图片
-
Western blot analysis of SAP97 on different lysates with Rabbit anti-SAP97 antibody (HA721502) at 1/1,000 dilution.
Lane 1: MCF7 cell lysate
Lane 2: HepG2 cell lysate
Lane 3: U-87 MG cell lysate
Lane 4: SiHa cell lysate
Lane 5: NCI-H226 cell lysate
Lane 6: NIH/3T3 cell lysate
Lysates/proteins at 20 µg/Lane.
Predicted band size: 100 kDa
Observed band size: 120 kDa
Exposure time: 1 minute 55 seconds;
4-20% SDS-PAGE gel.
Proteins were transferred to a PVDF membrane and blocked with 5% NFDM/TBST for 1 hour at room temperature. The primary antibody (HA721502) at 1/1,000 dilution was used in 5% NFDM/TBST at 4℃ overnight. Goat Anti-Rabbit IgG - HRP Secondary Antibody (HA1001) at 1:100,000 dilution was used for 1 hour at room temperature.
-
☑ Knockdown (KD)
Western blot analysis of SAP97 on different lysates with Rabbit anti-SAP97 antibody (HA721502) at 1/2,000 dilution.
Lane 1: A549-WT cell lysate
Lane 2: A549-KD SAP97 cell lysate
Lysates/proteins at 10 µg/Lane.
Predicted band size: 100 kDa
Observed band size: 120 kDa
Exposure time: 3 minutes; ECL: K1801;
4-20% SDS-PAGE gel.
Proteins were transferred to a PVDF membrane and blocked with 5% NFDM/TBST for 1 hour at room temperature. The primary antibody (HA721502) at 1/2,000 dilution was used in 2% NFDM/TBST at 4℃ overnight. Goat Anti-Rabbit IgG - HRP Secondary Antibody (HA1001) at 1/50,000 dilution was used for 1 hour at room temperature.
-
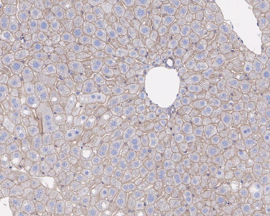
Immunohistochemical analysis of paraffin-embedded mouse liver tissue with Rabbit anti-SAP97 antibody (HA721502) at 1/200 dilution.
The section was pre-treated using heat mediated antigen retrieval with Tris-EDTA buffer (pH 9.0) for 20 minutes. The tissues were blocked in 1% BSA for 20 minutes at room temperature, washed with ddH2O and PBS, and then probed with the primary antibody (HA721502) at 1/200 dilution for 1 hour at room temperature. The detection was performed using an HRP conjugated compact polymer system. DAB was used as the chromogen. Tissues were counterstained with hematoxylin and mounted with DPX.
-
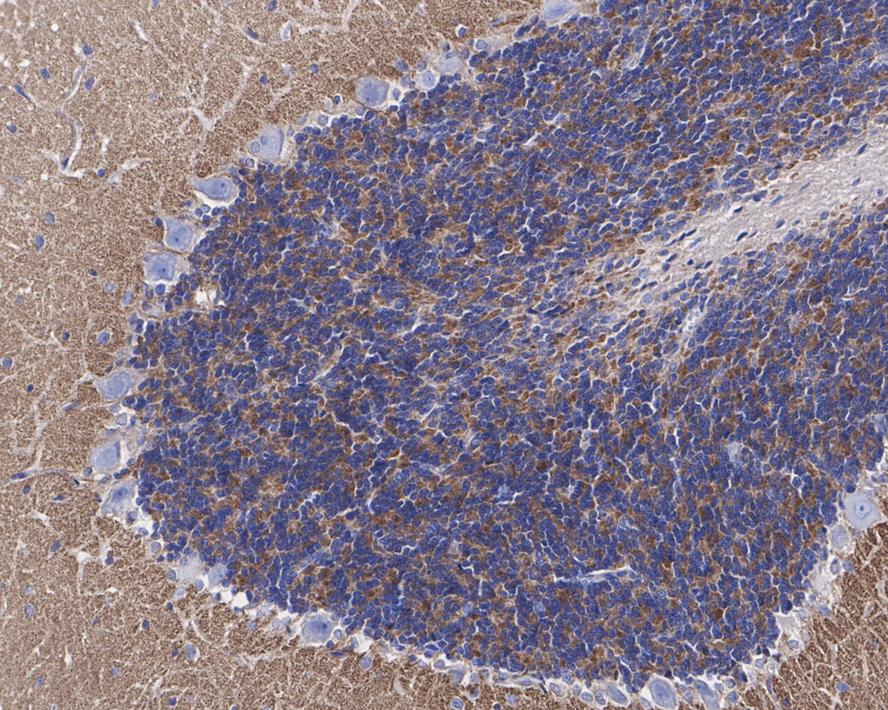
Immunohistochemical analysis of paraffin-embedded rat cerebellum tissue with Rabbit anti-SAP97 antibody (HA721502) at 1/200 dilution.
The section was pre-treated using heat mediated antigen retrieval with Tris-EDTA buffer (pH 9.0) for 20 minutes. The tissues were blocked in 1% BSA for 20 minutes at room temperature, washed with ddH2O and PBS, and then probed with the primary antibody (HA721502) at 1/200 dilution for 1 hour at room temperature. The detection was performed using an HRP conjugated compact polymer system. DAB was used as the chromogen. Tissues were counterstained with hematoxylin and mounted with DPX.
-
Flow cytometric analysis of SiHa cells labeling SAP97.
Cells were fixed and permeabilized. Then stained with the primary antibody (HA721502, 1ug/ml) (red) compared with Rabbit IgG Isotype Control (green). After incubation of the primary antibody at +4℃ for an hour, the cells were stained with a iFluor™ 488 conjugate-Goat anti-Rabbit IgG Secondary antibody (HA1121) at 1/1,000 dilution for 30 minutes at +4℃. Unlabelled sample was used as a control (cells without incubation with primary antibody; black).
请注意: All products are "FOR RESEARCH USE ONLY AND ARE NOT INTENDED FOR DIAGNOSTIC OR THERAPEUTIC USE"