Catalog# HA723599
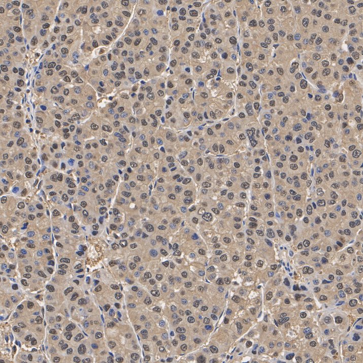
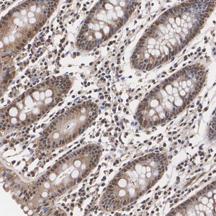
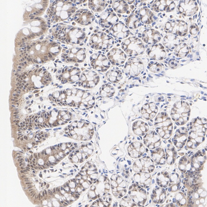
PSMA7 / HSPC Recombinant Rabbit Monoclonal Antibody [PSH14-09]
Application
-
WB
-
IF-Cell
-
IHC-P
-
FC
Reactivity
-
Human
-
Mouse
-
Rat
-
Monkey
BSA and Azide free
-
HA751504
不含抗保成分
Conjugation
-
unconjugated


浙公网安备 33019202000643号