图片
-
☑ Relative expression (RE)
Western blot analysis of TdT on different lysates with Rabbit anti-TdT antibody (HA721211) at 1/1,000 dilution.
Lane 1: Jurkat cell lysate (20 µg/Lane)
Lane 2: A431 cell lysate (negative) (20 µg/Lane)
Lane 3: Raji cell lysate (negative) (20 µg/Lane)
Lane 4: Daudi cell lysate (negative) (20 µg/Lane)
Lane 5: MOLT-4 cell lysate (20 µg/Lane)
Predicted band size: 59 kDa
Observed band size: 55 kDa
Exposure time: 1 minute; ECL: K1801;
4-20% SDS-PAGE gel.
Proteins were transferred to a PVDF membrane and blocked with 5% NFDM/TBST for 1 hour at room temperature. The primary antibody (HA721211) at 1/1,000 dilution was used in 5% NFDM/TBST at 4℃ overnight. Goat Anti-Rabbit IgG - HRP Secondary Antibody (HA1001) at 1/50,000 dilution was used for 1 hour at room temperature.
-
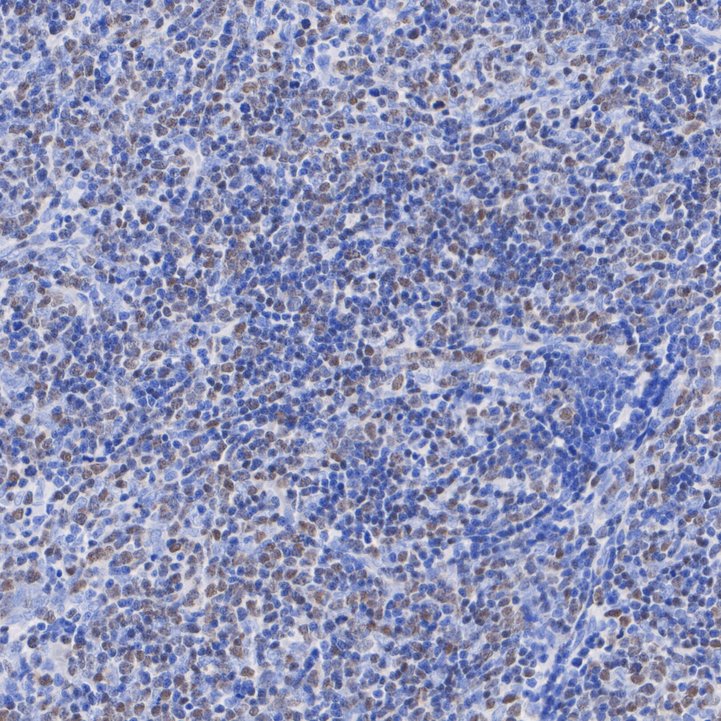
Immunohistochemical analysis of paraffin-embedded human thymus tissue with Rabbit anti-TdT antibody (HA721211) at 1/200 dilution.
The section was pre-treated using heat mediated antigen retrieval with Tris-EDTA buffer (pH 9.0) for 20 minutes. The tissues were blocked in 1% BSA for 20 minutes at room temperature, washed with ddH2O and PBS, and then probed with the primary antibody (HA721211) at 1/200 dilution for 1 hour at room temperature. The detection was performed using an HRP conjugated compact polymer system. DAB was used as the chromogen. Tissues were counterstained with hematoxylin and mounted with DPX.
-
☑ Relative expression (RE)
Immunohistochemical analysis of paraffin-embedded human liver tissue (negative) with Rabbit anti-TdT antibody (HA721211) at 1/50 dilution.
The section was pre-treated using heat mediated antigen retrieval with Tris-EDTA buffer (pH 9.0) for 20 minutes. The tissues were blocked in 1% BSA for 20 minutes at room temperature, washed with ddH2O and PBS, and then probed with the primary antibody (HA721211) at 1/50 dilution for 1 hour at room temperature. The detection was performed using an HRP conjugated compact polymer system. DAB was used as the chromogen. Tissues were counterstained with hematoxylin and mounted with DPX.
请注意: All products are "FOR RESEARCH USE ONLY AND ARE NOT INTENDED FOR DIAGNOSTIC OR THERAPEUTIC USE"