概述
产品名称
NF-kB p105 / p50 Recombinant Rabbit Monoclonal Antibody [SZ20-01]
抗体类型
Recombinant Rabbit monoclonal Antibody
免疫原
Synthetic peptide within human NFKB1 aa 330-370.
种属反应性
Human, Mouse, Rat
验证应用
WB, IHC-P, ICC, FC, IF-Tissue
分子量
Predicted band size: 105/50 kDa
阳性对照
THP-1 cell lysate, Raji cell lysate, Daudi cell lysate, MCF7 cell lysate, NIH/3T3 cell lysate, Hela cell lysate, PC-12 cell lysate, human tonsil tissue, human spleen tissue, mouse bladder tissue, mouse prostate tissue.
偶联
unconjugated
克隆号
SZ20-01
RRID
产品特性
形态
Liquid
存放说明
Shipped at 4℃. Store at +4℃ short term (1-2 weeks). It is recommended to aliquot into single-use upon delivery. Store at -20℃ long term.
存储缓冲液
1*TBS (pH7.4), 0.05% BSA, 40% Glycerol. Preservative: 0.05% Sodium Azide.
亚型
IgG
纯化方式
Protein A affinity purified.
应用稀释度
-
WB
-
1:5,000
-
IHC-P
-
1:200-1:1,000
-
ICC
-
1:100
-
FC
-
1:1,000
-
IF-Tissue
-
1:50-1:200
发表文章中的应用
| WB | 查看 5 篇文献如下 |
发表文章中的种属
| Human | 查看 3 篇文献如下 |
| Grass carp | 查看 1 篇文献如下 |
| Mouse | 查看 1 篇文献如下 |
靶点
功能
Proteins encoded by the v-Rel viral oncogene and its cellular homolog, c-Rel, are members of a family of transcription factors that include the two subunits of the transcription factor NFkB (p50 and p65) and the Drosophila maternal morphagen, dorsal. These proteins share sequence homology over a region of 300 amino acids at their NH2-terminus, the region that contains their DNA binding and dimerization domains. The DNA binding activity of NF B is activated and rapidly transported from the cytoplasm to the nucleus in cells exposed to mitogens or growth factors. cDNAs encoding precursors for two distinct proteins have been described. These proteins, designated p105 and p100, are highly related but map on different chromosomes. The p105 (p110) precursor contains p50 at its N-terminus and a C-terminal region that when expressed as a separate molecule, designated PdI, binds to p50 and regulates its activity.
背景文献
1. Liu Z et al. Mark4 promotes oxidative stress and inflammation via binding to PPAR and activating NF-kB pathway in mice adipocytes. Sci Rep 6:21382 (2016).
2. Lin JJ et al. Toll-like receptor 4 signaling in neurons of trigeminal ganglion contributes to nociception induced by acute pulpitis in rats. Sci Rep 5:12549 (2015).
翻译后修饰
While translation occurs, the particular unfolded structure after the GRR repeat promotes the generation of p50 making it an acceptable substrate for the proteasome. This process is known as cotranslational processing. The processed form is active and the unprocessed form acts as an inhibitor (I kappa B-like), being able to form cytosolic complexes with NF-kappa B, trapping it in the cytoplasm. Complete folding of the region downstream of the GRR repeat precludes processing.; Phosphorylation at 'Ser-903' and 'Ser-907' primes p105 for proteolytic processing in response to TNF-alpha stimulation. Phosphorylation at 'Ser-927' and 'Ser-932' are required for BTRC/BTRCP-mediated proteolysis.; Polyubiquitination seems to allow p105 processing.; S-nitrosylation of Cys-61 affects DNA binding.; The covalent modification of cysteine by 15-deoxy-Delta12,14-prostaglandin-J2 is autocatalytic and reversible. It may occur as an alternative to other cysteine modifications, such as S-nitrosylation and S-palmitoylation.
亚细胞定位
Cytoplasm, Nucleus.
别名
DKFZp686C01211 antibody
DNA binding factor KBF1 antibody
DNA binding factor KBF1 EBP1 antibody
DNA-binding factor KBF1 antibody
EBP 1 antibody
EBP-1 antibody
EBP1 antibody
KBF1 antibody
MGC54151 antibody
NF kappa B antibody
展开DKFZp686C01211 antibody
DNA binding factor KBF1 antibody
DNA binding factor KBF1 EBP1 antibody
DNA-binding factor KBF1 antibody
EBP 1 antibody
EBP-1 antibody
EBP1 antibody
KBF1 antibody
MGC54151 antibody
NF kappa B antibody
NF kappaB antibody
NF kappabeta antibody
NF kB1 antibody
NFkappaB antibody
NFKB 1 antibody
NFKB p105 antibody
NFKB p50 antibody
Nfkb1 antibody
NFKB1_HUMAN antibody
Nuclear factor kappa B DNA binding subunit antibody
Nuclear factor kappa-B, subunit 1 antibody
Nuclear factor NF kappa B p105 subunit antibody
Nuclear factor NF kappa B p50 subunit antibody
Nuclear factor NF-kappa-B p50 subunit antibody
Nuclear factor of kappa light chain gene enhancer in B cells 1 antibody
Nuclear factor of kappa light polypeptide gene enhancer in B cells 1 antibody
Nuclear factor of kappa light polypeptide gene enhancer in B-cells 1 antibody
p105 antibody
p50 antibody
p84/NF-kappa-B1 p98 antibody
Transcription factor NFKB1 antibody
折叠图片
-
☑ Knockdown (KD)
Western blot analysis of NF-kB p105 / p50 on different lysates with Rabbit anti-NF-kB p105 / p50 antibody (ET1603-18) at 1/5,000 dilution.
Lane 1: HCT 116-si NT cell lysate
Lane 2: HCT 116-si NFKB1 cell lysate
Lysates/proteins at 15 µg/Lane.
Predicted band size: 105/50 kDa
Observed band size: 105/50 kDa
Exposure time: 30 seconds; ECL: K1801;
4-20% SDS-PAGE gel.
Proteins were transferred to a PVDF membrane and blocked with 5% NFDM/TBST for 1 hour at room temperature. The primary antibody (ET1603-18) at 1/5,000 dilution was used in 5% NFDM/TBST at 4℃ overnight. Goat Anti-Rabbit IgG - HRP Secondary Antibody (HA1001) at 1/50,000 dilution was used for 1 hour at room temperature. -
Western blot analysis of NF-kB p105 / p50 on different lysates with Rabbit anti-NF-kB p105 / p50 antibody (ET1603-18) at 1/5,000 dilution.
Lane 1: THP-1 cell lysate
Lane 2: Raji cell lysate
Lane 3: Daudi cell lysate
Lane 4: MCF7 cell lysate
Lane 5: NIH/3T3 cell lysate
Lysates/proteins at 15 µg/Lane.
Predicted band size: 105/50 kDa
Observed band size: 105/50 kDa
Exposure time: 3 minutes;
4-20% SDS-PAGE gel.
Proteins were transferred to a PVDF membrane and blocked with 5% NFDM/TBST for 1 hour at room temperature. The primary antibody (ET1603-18) at 1/5,000 dilution was used in 5% NFDM/TBST at 4℃ overnight. Goat Anti-Rabbit IgG - HRP Secondary Antibody (HA1001) at 1/50,000 dilution was used for 1 hour at room temperature. -
Western blot analysis of NF-kB p105 / p50 on different lysates with Rabbit anti-NF-kB p105 / p50 antibody (ET1603-18) at 1/500 dilution.
Lane 1: Hela cell lysate
Lane 2: PC-12 cell lysate
Lysates/proteins at 10 µg/Lane.
Predicted band size: 50/105 kDa
Observed band size: 50/105 kDa
Exposure time: 2 minutes;
8% SDS-PAGE gel.
Proteins were transferred to a PVDF membrane and blocked with 5% NFDM/TBST for 1 hour at room temperature. The primary antibody (ET1603-18) at 1/500 dilution was used in 5% NFDM/TBST at room temperature for 2 hours. Goat Anti-Rabbit IgG - HRP Secondary Antibody (HA1001) at 1:300,000 dilution was used for 1 hour at room temperature. -
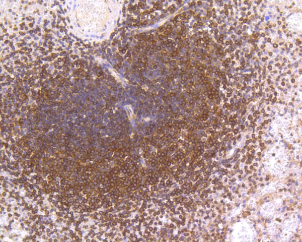
Immunohistochemical analysis of paraffin-embedded human tonsil tissue using anti-NF-kB p105 / p50 antibody. The section was pre-treated using heat mediated antigen retrieval with Tris-EDTA buffer (pH 8.0-8.4) for 20 minutes.The tissues were blocked in 5% BSA for 30 minutes at room temperature, washed with ddH2O and PBS, and then probed with the primary antibody (ET1603-18, 1/200) for 30 minutes at room temperature. The detection was performed using an HRP conjugated compact polymer system. DAB was used as the chromogen. Tissues were counterstained with hematoxylin and mounted with DPX.
-
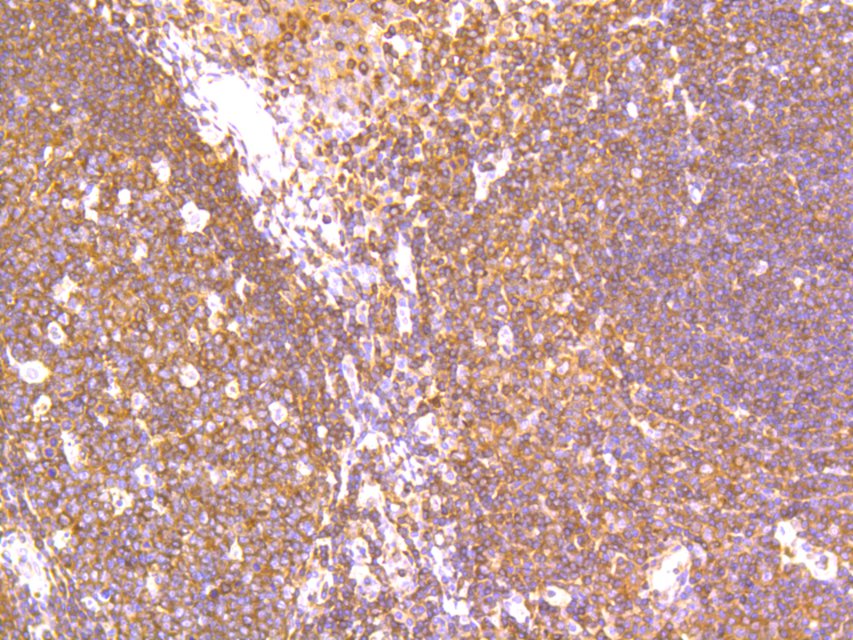
Immunohistochemical analysis of paraffin-embedded human spleen tissue using anti-NF-kB p105 / p50 antibody. The section was pre-treated using heat mediated antigen retrieval with Tris-EDTA buffer (pH 8.0-8.4) for 20 minutes.The tissues were blocked in 5% BSA for 30 minutes at room temperature, washed with ddH2O and PBS, and then probed with the primary antibody (ET1603-18, 1/200) for 30 minutes at room temperature. The detection was performed using an HRP conjugated compact polymer system. DAB was used as the chromogen. Tissues were counterstained with hematoxylin and mounted with DPX.
-
Immunohistochemical analysis of paraffin-embedded human breast carcinoma tissue with Rabbit anti-NF-kB p105 / p50 antibody (ET1603-18) at 1/1,000 dilution.
The section was pre-treated using heat mediated antigen retrieval with Tris-EDTA buffer (pH 9.0) for 20 minutes. The tissues were blocked in 1% BSA for 20 minutes at room temperature, washed with ddH2O and PBS, and then probed with the primary antibody (ET1603-18) at 1/1,000 dilution for 1 hour at room temperature. The detection was performed using an HRP conjugated compact polymer system. DAB was used as the chromogen. Tissues were counterstained with hematoxylin and mounted with DPX. -
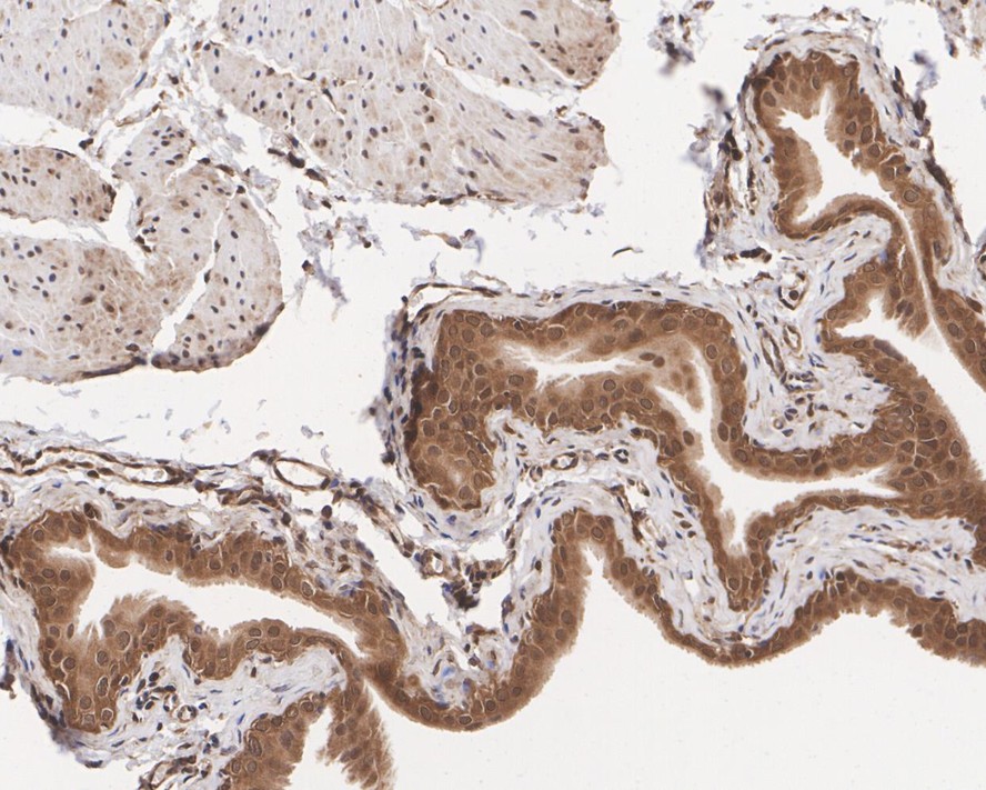
Immunohistochemical analysis of paraffin-embedded rat bladder tissue with Rabbit anti-NF-kB p105 / p50 antibody (ET1603-18) at 1/1,000 dilution.
The section was pre-treated using heat mediated antigen retrieval with Tris-EDTA buffer (pH 9.0) for 20 minutes. The tissues were blocked in 1% BSA for 20 minutes at room temperature, washed with ddH2O and PBS, and then probed with the primary antibody (ET1603-18) at 1/1,000 dilution for 1 hour at room temperature. The detection was performed using an HRP conjugated compact polymer system. DAB was used as the chromogen. Tissues were counterstained with hematoxylin and mounted with DPX. -
Immunohistochemical analysis of paraffin-embedded rat spleen tissue with Rabbit anti-NF-kB p105 / p50 antibody (ET1603-18) at 1/200 dilution.
The section was pre-treated using heat mediated antigen retrieval with Tris-EDTA buffer (pH 9.0) for 20 minutes. The tissues were blocked in 1% BSA for 20 minutes at room temperature, washed with ddH2O and PBS, and then probed with the primary antibody (ET1603-18) at 1/200 dilution for 1 hour at room temperature. The detection was performed using an HRP conjugated compact polymer system. DAB was used as the chromogen. Tissues were counterstained with hematoxylin and mounted with DPX." -
Immunocytochemistry analysis of HeLa cells labeling NF-kB p105 / p50 with Rabbit anti-NF-kB p105 / p50 antibody (ET1603-18) at 1/100 dilution.
Cells were fixed in 4% paraformaldehyde for 20 minutes at room temperature, permeabilized with 0.1% Triton X-100 in PBS for 5 minutes at room temperature, then blocked with 1% BSA in 10% negative goat serum for 1 hour at room temperature. Cells were then incubated with Rabbit anti-NF-kB p105 / p50 antibody (ET1603-18) at 1/100 dilution in 1% BSA in PBST overnight at 4 ℃. Goat Anti-Rabbit IgG H&L (iFluor™ 488, HA1121) was used as the secondary antibody at 1/1,000 dilution. PBS instead of the primary antibody was used as the secondary antibody only control. Nuclear DNA was labelled in blue with DAPI.
Beta tubulin (M1305-2, red) was stained at 1/100 dilution overnight at +4℃. Goat Anti-Mouse IgG H&L (iFluor™ 594, HA1126) was used as the secondary antibody at 1/1,000 dilution. -
Immunocytochemistry analysis of NIH/3T3 cells labeling NF-kB p105 / p50 with Rabbit anti-NF-kB p105 / p50 antibody (ET1603-18) at 1/100 dilution.
Cells were fixed in 4% paraformaldehyde for 20 minutes at room temperature, permeabilized with 0.1% Triton X-100 in PBS for 5 minutes at room temperature, then blocked with 1% BSA in 10% negative goat serum for 1 hour at room temperature. Cells were then incubated with Rabbit anti-NF-kB p105 / p50 antibody (ET1603-18) at 1/100 dilution in 1% BSA in PBST overnight at 4 ℃. Goat Anti-Rabbit IgG H&L (iFluor™ 488, HA1121) was used as the secondary antibody at 1/1,000 dilution. PBS instead of the primary antibody was used as the secondary antibody only control. Nuclear DNA was labelled in blue with DAPI.
Beta tubulin (M1305-2, red) was stained at 1/100 dilution overnight at +4℃. Goat Anti-Mouse IgG H&L (iFluor™ 594, HA1126) was used as the secondary antibody at 1/1,000 dilution. -
Flow cytometric analysis of HeLa cells labeling NF-kB p105 / p50.
Cells were fixed and permeabilized. Then stained with the primary antibody (ET1603-18, 1μg/mL) (red) compared with Rabbit IgG Isotype Control (green). After incubation of the primary antibody at +4℃ for an hour, the cells were stained with a iFluor™ 488 conjugate-Goat anti-Rabbit IgG Secondary antibody (HA1121) at 1/1,000 dilution for 30 minutes at +4℃. Unlabelled sample was used as a control (cells without incubation with primary antibody; black). -
Flow cytometric analysis of NIH/3T3 cells labeling NF-kB p105 / p50.
Cells were fixed and permeabilized. Then stained with the primary antibody (ET1603-18, 1μg/mL) (red) compared with Rabbit IgG Isotype Control (green). After incubation of the primary antibody at +4℃ for an hour, the cells were stained with a iFluor™ 488 conjugate-Goat anti-Rabbit IgG Secondary antibody (HA1121) at 1/1,000 dilution for 30 minutes at +4℃. Unlabelled sample was used as a control (cells without incubation with primary antibody; black)."
请注意: All products are "FOR RESEARCH USE ONLY AND ARE NOT INTENDED FOR DIAGNOSTIC OR THERAPEUTIC USE"
引文
-
ERRγ Promotes Multiple Myeloma Survival by Coordinating NF-κB Signaling and Mitochondrial Apoptosis Regulation
Author: Xiaobing Zhou, Ying Li, Zizi Jing, Wei Yu, Jianbin Chen
PMID: 40918468
期刊: Oncology Research
应用: WB
反应种属: Human
发表时间: 2025 Aug
-
Citation
-
Tet methylcytosine dioxygenase 2 (TET2) deficiency elicits EGFR-TKI (tyrosine kinase inhibitors) resistance in non-small cell lung cancer
Author: Zhang Jian,et al
PMID: 38461173
期刊: Signal Transduction And Targeted Therapy
应用: WB
反应种属: Human
发表时间: 2024 Mar
-
Citation
-
Fusobacterium nucleatum-driven CX3CR1+ PD-L1+ phagocytes route to tumor tissues and reshape tumor microenvironment
Author: Fangfang Chen, Songhe Guo, Yiqiu Li, Yongfan Lu, Le Liu, Shengxin Chen, Jun An, Ge Zhang
PMID: 39710592
期刊: Gut Microbes
应用:
反应种属:
发表时间: 2024 Dec
-
Citation
-
First in vitro and in vivo evaluation of recombinant IL-1β protein as a potential immunomodulator against viral infection in fish
Author: Deng, Yadong et al
PMID: 37979760
期刊: International Journal Of Biological Macromolecules
应用: WB
反应种属: Grass carp
发表时间: 2023 Nov
-
Citation
-
HSP60 regulates the cigarette smoke-induced activation of TLR4-NF-κB-MyD88 signalling pathway and NLRP3 inflammasome
Author:
PMID: 34998273
期刊: International Immunopharmacology
应用: WB
反应种属: Mouse
发表时间: 2022 Feb
-
Citation
-
Curcumin attenuates MSU crystal-induced inflammation by inhibiting the degradation of IκBα and blocking mitochondrial damage.
Author:
PMID: 31455356
期刊: Arthritis Research & Therapy
应用: WB
反应种属: Human
发表时间: 2019 Aug
-
Citation
同靶点 & 同通路的产品
NF-kB p105 / p50 Recombinant Rabbit Monoclonal Antibody [SZ20-01] - BSA and Azide free
Application: WB,IHC-P,ICC,FC,IF-Tissue
Reactivity: Human,Mouse,Rat
Conjugate: unconjugated
NF-kB p105 / p50 Rabbit Polyclonal Antibody
Application: WB,IF-Cell,IHC-P
Reactivity: Human,Mouse,Rat
Conjugate: unconjugated
NF-kB p105 / p50 Mouse Monoclonal Antibody [A2-7]
Application: WB,IF-Cell,IHC-P
Reactivity: Human,Mouse
Conjugate: unconjugated


