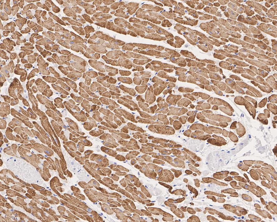
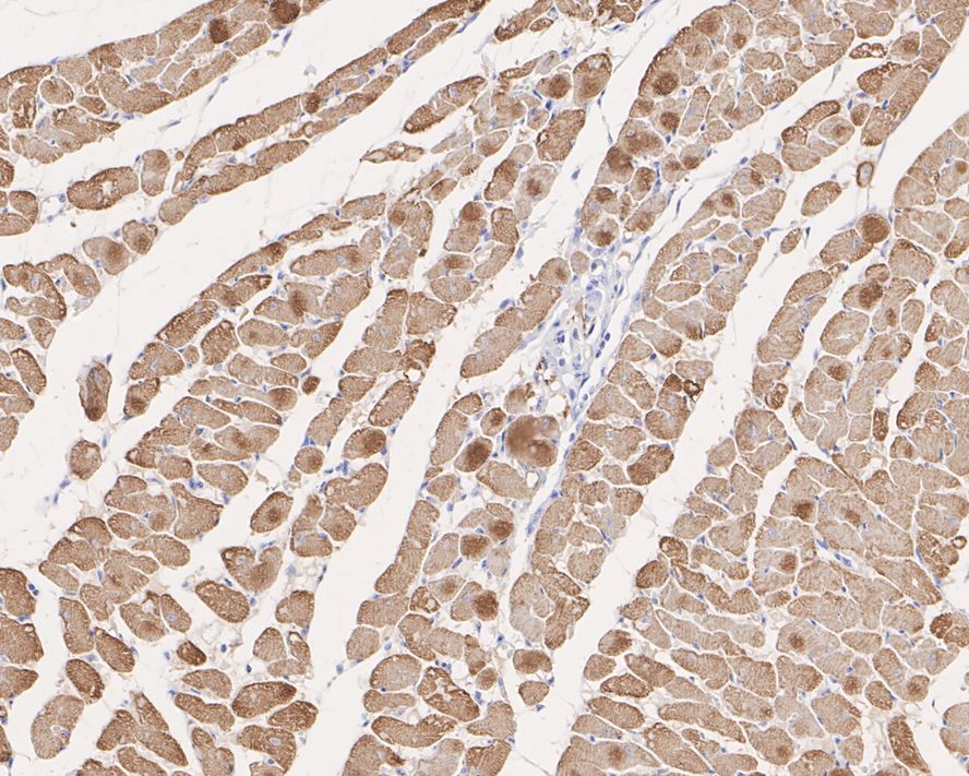
Alpha-cardiac actin Mouse Monoclonal Antibody [33-32]
Catalog# M1206-1
Alpha-cardiac actin Mouse Monoclonal Antibody [33-32]
Application
-
WB
-
IF-Cell
-
IHC-P
-
IF-Tissue
-
IHC-Fr
Reactivity
-
Human
-
Mouse
-
Rat
-
Zebrafish
Conjugation
-
unconjugated
This product has been cited in peer reviewed publications, see list HERE
浙公网安备 33019202000643号