图片
-
Western blot analysis of TAZ / WWTR1 on different lysates with Rabbit anti-TAZ / WWTR1 antibody (HA723765) at 1/5,000 dilution.
Lane 1: HeLa cell lysate
Lane 2: PANC-1 cell lysate
Lane 3: SH-SY5Y cell lysate (low expression)
Lane 4: SK-MEL-28 cell lysate
Lane 5: Raji cell lysate (negative)
Lane 6: A375 cell lysate
Lane 7: F9 cell lysate
Lane 8: C2C12 cell lysate
Lane 9: NIH/3T3 cell lysate
Lane 10: C6 cell lysate
Lysates/proteins at 20 µg/Lane.
Predicted band size: 44 kDa
Observed band size: 50 kDa
Exposure time: 3 minutes; ECL: K1801;
4-20% SDS-PAGE gel.
Proteins were transferred to a PVDF membrane and blocked with 5% NFDM/TBST for 1 hour at room temperature. The primary antibody (HA723765) at 1/5,000 dilution was used in primary antibody dilution (K1803) at 4℃ overnight. Goat Anti-Rabbit IgG - HRP Secondary Antibody (HA1001) at 1/50,000 dilution was used for 1 hour at room temperature.
-
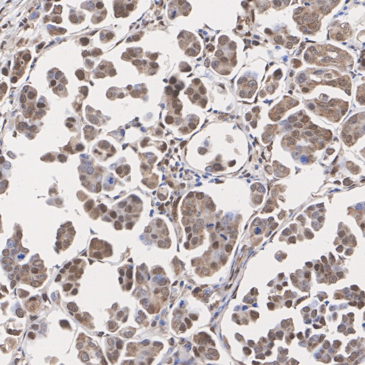
Immunohistochemical analysis of paraffin-embedded human breast carcinoma tissue with Rabbit anti-TAZ / WWTR1 antibody (HA723765) at 1/200 dilution.
The section was pre-treated using heat mediated antigen retrieval with Tris-EDTA buffer (pH 9.0) for 20 minutes. The tissues were blocked in 1% BSA for 20 minutes at room temperature, washed with ddH2O and PBS, and then probed with the primary antibody (HA723765) at 1/200 dilution for 1 hour at room temperature. The detection was performed using an HRP conjugated compact polymer system. DAB was used as the chromogen. Tissues were counterstained with hematoxylin and mounted with DPX.
-
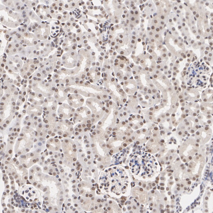
Immunohistochemical analysis of paraffin-embedded human kidney tissue with Rabbit anti-TAZ / WWTR1 antibody (HA723765) at 1/1,000 dilution.
The section was pre-treated using heat mediated antigen retrieval with Tris-EDTA buffer (pH 9.0) for 20 minutes. The tissues were blocked in 1% BSA for 20 minutes at room temperature, washed with ddH2O and PBS, and then probed with the primary antibody (HA723765) at 1/1,000 dilution for 1 hour at room temperature. The detection was performed using an HRP conjugated compact polymer system. DAB was used as the chromogen. Tissues were counterstained with hematoxylin and mounted with DPX.
-
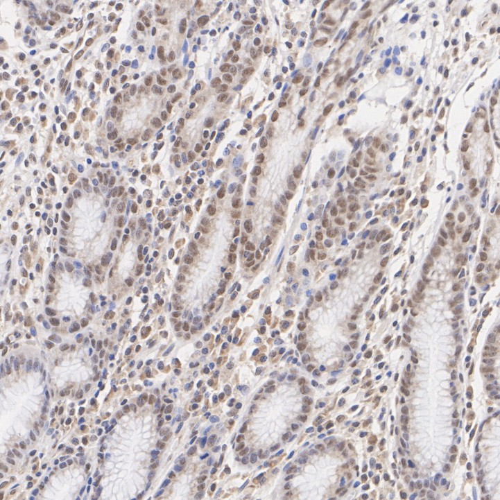
Immunohistochemical analysis of paraffin-embedded human stomach tissue with Rabbit anti-TAZ / WWTR1 antibody (HA723765) at 1/1,000 dilution.
The section was pre-treated using heat mediated antigen retrieval with Tris-EDTA buffer (pH 9.0) for 20 minutes. The tissues were blocked in 1% BSA for 20 minutes at room temperature, washed with ddH2O and PBS, and then probed with the primary antibody (HA723765) at 1/1,000 dilution for 1 hour at room temperature. The detection was performed using an HRP conjugated compact polymer system. DAB was used as the chromogen. Tissues were counterstained with hematoxylin and mounted with DPX.
-
Immunohistochemical analysis of paraffin-embedded mouse kidney tissue with Rabbit anti-TAZ / WWTR1 antibody (HA723765) at 1/1,000 dilution.
The section was pre-treated using heat mediated antigen retrieval with Tris-EDTA buffer (pH 9.0) for 20 minutes. The tissues were blocked in 1% BSA for 20 minutes at room temperature, washed with ddH2O and PBS, and then probed with the primary antibody (HA723765) at 1/1,000 dilution for 1 hour at room temperature. The detection was performed using an HRP conjugated compact polymer system. DAB was used as the chromogen. Tissues were counterstained with hematoxylin and mounted with DPX.
-
Immunohistochemical analysis of paraffin-embedded mouse stomach tissue with Rabbit anti-TAZ / WWTR1 antibody (HA723765) at 1/1,000 dilution.
The section was pre-treated using heat mediated antigen retrieval with Tris-EDTA buffer (pH 9.0) for 20 minutes. The tissues were blocked in 1% BSA for 20 minutes at room temperature, washed with ddH2O and PBS, and then probed with the primary antibody (HA723765) at 1/1,000 dilution for 1 hour at room temperature. The detection was performed using an HRP conjugated compact polymer system. DAB was used as the chromogen. Tissues were counterstained with hematoxylin and mounted with DPX.
-
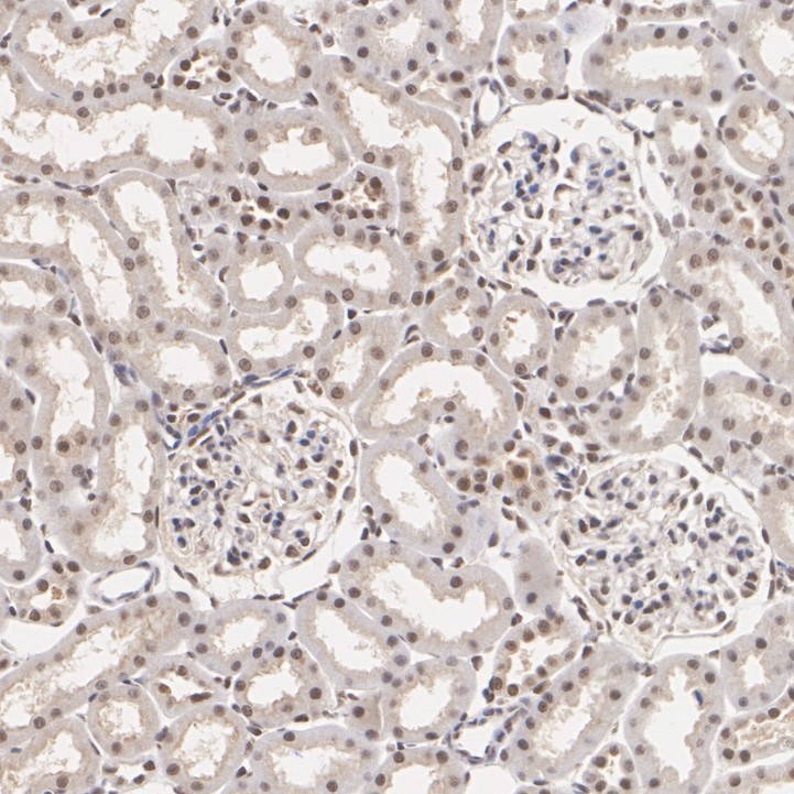
Immunohistochemical analysis of paraffin-embedded rat kidney tissue with Rabbit anti-TAZ / WWTR1 antibody (HA723765) at 1/1,000 dilution.
The section was pre-treated using heat mediated antigen retrieval with Tris-EDTA buffer (pH 9.0) for 20 minutes. The tissues were blocked in 1% BSA for 20 minutes at room temperature, washed with ddH2O and PBS, and then probed with the primary antibody (HA723765) at 1/1,000 dilution for 1 hour at room temperature. The detection was performed using an HRP conjugated compact polymer system. DAB was used as the chromogen. Tissues were counterstained with hematoxylin and mounted with DPX.
-
Immunohistochemical analysis of paraffin-embedded rat stomach tissue with Rabbit anti-TAZ / WWTR1 antibody (HA723765) at 1/1,000 dilution.
The section was pre-treated using heat mediated antigen retrieval with Tris-EDTA buffer (pH 9.0) for 20 minutes. The tissues were blocked in 1% BSA for 20 minutes at room temperature, washed with ddH2O and PBS, and then probed with the primary antibody (HA723765) at 1/1,000 dilution for 1 hour at room temperature. The detection was performed using an HRP conjugated compact polymer system. DAB was used as the chromogen. Tissues were counterstained with hematoxylin and mounted with DPX.
-
TAZ / WWTR1 was immunoprecipitated from 0.2 mg PANC-1 cell lysate with HA723765 at 2 µg/10 µl beads. Western blot was performed from the immunoprecipitate using HA723765 at 1/5,000 dilution. HRP Conjugated Anti-Rabbit IgG for IP Nano-secondary antibody at 1/5,000 dilution was used for 1 hour at room temperature.
Lane 1: PANC-1 cell lysate (input)
Lane 2: HA723765 IP in PANC-1 cell lysate
Lane 3: Rabbit IgG instead of HA723765 in PANC-1 cell lysate
Blocking/Dilution buffer: primary antibody dilution (K1803)
Exposure time: 3 minutes; ECL: K1801
-
TAZ / WWTR1 was immunoprecipitated from 0.2 mg C2C12 cell lysate with HA723765 at 2 µg/10 µl beads. Western blot was performed from the immunoprecipitate using HA723765 at 1/5,000 dilution. HRP Conjugated Anti-Rabbit IgG for IP Nano-secondary antibody at 1/5,000 dilution was used for 1 hour at room temperature.
Lane 1: C2C12 cell lysate (input)
Lane 2: HA723765 IP in C2C12 cell lysate
Lane 3: Rabbit IgG instead of HA723765 in C2C12 cell lysate
Blocking/Dilution buffer: primary antibody dilution (K1803)
Exposure time: 20 seconds; ECL: K1801
请注意: All products are "FOR RESEARCH USE ONLY AND ARE NOT INTENDED FOR DIAGNOSTIC OR THERAPEUTIC USE"