-
Application: IHC-Fr
Species: Mouse
Site: hippocampus
Sample: Frozen section
Antibody concentration: 1/500
Antigen retrieval: Not required
-
Immunohistochemical analysis of paraffin-embedded mouse striatum tissue with Rabbit anti-CaV2.3 / CACNA1E antibody (HA751470) at 1/3,000 dilution.
The section was pre-treated using heat mediated antigen retrieval with Tris-EDTA buffer (pH 9.0) for 20 minutes. The tissues were blocked in 1% BSA for 20 minutes at room temperature, washed with ddH2O and PBS, and then probed with the primary antibody (HA751470) at 1/3,000 dilution for 1 hour at room temperature. The detection was performed using an HRP conjugated compact polymer system. DAB was used as the chromogen. Tissues were counterstained with hematoxylin and mounted with DPX.
-
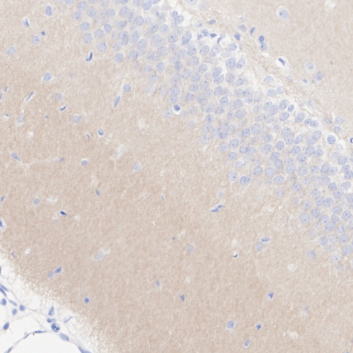
Immunohistochemical analysis of paraffin-embedded mouse hippocampus tissue with Rabbit anti-CaV2.3 / CACNA1E antibody (HA751470) at 1/6,000 dilution.
The section was pre-treated using heat mediated antigen retrieval with Tris-EDTA buffer (pH 9.0) for 20 minutes. The tissues were blocked in 1% BSA for 20 minutes at room temperature, washed with ddH2O and PBS, and then probed with the primary antibody (HA751470) at 1/6,000 dilution for 1 hour at room temperature. The detection was performed using an HRP conjugated compact polymer system. DAB was used as the chromogen. Tissues were counterstained with hematoxylin and mounted with DPX.
-
☑ Relative expression (RE)
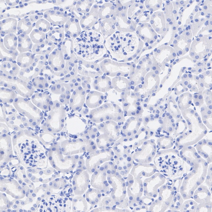
Immunohistochemical analysis of paraffin-embedded mouse kidney tissue (negative) with Rabbit anti-CaV2.3 / CACNA1E antibody (HA751470) at 1/3,000 dilution.
The section was pre-treated using heat mediated antigen retrieval with Tris-EDTA buffer (pH 9.0) for 20 minutes. The tissues were blocked in 1% BSA for 20 minutes at room temperature, washed with ddH2O and PBS, and then probed with the primary antibody (HA751470) at 1/3,000 dilution for 1 hour at room temperature. The detection was performed using an HRP conjugated compact polymer system. DAB was used as the chromogen. Tissues were counterstained with hematoxylin and mounted with DPX.
-
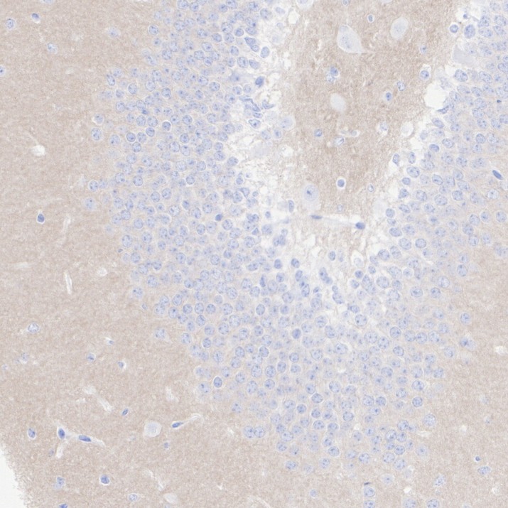
Immunohistochemical analysis of paraffin-embedded rat hippocampus tissue with Rabbit anti-CaV2.3 / CACNA1E antibody (HA751470) at 1/6,000 dilution.
The section was pre-treated using heat mediated antigen retrieval with Tris-EDTA buffer (pH 9.0) for 20 minutes. The tissues were blocked in 1% BSA for 20 minutes at room temperature, washed with ddH2O and PBS, and then probed with the primary antibody (HA751470) at 1/6,000 dilution for 1 hour at room temperature. The detection was performed using an HRP conjugated compact polymer system. DAB was used as the chromogen. Tissues were counterstained with hematoxylin and mounted with DPX.
-
☑ Relative expression (RE)
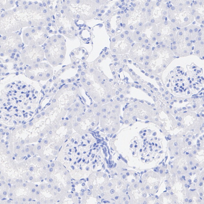
Immunohistochemical analysis of paraffin-embedded rat kidney tissue (negative) with Rabbit anti-CaV2.3 / CACNA1E antibody (HA751470) at 1/3,000 dilution.
The section was pre-treated using heat mediated antigen retrieval with Tris-EDTA buffer (pH 9.0) for 20 minutes. The tissues were blocked in 1% BSA for 20 minutes at room temperature, washed with ddH2O and PBS, and then probed with the primary antibody (HA751470) at 1/3,000 dilution for 1 hour at room temperature. The detection was performed using an HRP conjugated compact polymer system. DAB was used as the chromogen. Tissues were counterstained with hematoxylin and mounted with DPX.
-
☑ Relative expression (RE)
Western blot analysis of CaV2.3 / CACNA1E on different lysates with Rabbit anti-CaV2.3 / CACNA1E antibody (HA751470) at 1/5,000 dilution.
Lane 1: Mouse brain tissue lysate (no heat)
Lane 2: Mouse hippocampus tissue lysate (no heat)
Lane 3: Mouse lung tissue lysate (negative) (no heat)
Lane 4: Rat brain tissue lysate (no heat)
Notice: no heat means the lysate is not boiled.
Lysates/proteins at 30 µg/Lane.
Predicted band size: 262 kDa
Observed band size: 257 kDa
Exposure time: 46 seconds; ECL: K1801;
3-8% SDS-PAGE gel.
Proteins were transferred to a PVDF membrane and blocked with 5% NFDM/TBST for 1 hour at room temperature. The primary antibody (HA751470) at 1/5,000 dilution was used in primary antibody dilution (K1803) at 4℃ overnight. Goat Anti-Rabbit IgG - HRP Secondary Antibody (HA1001) at 1/50,000 dilution was used for 1 hour at room temperature.
请注意: All products are "FOR RESEARCH USE ONLY AND ARE NOT INTENDED FOR DIAGNOSTIC OR THERAPEUTIC USE"