Skip to content

Pro Caspase-3 Recombinant Rabbit Monoclonal Antibody [SR03-01] - BSA and Azide free

RMB: 5600

产品规格

Catalog# HA750048

Pro Caspase-3 Recombinant Rabbit Monoclonal Antibody [SR03-01] - BSA and Azide free

Application
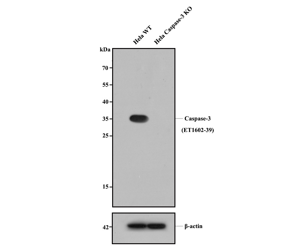
  • WB

  • IF-Cell

  • IF-Tissue

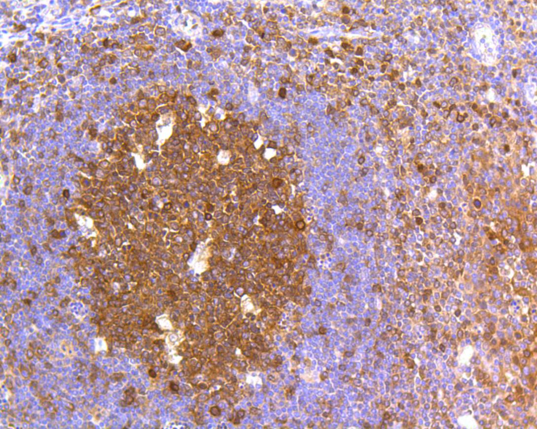
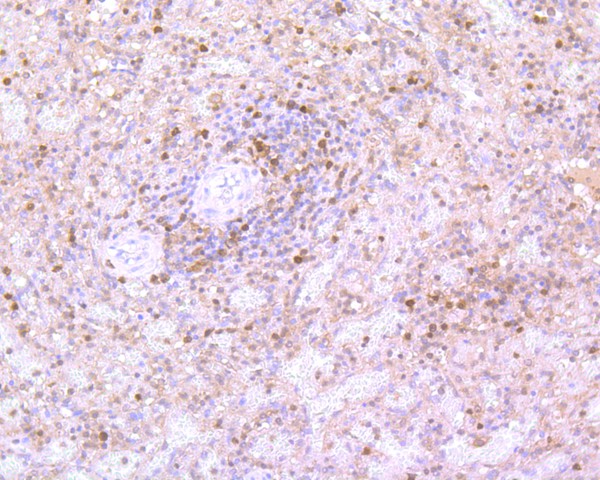
  • IHC-P

  • IP

  • FC

Reactivity
  • Human

  • Monkey

With BSA and Azide
Conjugation
  • unconjugated

Close (esc)

Popup

Use this popup to embed a mailing list sign up form. Alternatively use it as a simple call to action with a link to a product or a page.

Age verification

By clicking enter you are verifying that you are old enough to consume alcohol.

搜索