3 with Rabbit anti-CD3 antibody (HA724302) at 1/500 dilution.
Cells were fixed in 4% paraformaldehyde for 15 minutes at room temperature, permeabilized with 0.1% Triton X-100 in PBS for 15 minutes at room temperature, then blocked with 1% BSA in 10% negative goat serum for 1 hour at room temperature. Cells were then incubated with Rabbit anti-CD3 antibody (HA724302) at 1/500 dilution in 1% BSA in PBST overnight at 4 ℃. Goat Anti-Rabbit IgG H&L (iFluor™ 488, HA1121) was used as the secondary antibody at 1/1,000 dilution. PBS instead of the primary antibody was used as the secondary antibody only control. Nuclear DNA was labelled in blue with DAPI.
Beta tubulin (HA601187, red) was stained at 1/100 dilution overnight at +4℃. Goat Anti-Mouse IgG H&L (iFluor™ 594, HA1126) was used as the secondary antibody at 1/1,000 dilution.
-
Immunocytochemistry analysis of MOLT-4 cells labeling CD3 with Rabbit anti-CD3 antibody (HA724302) at 1/2,500 dilution.
Cells were fixed in 4% paraformaldehyde for 15 minutes at room temperature, permeabilized with 0.1% Triton X-100 in PBS for 15 minutes at room temperature, then blocked with 1% BSA in 10% negative goat serum for 1 hour at room temperature. Cells were then incubated with Rabbit anti-CD3 antibody (HA724302) at 1/2,500 dilution in 1% BSA in PBST overnight at 4 ℃. Goat Anti-Rabbit IgG H&L (iFluor™ 488, HA1121) was used as the secondary antibody at 1/1,000 dilution. PBS instead of the primary antibody was used as the secondary antibody only control. Nuclear DNA was labelled in blue with DAPI.
Beta tubulin (HA601187, red) was stained at 1/100 dilution overnight at +4℃. Goat Anti-Mouse IgG H&L (iFluor™ 594, HA1126) was used as the secondary antibody at 1/1,000 dilution.
-
Immunocytochemistry analysis of mouse splenocytes labeling CD3 with Rabbit anti-CD3 antibody (HA724302) at 1/200 dilution.
Cells were fixed in 4% paraformaldehyde for 15 minutes at room temperature, permeabilized with 0.1% Triton X-100 in PBS for 15 minutes at room temperature, then blocked with 1% BSA in 10% negative goat serum for 1 hour at room temperature. Cells were then incubated with Rabbit anti-CD3 antibody (HA724302) at 1/200 dilution in 1% BSA in PBST overnight at 4 ℃. Goat Anti-Rabbit IgG H&L (iFluor™ 488, HA1121) was used as the secondary antibody at 1/1,000 dilution. PBS instead of the primary antibody was used as the secondary antibody only control. Nuclear DNA was labelled in blue with DAPI.
Beta tubulin (HA601187, red) was stained at 1/100 dilution overnight at +4℃. Goat Anti-Mouse IgG H&L (iFluor™ 594, HA1126) was used as the secondary antibody at 1/1,000 dilution.
-
Flow cytometric analysis of MOLT-4 cells labeling CD3.
Cells were washed twice with cold PBS and resuspend. Then stained with the primary antibody (HA724302, 1/1,000) (red) compared with Rabbit IgG Isotype Control (green). After incubation of the primary antibody at +4℃ for an hour, the cells were stained with a iFluor™ 488 conjugate-Goat anti-Rabbit IgG Secondary antibody (HA1121) at 1/1,000 dilution for 30 minutes at +4℃. Unlabelled sample was used as a control (cells without incubation with primary antibody; black).
-
CD3 was immunoprecipitated from 0.2 mg MOLT-4 cell lysate with HA724302 at 2 µg/10 µl beads. Western blot was performed from the immunoprecipitate using HA724302 at 1/10,000 dilution. Alpaca anti-Rabbit IgG Fc secondary antibody (HA1031) at 1/50,000 dilution was used for 1 hour at room temperature.
Lane 1: MOLT-4 cell lysate (input)
Lane 2: HA724302 IP in MOLT-4 cell lysate
Lane 3: Rabbit IgG instead of HA724302 in MOLT-4 cell lysate
Blocking/Dilution buffer: 5% NFDM/TBST
Exposure time: 7 seconds; ECL: K1801
请注意: All products are "FOR RESEARCH USE ONLY AND ARE NOT INTENDED FOR DIAGNOSTIC OR THERAPEUTIC USE"