Catalog# HA722578
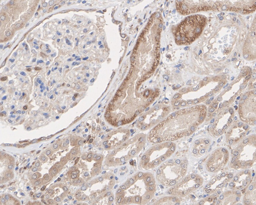
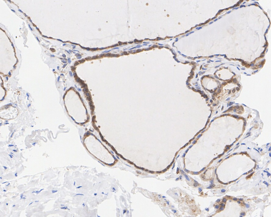
SFT Recombinant Rabbit Monoclonal Antibody [JE64-46]
Application
-
WB
-
IHC-P
-
IP
Reactivity
-
Human
-
Mouse
-
Rat


