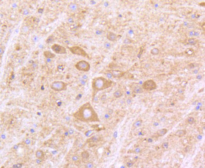
IFNAR1 Recombinant Rabbit Monoclonal Antibody [SR45-08] - BSA and Azide free
Catalog# HA750046
IFNAR1 Recombinant Rabbit Monoclonal Antibody [SR45-08] - BSA and Azide free
Application
-
WB
-
IHC-P
-
IF-Cell
-
FC
Reactivity
-
Human
-
Mouse
-
Rat
With BSA and Azide
-
ET1602-37
含抗保成分
Conjugation
-
unconjugated
浙公网安备 33019202000643号