图片
-
☑ Relative expression (RE)
Western blot analysis of MSH3 on different lysates with Rabbit anti-MSH3 antibody (HA722829) at 1/2,000 dilution and competitor's antibody at 1/2,000 dilution.
Lane 1: HUVEC cell lysate (20 µg/Lane)
Lane 2: A549 cell lysate (20 µg/Lane)
Lane 3: HeLa cell lysate (20 µg/Lane)
Lane 4: NCI-H1299 cell lysate (20 µg/Lane)
Lane 5: Jurkat cell lysate (20 µg/Lane)
Lane 6: HEK-293 cell lysate (20 µg/Lane)
Lane 7: HCT 116 cell lysate (negative) (20 µg/Lane)
Lane 8: SW480 cell lysate (20 µg/Lane)
Lane 9: HepG2 cell lysate (20 µg/Lane)
Predicted band size: 127 kDa
Observed band size: 127 kDa
Exposure time: 3 minutes; ECL: K1801;
4-20% SDS-PAGE gel.
Proteins were transferred to a PVDF membrane and blocked with 5% NFDM/TBST for 1 hour at room temperature. The primary antibody (HA722829) at 1/2,000 dilution and competitor's antibody at 1/2,000 dilution were used in 5% NFDM/TBST at 4℃ overnight. Goat Anti-Rabbit IgG - HRP Secondary Antibody (HA1001) at 1/50,000 dilution was used for 1 hour at room temperature.
-
Western blot analysis of MSH3 on different lysates with Rabbit anti-MSH3 antibody (HA722829) at 1/1,000 dilution.
Lane 1: NIH/3T3 cell lysate (20 µg/Lane)
Lane 2: F9 cell lysate (20 µg/Lane)
Lane 3: C6 cell lysate (20 µg/Lane)
Lane 4: L6 cell lysate (20 µg/Lane)
Lane 5: Mouse testis tissue lysate (40 µg/Lane)
Lane 6: Rat testis tissue lysate (40 µg/Lane)
Lane 7: Rat colon tissue lysate (40 µg/Lane)
Predicted band size: 127 kDa
Observed band size: 127 kDa
Exposure time: 59 seconds; ECL: K1801;
4-20% SDS-PAGE gel.
Proteins were transferred to a PVDF membrane and blocked with 5% NFDM/TBST for 1 hour at room temperature. The primary antibody (HA722829) at 1/1,000 dilution was used in 5% NFDM/TBST at room temperature for 2 hours. Goat Anti-Rabbit IgG - HRP Secondary Antibody (HA1001) at 1/50,000 dilution was used for 1 hour at room temperature.
-
Immunocytochemistry analysis of HeLa cells labeling MSH3 with Rabbit anti-MSH3 antibody (HA722829) at 1/100 dilution.
Cells were fixed in 4% paraformaldehyde for 20 minutes at room temperature, permeabilized with 0.1% Triton X-100 in PBS for 5 minutes at room temperature, then blocked with 1% BSA in 10% negative goat serum for 1 hour at room temperature. Cells were then incubated with Rabbit anti-MSH3 antibody (HA722829) at 1/100 dilution in 1% BSA in PBST overnight at 4 ℃. Goat Anti-Rabbit IgG H&L (iFluor™ 488, HA1121) was used as the secondary antibody at 1/1,000 dilution. PBS instead of the primary antibody was used as the secondary antibody only control. Nuclear DNA was labelled in blue with DAPI.
Beta tubulin (M1305-2, red) was stained at 1/100 dilution overnight at +4℃. Goat Anti-Mouse IgG H&L (iFluor™ 594, HA1126) was used as the secondary antibody at 1/1,000 dilution.
-
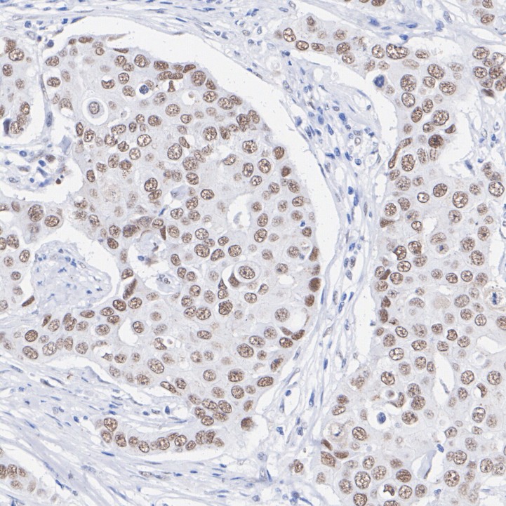
Immunohistochemical analysis of paraffin-embedded human breast cancer tissue with Rabbit anti-MSH3 antibody (HA722829) at 1/200 dilution.
The section was pre-treated using heat mediated antigen retrieval with sodium citrate buffer (pH 6.0) (high pressure) for 2 minutes. The tissues were blocked in 1% BSA for 20 minutes at room temperature, washed with ddH2O and PBS, and then probed with the primary antibody (HA722829) at 1/200 dilution for 1 hour at room temperature. The detection was performed using an HRP conjugated compact polymer system. DAB was used as the chromogen. Tissues were counterstained with hematoxylin and mounted with DPX.
-
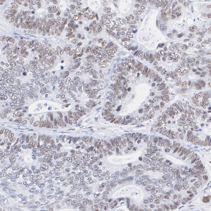
Immunohistochemical analysis of paraffin-embedded human colon cancer tissue with Rabbit anti-MSH3 antibody (HA722829) at 1/200 dilution.
The section was pre-treated using heat mediated antigen retrieval with sodium citrate buffer (pH 6.0) (high pressure) for 2 minutes. The tissues were blocked in 1% BSA for 20 minutes at room temperature, washed with ddH2O and PBS, and then probed with the primary antibody (HA722829) at 1/200 dilution for 1 hour at room temperature. The detection was performed using an HRP conjugated compact polymer system. DAB was used as the chromogen. Tissues were counterstained with hematoxylin and mounted with DPX.
-
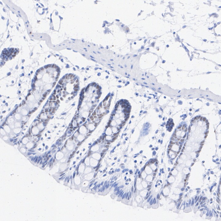
Immunohistochemical analysis of paraffin-embedded human colon tissue with Rabbit anti-MSH3 antibody (HA722829) at 1/200 dilution.
The section was pre-treated using heat mediated antigen retrieval with sodium citrate buffer (pH 6.0) (high pressure) for 2 minutes. The tissues were blocked in 1% BSA for 20 minutes at room temperature, washed with ddH2O and PBS, and then probed with the primary antibody (HA722829) at 1/200 dilution for 1 hour at room temperature. The detection was performed using an HRP conjugated compact polymer system. DAB was used as the chromogen. Tissues were counterstained with hematoxylin and mounted with DPX.
-
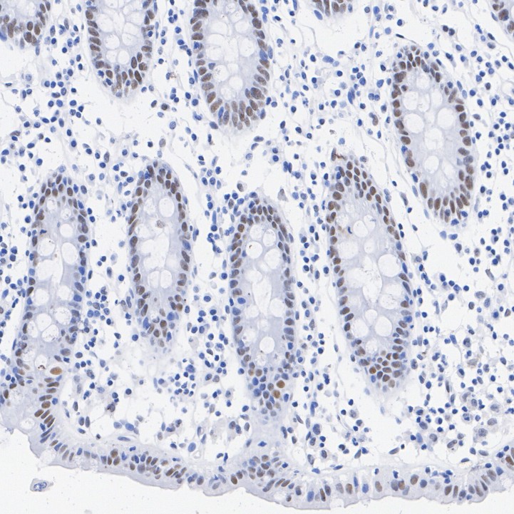
Immunohistochemical analysis of paraffin-embedded rat colon tissue with Rabbit anti-MSH3 antibody (HA722829) at 1/200 dilution.
The section was pre-treated using heat mediated antigen retrieval with sodium citrate buffer (pH 6.0) (high pressure) for 2 minutes. The tissues were blocked in 1% BSA for 20 minutes at room temperature, washed with ddH2O and PBS, and then probed with the primary antibody (HA722829) at 1/200 dilution for 1 hour at room temperature. The detection was performed using an HRP conjugated compact polymer system. DAB was used as the chromogen. Tissues were counterstained with hematoxylin and mounted with DPX.
请注意: All products are "FOR RESEARCH USE ONLY AND ARE NOT INTENDED FOR DIAGNOSTIC OR THERAPEUTIC USE"