Skip to content

Phospho-Smad2 (S250) Recombinant Rabbit Monoclonal Antibody [SD207-1] - BSA and Azide free

RMB: 5600

产品规格

现在订购,【现货】

点击询价

联系我们

邮箱: sales@huabio.cn

电话: 0571-88062880

查找各地代理商

Catalog# HA750291

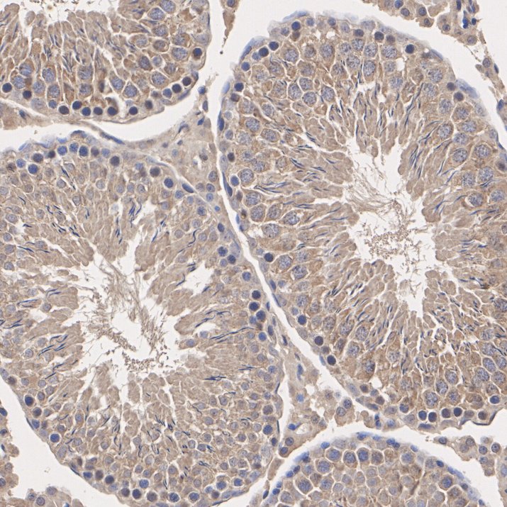
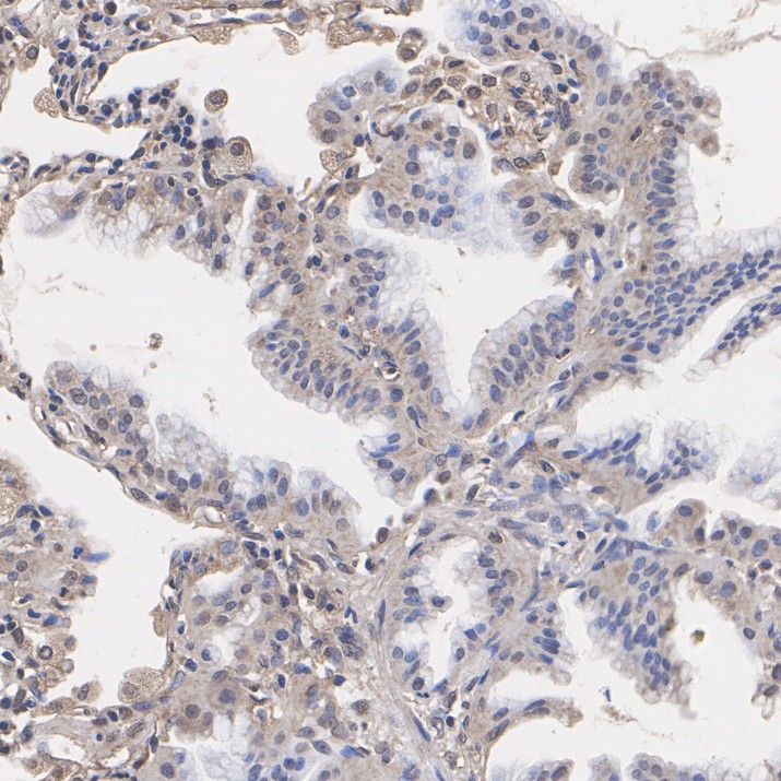
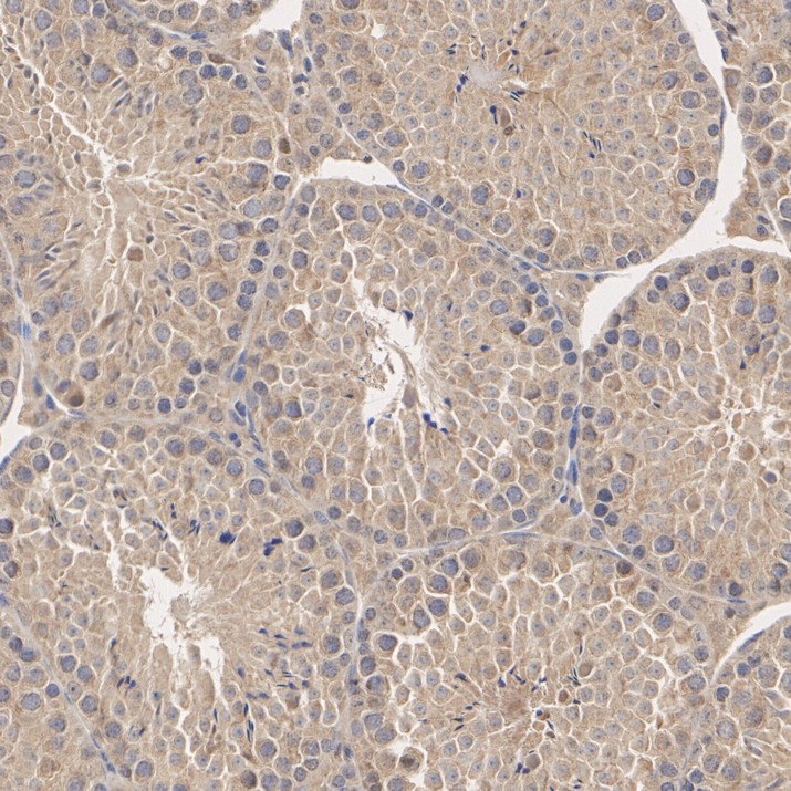
Phospho-Smad2 (S250) Recombinant Rabbit Monoclonal Antibody [SD207-1] - BSA and Azide free

Application
  • WB

  • FC

  • IP

  • IHC-P

Reactivity
  • Human

  • Mouse

  • Rat

Close (esc)

Popup

Use this popup to embed a mailing list sign up form. Alternatively use it as a simple call to action with a link to a product or a page.

Age verification

By clicking enter you are verifying that you are old enough to consume alcohol.

搜索