Skip to content

CRBN Recombinant Rabbit Monoclonal Antibody [PSH0-70] - BSA and Azide free

RMB: 5600

产品规格

Catalog# HA750647

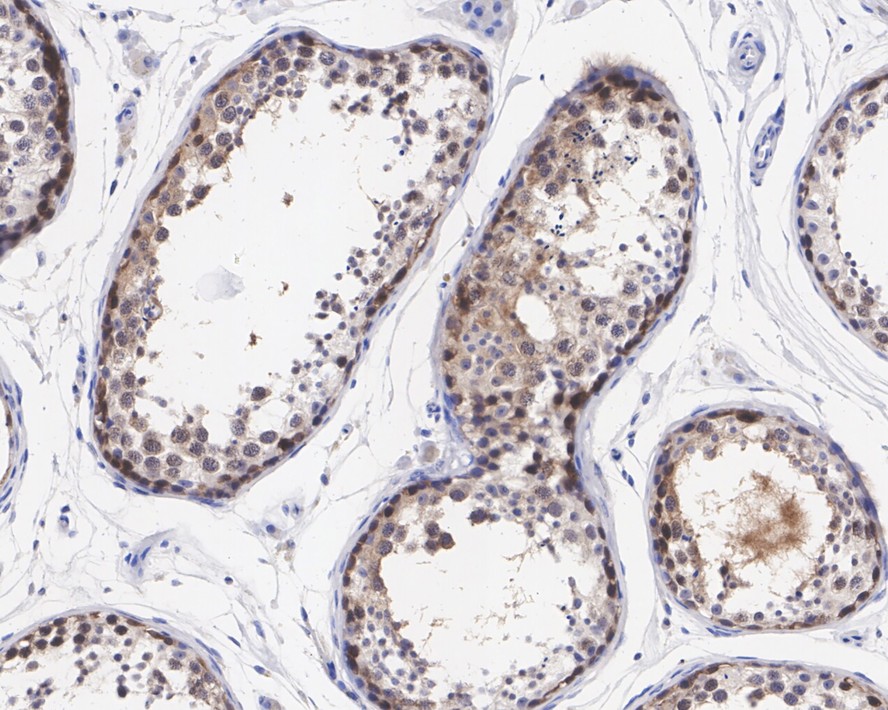
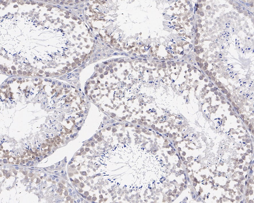
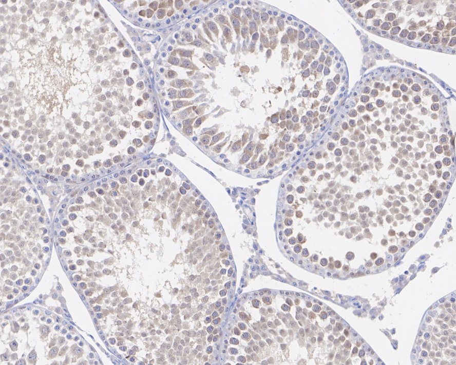
CRBN Recombinant Rabbit Monoclonal Antibody [PSH0-70] - BSA and Azide free

Application
  • WB

  • IHC-P

Reactivity
  • Human

  • Mouse

  • Rat

With BSA and Azide
Conjugation
  • unconjugated

Close (esc)

Popup

Use this popup to embed a mailing list sign up form. Alternatively use it as a simple call to action with a link to a product or a page.

Age verification

By clicking enter you are verifying that you are old enough to consume alcohol.

搜索