-
Western blot analysis of HIF Prolyl Hydroxylases on different lysates with Rabbit anti-HIF Prolyl Hydroxylases antibody (HA722468) at 1/1,000 dilution.
Lane 1: HEK-293 cell lysate
Lane 2: A549 cell lysate
Lane 3: HCT 116 cell lysate
Lane 4: HeLa cell lysate
Lysates/proteins at 20 µg/Lane.
Predicted band size: 47 kDa
Observed band size: 47 kDa
Exposure time: 25 seconds; ECL: K1801;
4-20% SDS-PAGE gel.
Proteins were transferred to a PVDF membrane and blocked with 5% NFDM/TBST for 1 hour at room temperature. The primary antibody (HA722468) at 1/1,000 dilution was used in 5% NFDM/TBST at 4℃ overnight. Goat Anti-Rabbit IgG - HRP Secondary Antibody (HA1001) at 1/50,000 dilution was used for 1 hour at room temperature.
-
Immunocytochemistry analysis of HEK-293 cells labeling HIF Prolyl Hydroxylases with Rabbit anti-HIF Prolyl Hydroxylases antibody (HA722468) at 1/100 dilution.
Cells were fixed in 4% paraformaldehyde for 20 minutes at room temperature, permeabilized with 0.1% Triton X-100 in PBS for 5 minutes at room temperature, then blocked with 1% BSA in 10% negative goat serum for 1 hour at room temperature. Cells were then incubated with Rabbit anti-HIF Prolyl Hydroxylases antibody (HA722468) at 1/100 dilution in 1% BSA in PBST overnight at 4 ℃. Goat Anti-Rabbit IgG H&L (iFluor™ 488, HA1121) was used as the secondary antibody at 1/1,000 dilution. PBS instead of the primary antibody was used as the secondary antibody only control. Nuclear DNA was labelled in blue with DAPI.
Beta tubulin (M1305-2, red) was stained at 1/100 dilution overnight at +4℃. Goat Anti-Mouse IgG H&L (iFluor™ 594, HA1126) was used as the secondary antibody at 1/1,000 dilution.
-
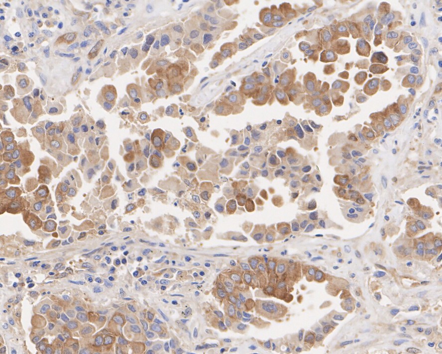
Immunohistochemical analysis of paraffin-embedded human lung cancer tissue with Rabbit anti-HIF Prolyl Hydroxylases antibody (HA722468) at 1/1,000 dilution.
The section was pre-treated using heat mediated antigen retrieval with Tris-EDTA buffer (pH 9.0) for 20 minutes. The tissues were blocked in 1% BSA for 20 minutes at room temperature, washed with ddH2O and PBS, and then probed with the primary antibody (HA722468) at 1/1,000 dilution for 1 hour at room temperature. The detection was performed using an HRP conjugated compact polymer system. DAB was used as the chromogen. Tissues were counterstained with hematoxylin and mounted with DPX.
-
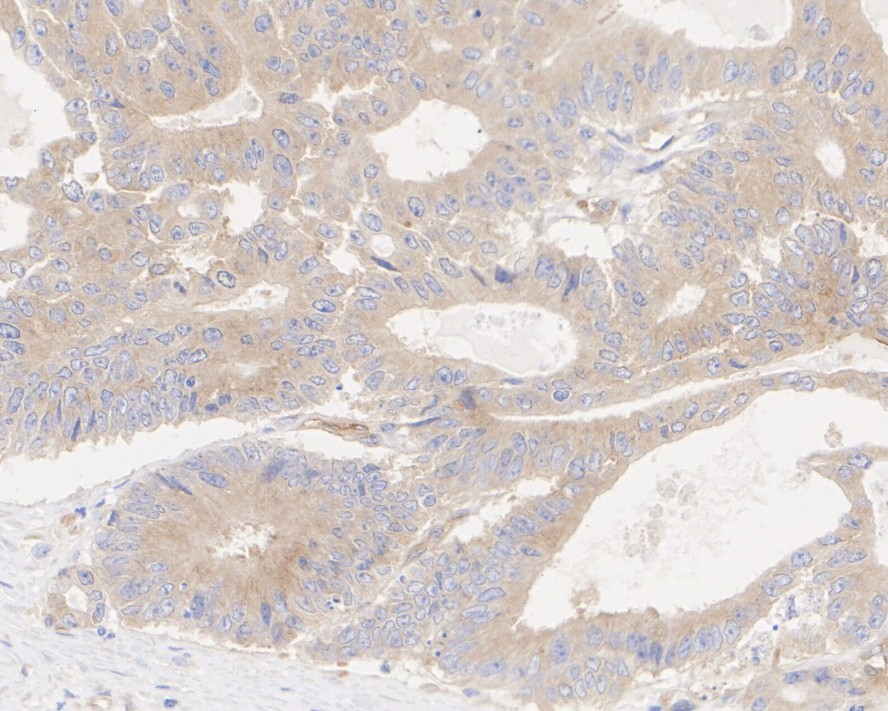
Immunohistochemical analysis of paraffin-embedded human colon cancer tissue with Rabbit anti-HIF Prolyl Hydroxylases antibody (HA722468) at 1/1,000 dilution.
The section was pre-treated using heat mediated antigen retrieval with Tris-EDTA buffer (pH 9.0) for 20 minutes. The tissues were blocked in 1% BSA for 20 minutes at room temperature, washed with ddH2O and PBS, and then probed with the primary antibody (HA722468) at 1/1,000 dilution for 1 hour at room temperature. The detection was performed using an HRP conjugated compact polymer system. DAB was used as the chromogen. Tissues were counterstained with hematoxylin and mounted with DPX.
-
HIF Prolyl Hydroxylases was immunoprecipitated from 0.2 mg HEK-293 cell lysate with HA722468 at 2 µg/10 µl beads. Western blot was performed from the immunoprecipitate using HA722468 at 1/1,000 dilution. Anti-Rabbit IgG for IP Nano-secondary antibody (NBI01H) at 1/5,000 dilution was used for 1 hour at room temperature.
Lane 1: HEK-293 cell lysate (input)
Lane 2: HA722468 IP in HEK-293 cell lysate
Lane 3: Rabbit IgG instead of HA722468 in HEK-293 cell lysate
Blocking/Dilution buffer: 5% NFDM/TBST
Exposure time: 26 seconds; ECL: K1801
-
Flow cytometric analysis of HEK-293 cells labeling HIF Prolyl Hydroxylases.
Cells were fixed and permeabilized. Then stained with the primary antibody (HA722468, 1/1,000) (red) compared with Rabbit IgG Isotype Control (green). After incubation of the primary antibody at +4℃ for an hour, the cells were stained with a iFluor™ 488 conjugate-Goat anti-Rabbit IgG Secondary antibody (HA1121) at 1/1,000 dilution for 30 minutes at +4℃. Unlabelled sample was used as a control (cells without incubation with primary antibody; black).
请注意: All products are "FOR RESEARCH USE ONLY AND ARE NOT INTENDED FOR DIAGNOSTIC OR THERAPEUTIC USE"