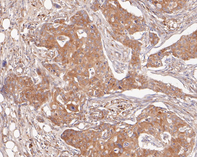
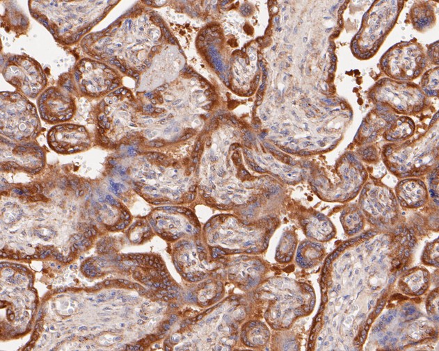
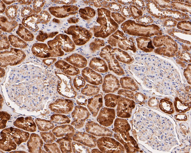
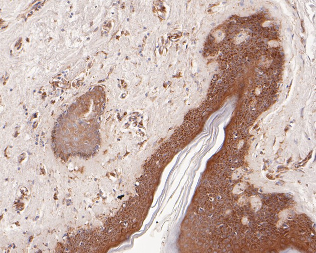
Bad Recombinant Rabbit Monoclonal Antibody [SA32-01] - BSA and Azide free
Catalog# HA750025
Bad Recombinant Rabbit Monoclonal Antibody [SA32-01] - BSA and Azide free
Application
-
WB
-
IF-Cell
-
IF-Tissue
-
IHC-P
-
FC
-
IP
Reactivity
-
Human
With BSA and Azide
-
ET1601-7
含抗保成分
Predicted reactivity
预测的种属支持售后
-
Mouse
-
Rat
Conjugation
-
unconjugated
浙公网安备 33019202000643号