Catalog# HA722277
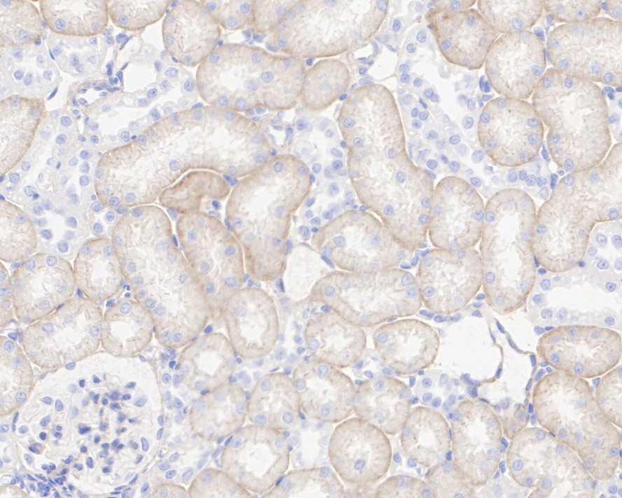
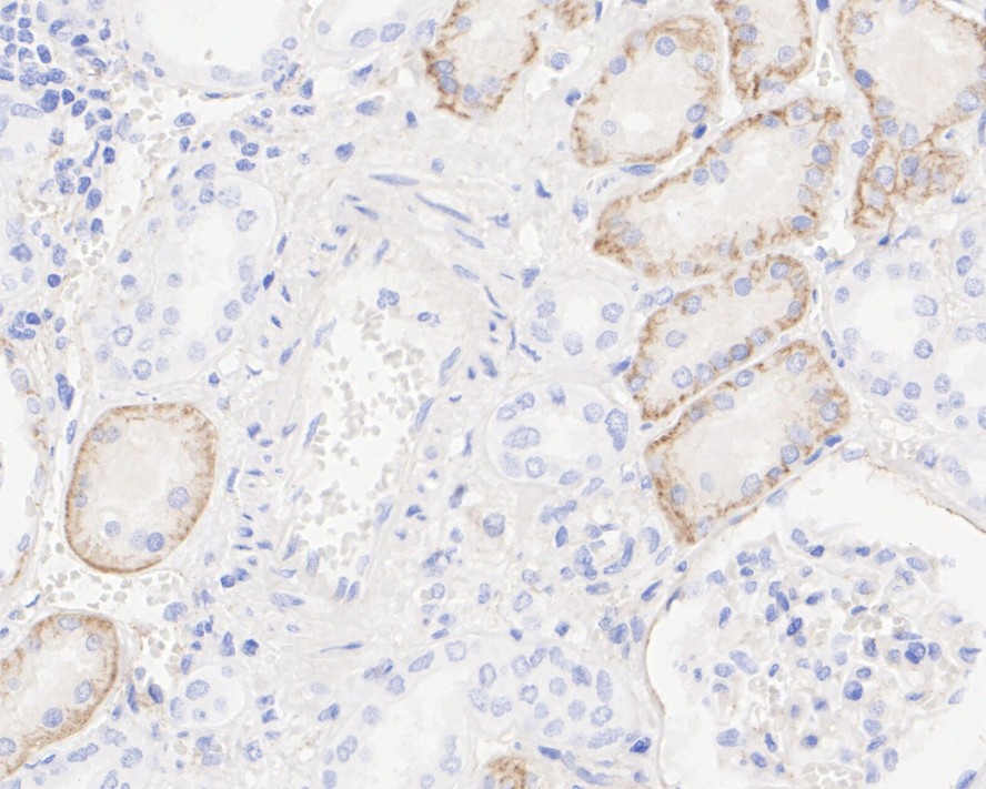
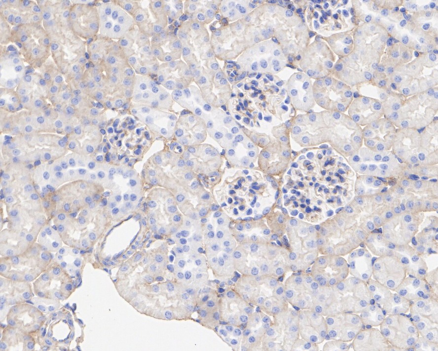
K Cadherin Recombinant Rabbit Monoclonal Antibody [JE40-27]
Application
-
WB
-
IHC-P
-
IF-Tissue
Reactivity
-
Human
-
Mouse
-
Rat
Conjugation
-
unconjugated


浙公网安备 33019202000643号