Catalog# HA721263
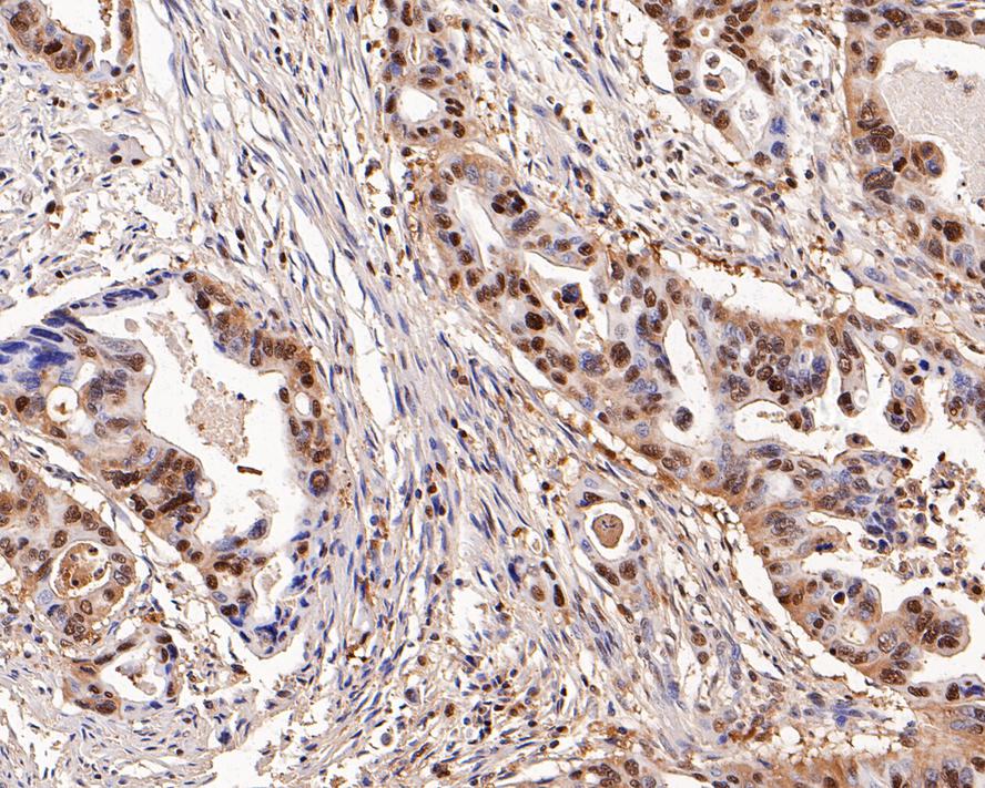
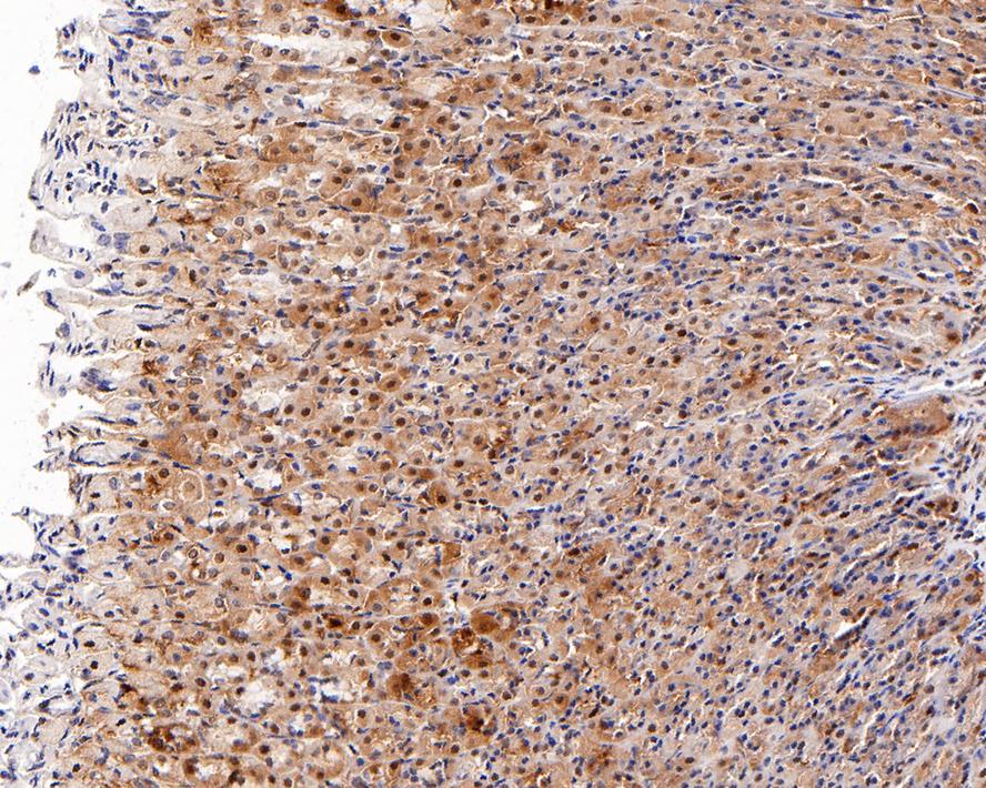
PSME2 Recombinant Rabbit Monoclonal Antibody [PSH0-10]
Application
-
WB
-
IF-Cell
-
IHC-P
-
FC
Reactivity
-
Human
-
Mouse
-
Rat
BSA and Azide free
-
HA750579
不含抗保成分
Conjugation
-
unconjugated


浙公网安备 33019202000643号