-
Western blot analysis of LDHB on different lysates with Rabbit anti-LDHB antibody (HA724336) at 1/20,000 dilution.
Lane 1: HEK-293 (Human embryonic kidney cells) cell lysate
Lane 2: Huh7 (Human liver cancer cells) cell lysate
Lane 3: LNCaP (Human prostate cancer cells) cell lysate
Lane 4: HeLa (Human cervical adenocarcinoma cells) cell lysate
Lane 5: COS-1 (African green monkey kidney fibroblasts) cell lysate
Lane 6: PC-12 (Rat pheochromocytoma cells (undifferentiated)) cell lysate
Lysates/proteins at 15 µg/Lane.
Exposure time: 21 seconds; ECL: K1801
Blocking: 5% NFDM/TBST, 1 hour at room temperature
Primary antibody: HA724336, 1/20,000 in primary antibody dilution buffer (K1803), overnight at 4 °C
Secondary antibody: Goat anti-Rabbit IgG-HRP (HA1001), 1/50,000 in 5% NFDM/TBST, 1 hour at room temperature
Predicted band size: 37 kDa
Observed band size: 37 kDa
-
Western blot analysis of LDHB on different lysates with Rabbit anti-LDHB antibody (HA724336) at 1/20,000 dilution.
Lane 1: Mouse heart tissue lysate
Lane 2: Mouse kidney tissue lysate
Lane 3: Mouse brain tissue lysate
Lysates/proteins at 30 µg/Lane.
Exposure time: 6 seconds; ECL: K1801
Blocking: 5% NFDM/TBST, 1 hour at room temperature
Primary antibody: HA724336, 1/20,000 in primary antibody dilution buffer (K1803), overnight at 4 °C
Secondary antibody: Goat anti-Rabbit IgG-HRP (HA1001), 1/50,000 in 5% NFDM/TBST, 1 hour at room temperature
Predicted band size: 37 kDa
Observed band size: 37 kDa
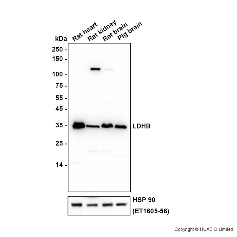
-
Western blot analysis of LDHB on different lysates with Rabbit anti-LDHB antibody (HA724336) at 1/50,000 dilution.
Lane 1: Rat heart tissue lysate
Lane 2: Rat kidney tissue lysate
Lane 3: Rat brain tissue lysate
Lane 4: Pig brain tissue lysate
Lysates/proteins at 30 µg/Lane.
Exposure time: 4 seconds; ECL: K1801
Blocking: 5% NFDM/TBST, 1 hour at room temperature
Primary antibody: HA724336, 1/50,000 in 5% NFDM/TBST, overnight at 4 °C
Secondary antibody: Goat anti-Rabbit IgG-HRP (HA1001), 1/50,000 in 5% NFDM/TBST, 1 hour at room temperature
Predicted band size: 37 kDa
Observed band size: 37 kDa
-
Application: Immunocytochemistry (IF-cell)
Species: Rat
Sample: PC-12 (Rat pheochromocytoma cells (undifferentiated))
Fixation: 4% Paraformaldehyde, 15 minutes at room temperature.
Permeabilization: 0.1% Triton X-100, 15 minutes at room temperature.
Blocking: 1% BSA + 10% normal goat serum, 1 hour at room temperature.
Antibody dilution buffer: 1% BSA in PBST.
Primary antibody: HA724336, 1/500, overnight at 4°C.
Secondary antibody: Goat Anti-Rabbit IgG (iFluor™ 488, HA1121), 45 minutes at room temperature.
Counterstain: Beta tubulin (M120505-2, red), 1/100, overnight at 4℃. The Nuclear counterstain was DAPI (Blue).
-
Application: Flow Cytometry (Intra)
Species: Rat
Sample: PC-12 (Rat pheochromocytoma cells (undifferentiated))
Fixation: 4% Paraformaldehyde, 15 minutes at room temperature.
Permeabilization: 1x Permeabilization Buffer (eBioscience), 15 minutes at room temperature.
Blocking: 1% BSA + 10% normal goat serum, 15 minutes at room temperature.
Antibody dilution buffer: 1x PBS.
Primary antibody: HA724336 (1/1,000) (Red) compared with Rabbit IgG Isotype Control (HA722127, Green), 15 minutes at room temperature.
Secondary antibody: Goat Anti-Rabbit IgG (iFluor™ 488, HA1121), 15 minutes at room temperature.
-
Immunoprecipitation (IP)
LDHB was immunoprecipitated in 0.2 mg HeLa (Human cervix adenocarcinoma epithelial cell) cell lysate with HA724336 at 2 µg/10 µl beads. Western blot was performed from the immunoprecipitate using HA724336 at 1/5,000 dilution. Anti-Rabbit IgG for IP Nano-secondary antibody (NBI01H) at 1/5,000 dilution was used for 1 hour at room temperature.
Lane 1: HeLa cell lysate (input)
Lane 2: HA724336 IP in HeLa cell lysate
Lane 3: Rabbit IgG instead of HA724336 in HeLa cell lysate
Exposure time: 2 seconds
Blocking: 5% NFDM/TBST, 1 hour at room temperature
Primary dilution: HA724336, 1/5,000 in primary antibody dilution buffer (K1803), 2 hours at room temperature
Predicted band size: 37 kDa
Observed band size: 37 kDa
请注意: All products are "FOR RESEARCH USE ONLY AND ARE NOT INTENDED FOR DIAGNOSTIC OR THERAPEUTIC USE"