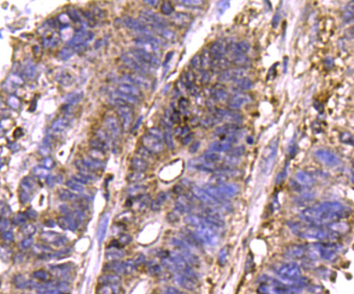
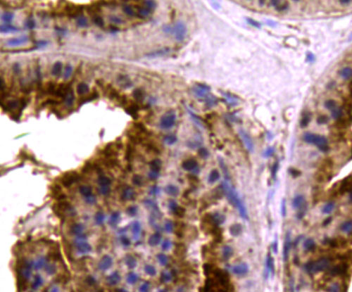
Catalog# R1510-26
MCL1 Rabbit Polyclonal Antibody
Application
-
IF-Cell
-
IHC-P
Reactivity
-
Human
-
Mouse
Conjugation
-
unconjugated

浙公网安备 33019202000643号