Rho, the Ras-related small GTPase, is responsible for the regulation of Actin-based cytoskeletal structures including stress fibers, focal adhesions and the contractile ring apparatus. Rho proteins function as molecular switches that are able to turn cytokinesis on and off. Although little is known about signaling downstream of Rho, a host of putative Rho effector proteins have been described, including rhophilin, Rhotekin, citron and the serine/threonine kinase, protein kinase N. Two additional Rho-activated serine/threonine kinases have been described, designated Rock-1 and Rock-2 (also referred to as Roka, for Rho-associated coil-containing protein kinase). Rock-1 and Rock-2 share a structural similarity with myotonic dystrophy kinase.
背景文献
1. Gentry EG et al. Rho Kinase Inhibition as a Therapeutic for Progressive Supranuclear Palsy and Corticobasal Degeneration. J Neurosci 36:1316-23 (2016).
2. Cai SD et al. MicroRNA-144 inhibits migration and proliferation in rectal cancer by downregulating ROCK-1. Mol Med Rep 12:7396-402 (2015).
序列相似性
Belongs to the protein kinase superfamily. AGC Ser/Thr protein kinase family.
组织特异性
Detected in blood platelets.
翻译后修饰
Autophosphorylated on serine and threonine residues.; Cleaved by caspase-3 during apoptosis. This leads to constitutive activation of the kinase and membrane blebbing.
Western blot analysis of ROCK1 on different lysates with Rabbit anti-ROCK1 antibody (ET1609-53) at 1/1,000 dilution.
Lane 1: A431 cell lysate (20 µg/Lane) Lane 2: Human lung tissue lysate (20 µg/Lane) Lane 3: Mouse spleen tissue lysate (20 µg/Lane) Lane 4: C6 cell lysate (20 µg/Lane) Lane 5: L6 cell lysate (20 µg/Lane)
Predicted band size: 158 kDa Observed band size: 158 kDa
Exposure time: 3 minutes; 4-20% SDS-PAGE gel.
Proteins were transferred to a PVDF membrane and blocked with 5% NFDM/TBST for 1 hour at room temperature. The primary antibody (ET1609-53) at 1/1,000 dilution was used in 5% NFDM/TBST at 4℃ overnight. Goat Anti-Rabbit IgG - HRP Secondary Antibody (HA1001) at 1/50,000 dilution was used for 1 hour at room temperature.
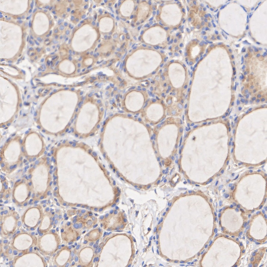
Immunohistochemical analysis of paraffin-embedded human thyroid tissue with Rabbit anti-ROCK1 antibody (ET1609-53) at 1/50 dilution.
The section was pre-treated using heat mediated antigen retrieval with Tris-EDTA buffer (pH 9.0) for 20 minutes. The tissues were blocked in 1% BSA for 20 minutes at room temperature, washed with ddH2O and PBS, and then probed with the primary antibody (ET1609-53) at 1/50 dilution for 1 hour at room temperature. The detection was performed using an HRP conjugated compact polymer system. DAB was used as the chromogen. Tissues were counterstained with hematoxylin and mounted with DPX.
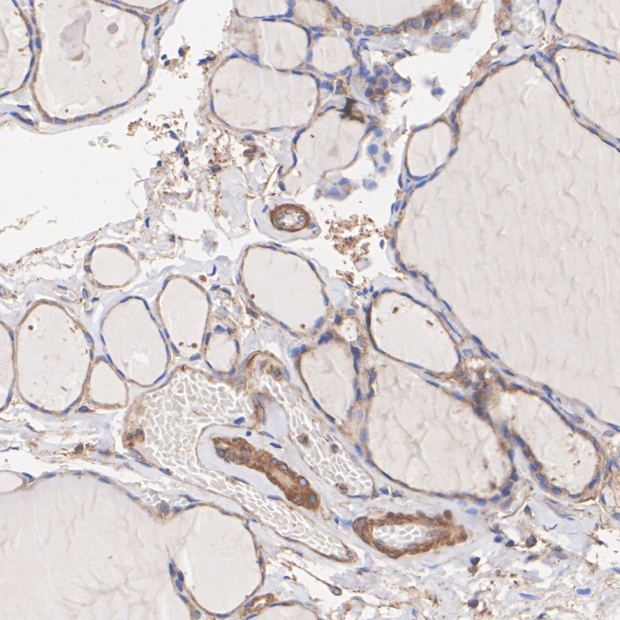
Immunohistochemical analysis of paraffin-embedded mouse thyroid tissue with Rabbit anti-ROCK1 antibody (ET1609-53) at 1/200 dilution.
The section was pre-treated using heat mediated antigen retrieval with Tris-EDTA buffer (pH 9.0) for 20 minutes. The tissues were blocked in 1% BSA for 20 minutes at room temperature, washed with ddH2O and PBS, and then probed with the primary antibody (ET1609-53) at 1/200 dilution for 1 hour at room temperature. The detection was performed using an HRP conjugated compact polymer system. DAB was used as the chromogen. Tissues were counterstained with hematoxylin and mounted with DPX.
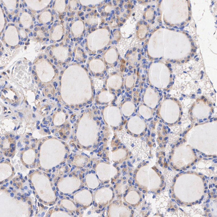
Immunohistochemical analysis of paraffin-embedded rat thyroid tissue with Rabbit anti-ROCK1 antibody (ET1609-53) at 1/200 dilution.
The section was pre-treated using heat mediated antigen retrieval with Tris-EDTA buffer (pH 9.0) for 20 minutes. The tissues were blocked in 1% BSA for 20 minutes at room temperature, washed with ddH2O and PBS, and then probed with the primary antibody (ET1609-53) at 1/200 dilution for 1 hour at room temperature. The detection was performed using an HRP conjugated compact polymer system. DAB was used as the chromogen. Tissues were counterstained with hematoxylin and mounted with DPX.
请注意: All products are "FOR RESEARCH USE ONLY AND ARE NOT INTENDED FOR DIAGNOSTIC OR THERAPEUTIC USE"