Facilitator of innate immune signaling that promotes the production of type I interferon (IFN-alpha and IFN-beta). Innate immune response is triggered in response to non-CpG double-stranded DNA from viruses and bacteria delivered to the cytoplasm. Able to activate both NF-kappa-B and IRF3 transcription pathways to induce expression of type I interferon and exert a potent anti-viral state following expression. May be involved in translocon function, the translocon possibly being able to influence the induction of type I interferons. May be involved in transduction of apoptotic signals via its association with the major histocompatibility complex class II (MHC-II). Mediates death signaling via activation of the extracellular signal-regulated kinase (ERK) pathway.
背景文献
1. Panchanathan R et al. Identification of a negative feedback loop between cyclic di-GMP-induced levels of IFI16 and p202 cytosolic DNA sensors and STING. Innate Immun 20(7):751-9 (2014).
2. Orzalli MH et al. Nuclear interferon-inducible protein 16 promotes silencing of herpesviral and transfected DNA. Proc Natl Acad Sci U S A 110:E4492-501 (2013).
序列相似性
Belongs to the STING family.
组织特异性
Ubiquitously expressed. Expressed in skin endothelial cells, alveolar type 2 pneumocytes, bronchial epithelium and alveolar macrophages.
翻译后修饰
Phosphorylation by TBK1 leads to activation and production of IFN-beta. Following cyclic nucleotide (c-di-GMP or cGAMP)-binding, activation and translocation from the endoplasmic reticulum, STING1 is phosphorylated by TBK1 at Ser-366 in the pLxIS motif. The phosphorylated pLxIS motif constitutes an IRF3-binding motif, leading to recruitment of the transcription factor IRF3 to induce type-I interferons and other cytokines. Phosphorylated on tyrosine residues upon MHC-II aggregation (By similarity).; Ubiquitinated. Ubiquitinated via 'Lys-63'-linked ubiquitin chains in response to double-stranded DNA treatment, leading to relocalization to autophagosomes and subsequent degradation; this process is dependent on SQSTM1 (By similarity). 'Lys-63'-linked ubiquitination mediated by TRIM56 at Lys-150 promotes homodimerization and recruitment of the antiviral kinase TBK1 and subsequent production of IFN-beta. 'Lys-48'-linked polyubiquitination at Lys-150 occurring after viral infection is mediated by RNF5 and leads to proteasomal degradation. 'Lys-11'-linked polyubiquitination at Lys-150 by RNF26 leads to stabilize STING1: it protects STING1 from RNF5-mediated 'Lys-48'-linked polyubiquitination.
Western blot analysis of STING on different lysates with Rabbit anti-STING antibody (ET1705-68) at 1/1,000 dilution.
Lane 1: THP-1 cell lysate (15 µg/Lane) Lane 2: SW620 cell lysate (15 µg/Lane) Lane 3: Human lung tissue lysate (30 µg/Lane)
Predicted band size: 42 kDa Observed band size: 35 kDa
Exposure time: 1 minute 2 seconds; ECL: K1801;
4-20% SDS-PAGE gel.
Proteins were transferred to a PVDF membrane and blocked with 5% NFDM/TBST for 1 hour at room temperature. The primary antibody (ET1705-68) at 1/1,000 dilution was used in 5% NFDM/TBST at 4℃ overnight. Goat Anti-Rabbit IgG - HRP Secondary Antibody (HA1001) at 1/50,000 dilution was used for 1 hour at room temperature.
Immunocytochemistry analysis of THP-1 cells labeling STING with Rabbit anti-STING antibody (ET1705-68) at 1/100 dilution.
Cells were fixed in 4% paraformaldehyde for 20 minutes at room temperature, permeabilized with 0.1% Triton X-100 in PBS for 5 minutes at room temperature, then blocked with 1% BSA in 10% negative goat serum for 1 hour at room temperature. Cells were then incubated with Rabbit anti-STING antibody (ET1705-68) at 1/100 dilution in 1% BSA in PBST overnight at 4 ℃. Goat Anti-Rabbit IgG H&L (iFluor™ 488, HA1121) was used as the secondary antibody at 1/1,000 dilution. PBS instead of the primary antibody was used as the secondary antibody only control. Nuclear DNA was labelled in blue with DAPI.
Beta tubulin (M1305-2, red) was stained at 1/100 dilution overnight at +4℃. Goat Anti-Mouse IgG H&L (iFluor™ 594, HA1126) was used as the secondary antibody at 1/1,000 dilution.
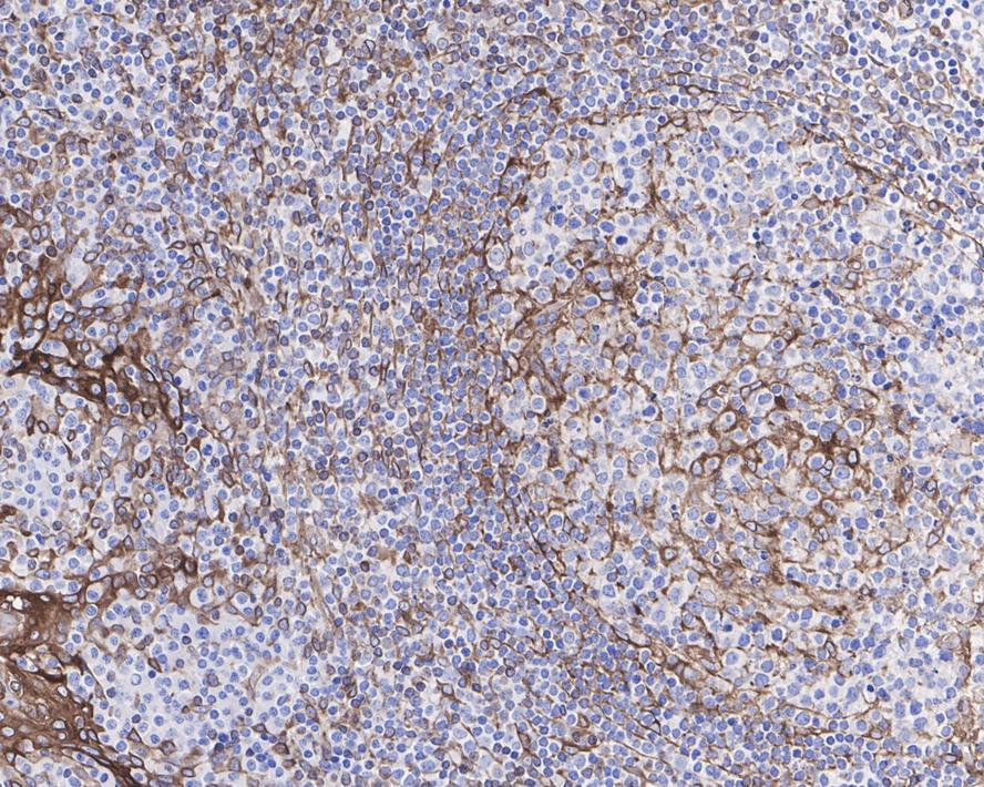
Immunohistochemical analysis of paraffin-embedded human tonsil tissue with Rabbit anti-STING antibody (ET1705-68) at 1/1,000 dilution.
The section was pre-treated using heat mediated antigen retrieval with Tris-EDTA buffer (pH 9.0) for 20 minutes. The tissues were blocked in 1% BSA for 20 minutes at room temperature, washed with ddH2O and PBS, and then probed with the primary antibody (ET1705-68) at 1/1,000 dilution for 1 hour at room temperature. The detection was performed using an HRP conjugated compact polymer system. DAB was used as the chromogen. Tissues were counterstained with hematoxylin and mounted with DPX.
Immunohistochemical analysis of paraffin-embedded rat lung tissue with Rabbit anti-STING antibody (ET1705-68) at 1/1,000 dilution.
The section was pre-treated using heat mediated antigen retrieval with Tris-EDTA buffer (pH 9.0) for 20 minutes. The tissues were blocked in 1% BSA for 20 minutes at room temperature, washed with ddH2O and PBS, and then probed with the primary antibody (ET1705-68) at 1/1,000 dilution for 1 hour at room temperature. The detection was performed using an HRP conjugated compact polymer system. DAB was used as the chromogen. Tissues were counterstained with hematoxylin and mounted with DPX.
Flow cytometric analysis of THP-1 cells labeling STING.
Cells were fixed and permeabilized. Then stained with the primary antibody (ET1705-68, 1/1,000) (red) compared with Rabbit IgG Isotype Control (green). After incubation of the primary antibody at +4℃ for an hour, the cells were stained with a iFluor™ 488 conjugate-Goat anti-Rabbit IgG Secondary antibody (HA1121) at 1/1,000 dilution for 30 minutes at +4℃. Unlabelled sample was used as a control (cells without incubation with primary antibody; black).
STING was immunoprecipitated from 0.2 mg THP-1 cell lysate with ET1705-68 at 2 µg/10 µl beads. Western blot was performed from the immunoprecipitate using ET1705-68 at 1/1,000 dilution. Anti-Rabbit IgG for IP Nano-secondary antibody (NBI01H) at 1/5,000 dilution was used for 1 hour at room temperature.
Lane 1: THP-1 cell lysate (input) Lane 2: ET1705-68 IP in THP-1 cell lysate Lane 3: Rabbit IgG instead of ET1705-68 in THP-1 cell lysate