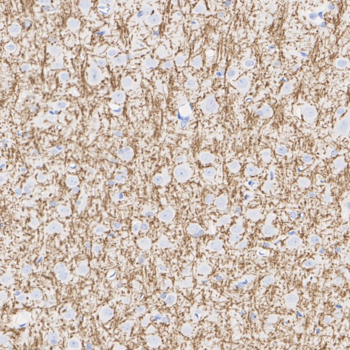
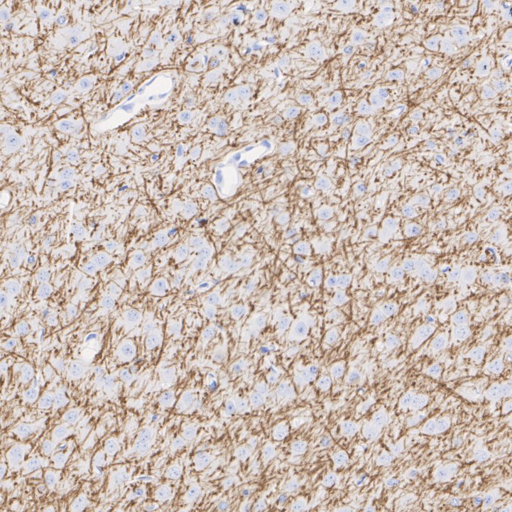
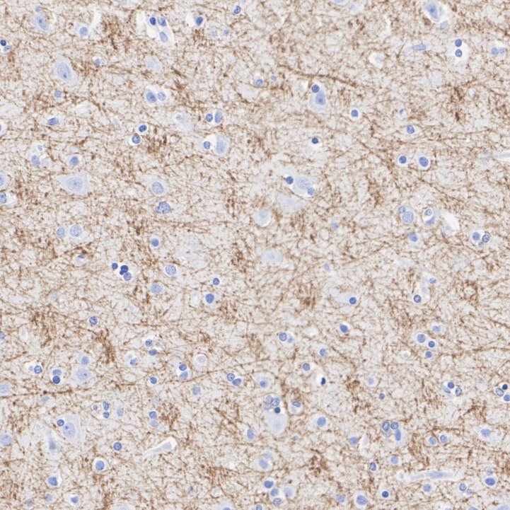
Catalog# HA601470
Myelin PLP Recombinant Antibody [PSH08-21] - Mouse IgG1 (Chimeric)
Application
-
IHC-Fr
-
IHC-P
-
WB
Reactivity
-
Human
-
Mouse
-
Rat
BSA and Azide free
-
HA610304
不含抗保成分
Conjugation
-
unconjugated


浙公网安备 33019202000643号