Skip to content

JunD Recombinant Rabbit Monoclonal Antibody [PSH08-85]

RMB: 699 特惠 1500

产品规格

Catalog# HA723037

JunD Recombinant Rabbit Monoclonal Antibody [PSH08-85]

Application
  • WB

  • IF-Cell

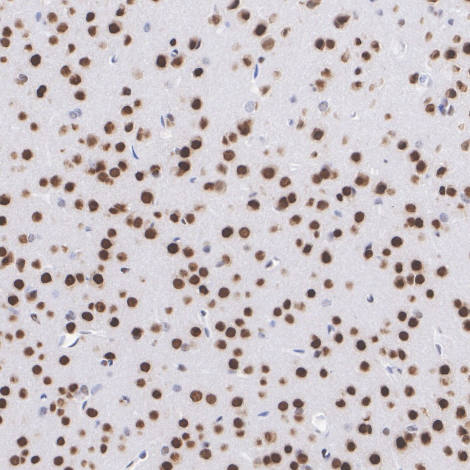
  • IHC-P

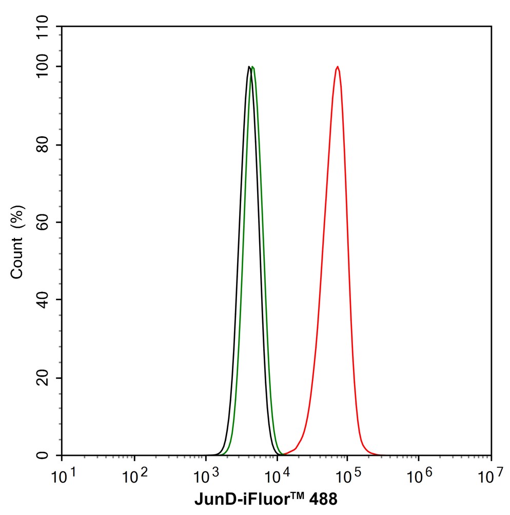
  • FC

  • IP

  • ChIP

Reactivity
  • Human

  • Mouse

  • Rat

BSA and Azide free
Conjugation
  • unconjugated

This product has been cited in peer reviewed publications, see list HERE
Close (esc)

Popup

Use this popup to embed a mailing list sign up form. Alternatively use it as a simple call to action with a link to a product or a page.

Age verification

By clicking enter you are verifying that you are old enough to consume alcohol.

搜索