B-cell CLL/lymphoma 2 (Bcl-2) blocks cell death following a variety of stimuli and confers a death-sparing effect to certain hematopoietic cell lines following growth factor withdrawal. Myeloid cell leukemia 1 (Mcl-1) shares sequence homology with Bcl-2 and further resembles Bcl-2 in that its expression promotes cell viability. p53 and Mcl-1 demonstrate opposing effects on mitochondrial apoptosis by mediating Bcl-2 antagonist killer (Bak) activity. Mcl-1 is an important and specific regulator that is necessary for the homeostasis of early hematopoietic progenitors. Glycogen synthase kinase 3 (GSK3) controls Mcl-1 stability, which has an effect on the regulation of apoptosis by growth factors, PI 3-kinase and AKT. Mice with a deficiency of the Mcl-1 protein show a significant reduction in B and T lymphocytes similar to the effects observed in IL-7- or IL-7R-deficient mice.
背景文献
1. Yang L et al. Wnt modulates MCL1 to control cell survival in triple negative breast cancer. BMC Cancer 14:124 (2014).
2. Kanatsu-Shinohara M et al. Skp1-Cullin-F-box (SCF)-type ubiquitin ligase FBXW7 negatively regulates spermatogonial stem cell self-renewal. Proc Natl Acad Sci U S A 111:8826-31 (2014).
序列相似性
Belongs to the Bcl-2 family.
翻译后修饰
Cleaved by CASP3 during apoptosis. In intact cells cleavage occurs preferentially after Asp-127, yielding a pro-apoptotic 28 kDa C-terminal fragment.; Rapidly degraded in the absence of phosphorylation on Thr-163 in the PEST region.; Phosphorylated on Ser-159, by GSK3, in response to IL3/interleukin-3 withdrawal. Phosphorylation at Ser-159 induces ubiquitination and proteasomal degradation, abrogating the anti-apoptotic activity. Treatment with taxol or okadaic acid induces phosphorylation on additional sites.; Ubiquitinated. Ubiquitination is induced by phosphorylation at Ser-159.
Western blot analysis of MCL1 on different lysates with Rabbit anti-MCL1 antibody (ET1606-14) at 1/1,000 dilution.
Lane 1: MCF7-si NT cell lysate Lane 2: MCF7-si MCL1 cell lysate
Lysates/proteins at 10 µg/Lane.
Predicted band size: 37 kDa Observed band size: 40 kDa
Exposure time: 2 minutes 15 seconds;
4-20% SDS-PAGE gel.
Proteins were transferred to a PVDF membrane and blocked with 5% NFDM/TBST for 1 hour at room temperature. The primary antibody (ET1606-14) at 1/1,000 dilution was used in 5% NFDM/TBST at 4℃ overnight. Goat Anti-Rabbit IgG - HRP Secondary Antibody (HA1001) at 1/100,000 dilution was used for 1 hour at room temperature.
Western blot analysis of MCL1 on different lysates with Rabbit anti-MCL1 antibody (ET1606-14) at 1/2,000 dilution.
Lane 1: Raji cell lysate Lane 2: Ramos cell lysate Lane 3: MCF7 cell lysate Lane 4: SK-OV-3 cell lysate
Lysates/proteins at 15 µg/Lane.
Predicted band size: 37 kDa Observed band size: 40 kDa
Exposure time: 5 minutes 10 seconds;
4-20% SDS-PAGE gel.
Proteins were transferred to a PVDF membrane and blocked with 5% NFDM/TBST for 1 hour at room temperature. The primary antibody (ET1606-14) at 1/2,000 dilution was used in 5% NFDM/TBST at 4℃ overnight. Goat Anti-Rabbit IgG - HRP Secondary Antibody (HA1001) at 1/50,000 dilution was used for 1 hour at room temperature.
Western blot analysis of MCL1 on mouse heart tissue lysates with Rabbit anti-MCL1 antibody (ET1606-14) at 1/500 dilution.
Lysates/proteins at 20 µg/Lane.
Predicted band size: 37 kDa Observed band size: 42 kDa
Exposure time: 2 minutes; 10% SDS-PAGE gel.
Proteins were transferred to a PVDF membrane and blocked with 5% NFDM/TBST for 1 hour at room temperature. The primary antibody (ET1606-14) at 1/500 dilution was used in 5% NFDM/TBST at room temperature for 2 hours. Goat Anti-Rabbit IgG - HRP Secondary Antibody (HA1001) at 1:300,000 dilution was used for 1 hour at room temperature.
Immunohistochemical analysis of paraffin-embedded human breast tissue using anti-MCL1 antibody. The section was pre-treated using heat mediated antigen retrieval with Tris-EDTA buffer (pH 8.0-8.4) for 20 minutes.The tissues were blocked in 5% BSA for 30 minutes at room temperature, washed with ddH2O and PBS, and then probed with the primary antibody (ET1606-14, 1/50) for 30 minutes at room temperature. The detection was performed using an HRP conjugated compact polymer system. DAB was used as the chromogen. Tissues were counterstained with hematoxylin and mounted with DPX.
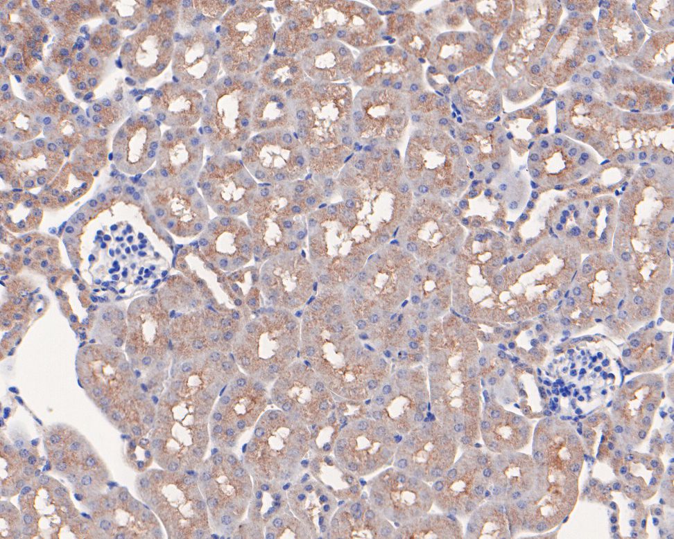
Immunohistochemical analysis of paraffin-embedded human kidney tissue using anti-MCL1 antibody. The section was pre-treated using heat mediated antigen retrieval with Tris-EDTA buffer (pH 8.0-8.4) for 20 minutes.The tissues were blocked in 5% BSA for 30 minutes at room temperature, washed with ddH2O and PBS, and then probed with the primary antibody (ET1606-14, 1/50) for 30 minutes at room temperature. The detection was performed using an HRP conjugated compact polymer system. DAB was used as the chromogen. Tissues were counterstained with hematoxylin and mounted with DPX.
Immunohistochemical analysis of paraffin-embedded human pancreas tissue using anti-MCL1 antibody. The section was pre-treated using heat mediated antigen retrieval with Tris-EDTA buffer (pH 8.0-8.4) for 20 minutes.The tissues were blocked in 5% BSA for 30 minutes at room temperature, washed with ddH2O and PBS, and then probed with the primary antibody (ET1606-14, 1/50) for 30 minutes at room temperature. The detection was performed using an HRP conjugated compact polymer system. DAB was used as the chromogen. Tissues were counterstained with hematoxylin and mounted with DPX.
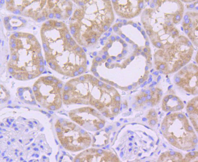
Immunohistochemical analysis of paraffin-embedded mouse kidney tissue using anti-MCL1 antibody. The section was pre-treated using heat mediated antigen retrieval with Tris-EDTA buffer (pH 8.0-8.4) for 20 minutes.The tissues were blocked in 5% BSA for 30 minutes at room temperature, washed with ddH2O and PBS, and then probed with the primary antibody (ET1606-14, 1/50) for 30 minutes at room temperature. The detection was performed using an HRP conjugated compact polymer system. DAB was used as the chromogen. Tissues were counterstained with hematoxylin and mounted with DPX.
请注意: All products are "FOR RESEARCH USE ONLY AND ARE NOT INTENDED FOR DIAGNOSTIC OR THERAPEUTIC USE"