Catalog# HA722718
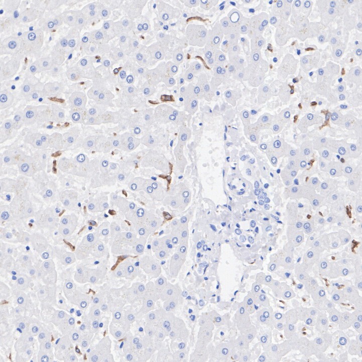
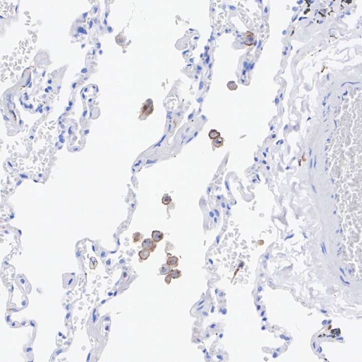
VSIG4 Recombinant Rabbit Monoclonal Antibody [PSH06-55]
Application
-
WB
-
IHC-P
Reactivity
-
Human
BSA and Azide free
-
HA751083
不含抗保成分
Conjugation
-
unconjugated


浙公网安备 33019202000643号