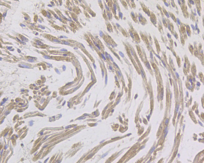
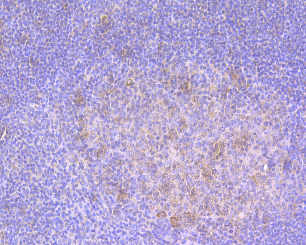
Catalog# ER1901-61
IL-8 Rabbit Polyclonal Antibody
Application
-
WB
-
IHC-P
-
IF-Cell
-
FC
Reactivity
-
Human
This product has been cited in peer reviewed publications, see list HERE

