Catalog# M1012-1
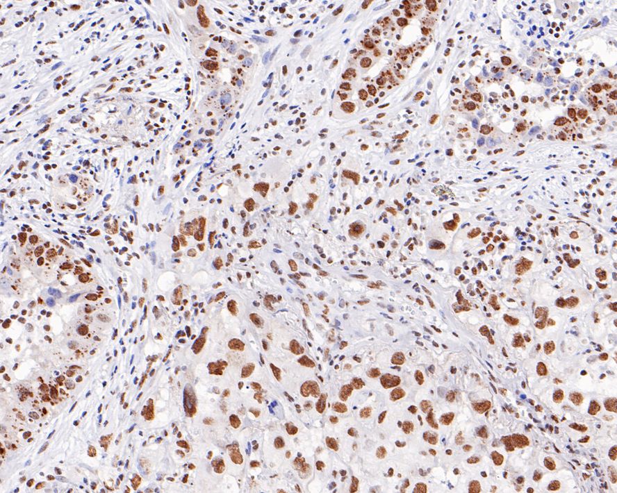
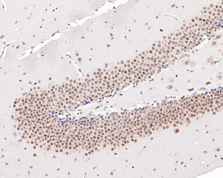
PGBD5 Mouse Monoclonal Antibody [7-F8-5]
Application
-
WB
-
IF-Cell
-
IHC-P
Reactivity
-
Human
-
Mouse
-
Rat
Conjugation
-
unconjugated
This product has been cited in peer reviewed publications, see list HERE

浙公网安备 33019202000643号