Catalog# HA722886
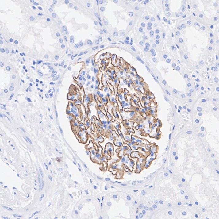
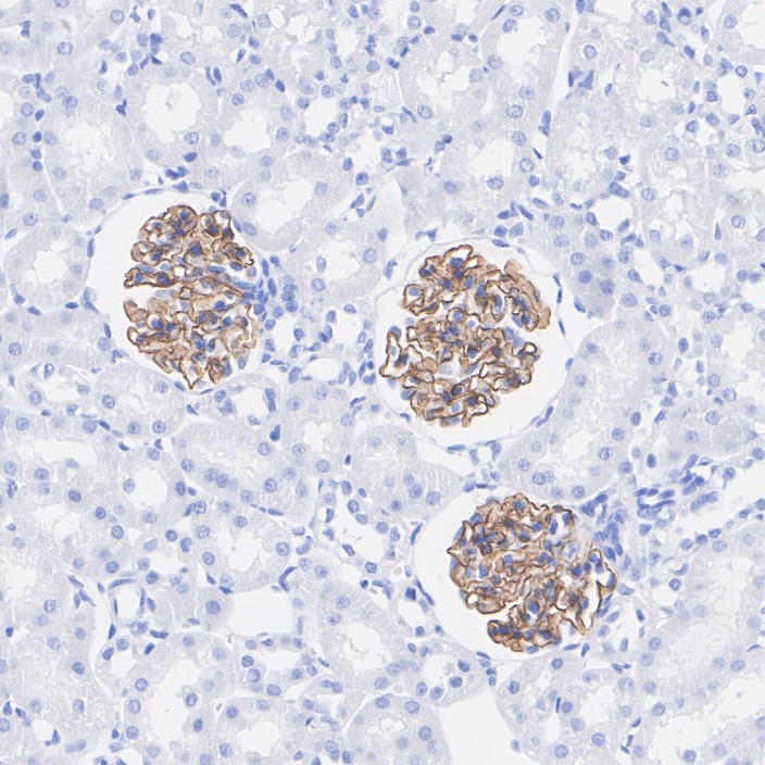
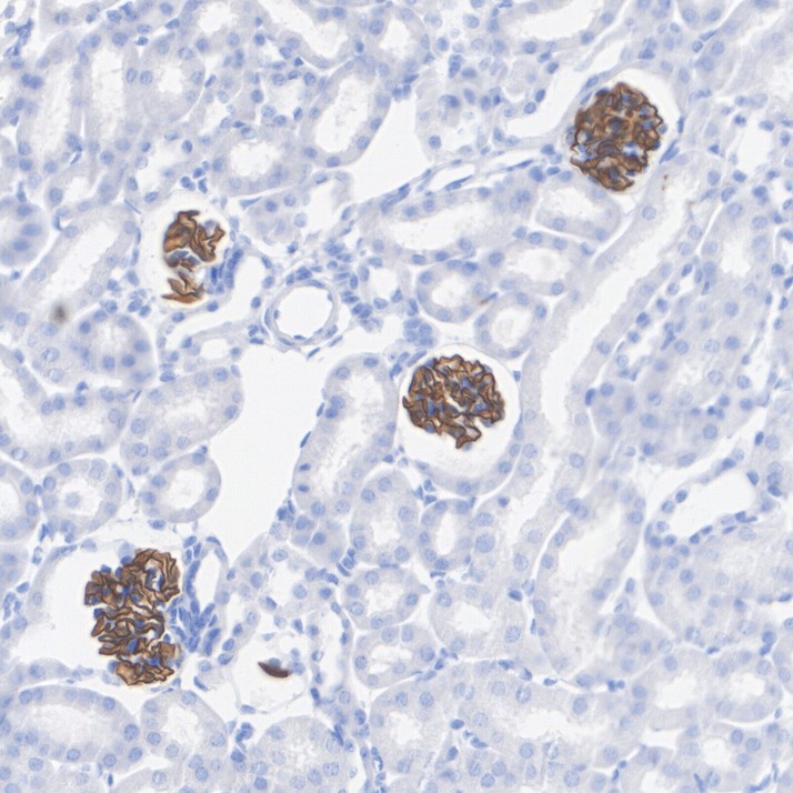
Nephrin Recombinant Rabbit Multiclonal Antibody [PSH07-70]
Application
-
WB
-
IHC-P
-
IF-Tissue
-
IHC-Fr
Reactivity
-
Human
-
Mouse
-
Rat
BSA and Azide free
-
HA751182
不含抗保成分
Conjugation
-
unconjugated
