Catalog# HA721329
ADX Recombinant Rabbit Monoclonal Antibody [JE63-56]
Application
-
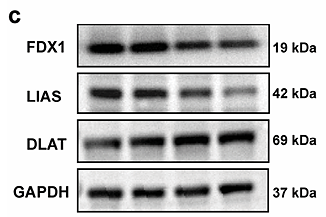
WB
-
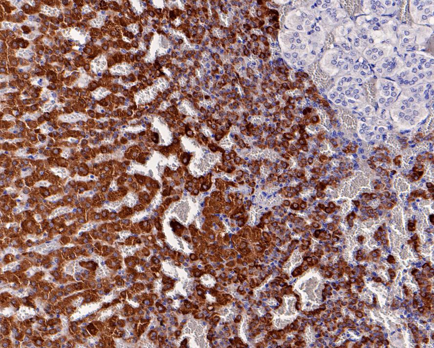
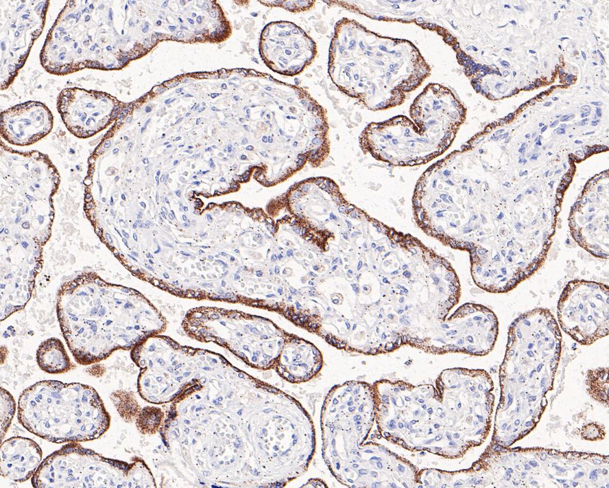
IHC-P
-
IF-Cell
Reactivity
-
Human
-
Mouse
-
Rat
Conjugation
-
unconjugated
This product has been cited in peer reviewed publications, see list HERE

浙公网安备 33019202000643号