Catalog# HA723182
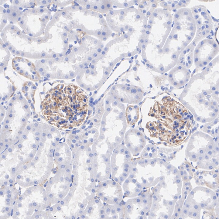
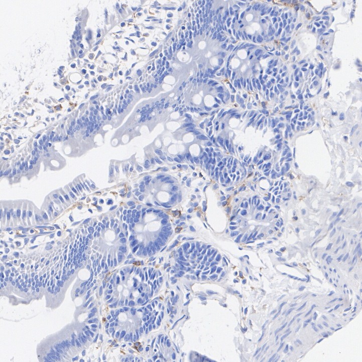
Integrin beta 5 Recombinant Rabbit Monoclonal Antibody [PSH10-13]
Application
-
WB
-
IHC-P
Reactivity
-
Human
-
Rat
-
Monkey
BSA and Azide free
-
HA751342
不含抗保成分
Conjugation
-
unconjugated


浙公网安备 33019202000643号