Protein delta homolog 1, delta like non-canonical Notch ligand 1, fetal antigen 1 or preadipocyte factor 1 is a protein that in humans is encoded by the DLK1 gene. It is expressed as a transmembrane protein, but a soluble form cleaved off by ADAM17 is active in inhibiting adipogenesis, the differentiation of pre-adipocytes into adipocytes. It is a member of the EGF-like family of homeotic proteins. Part of the Dlk1-DIO3 imprinting control region, this gene is one involved in the epigenetic process that causes a subset of genes to be regulated based on their parental origin. Such imprinted genes are required for the formation of the placenta as well as the development of cellular lineages such as those derived from the mesoderm and ectoderm.
背景文献
1. Grassi ES et al. Emerging Roles of DLK1 in the Stem Cell Niche and Cancer Stemness. J Histochem Cytochem. 2022 Jan
2. Zhai Y et al. DLK1-directed chimeric antigen receptor T-cell therapy for hepatocellular carcinoma. Liver Int. 2022 Nov
Western blot analysis of DLK-1 on different lysates with Rabbit anti-DLK-1 antibody (HA722180) at 1/1,000 dilution.
Lane 1: MCF7 cell lysate (20 µg/Lane) Lane 2: HepG2 cell lysate (20 µg/Lane) Lane 3: SH-SY5Y cell lysate (20 µg/Lane) Lane 4: Mouse placenta tissue lysate (70℃ heat) (40 µg/Lane) Lane 5: Rat embryo tissue lysate (40 µg/Lane)
Predicted band size: 41 kDa Observed band size: 40-50kDa
Exposure time: Lane 1-4: 2 minutes; Lane 5: 27 seconds; ECL: K1801;
4-20% SDS-PAGE gel.
Proteins were transferred to a PVDF membrane and blocked with 5% NFDM/TBST for 1 hour at room temperature. The primary antibody (HA722180) at 1/1,000 dilution was used in 5% NFDM/TBST at 4℃ overnight. Goat Anti-Rabbit IgG - HRP Secondary Antibody (HA1001) at 1/50,000 dilution was used for 1 hour at room temperature.
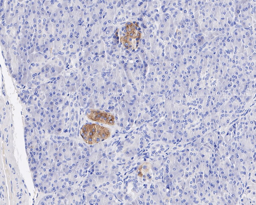
Immunohistochemical analysis of paraffin-embedded human pancreas tissue with Rabbit anti-DLK-1 antibody (HA722180) at 1/200 dilution.
The section was pre-treated using heat mediated antigen retrieval with Tris-EDTA buffer (pH 9.0) for 20 minutes. The tissues were blocked in 1% BSA for 20 minutes at room temperature, washed with ddH2O and PBS, and then probed with the primary antibody (HA722180) at 1/200 dilution for 1 hour at room temperature. The detection was performed using an HRP conjugated compact polymer system. DAB was used as the chromogen. Tissues were counterstained with hematoxylin and mounted with DPX.
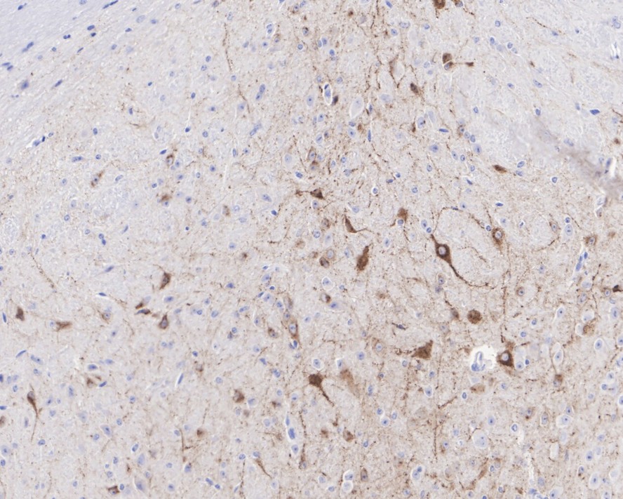
Immunohistochemical analysis of paraffin-embedded mouse brain tissue with Rabbit anti-DLK-1 antibody (HA722180) at 1/1,000 dilution.
The section was pre-treated using heat mediated antigen retrieval with Tris-EDTA buffer (pH 9.0) for 20 minutes. The tissues were blocked in 1% BSA for 20 minutes at room temperature, washed with ddH2O and PBS, and then probed with the primary antibody (HA722180) at 1/1,000 dilution for 1 hour at room temperature. The detection was performed using an HRP conjugated compact polymer system. DAB was used as the chromogen. Tissues were counterstained with hematoxylin and mounted with DPX.
Immunohistochemical analysis of paraffin-embedded rat brain tissue with Rabbit anti-DLK-1 antibody (HA722180) at 1/1,000 dilution.
The section was pre-treated using heat mediated antigen retrieval with Tris-EDTA buffer (pH 9.0) for 20 minutes. The tissues were blocked in 1% BSA for 20 minutes at room temperature, washed with ddH2O and PBS, and then probed with the primary antibody (HA722180) at 1/1,000 dilution for 1 hour at room temperature. The detection was performed using an HRP conjugated compact polymer system. DAB was used as the chromogen. Tissues were counterstained with hematoxylin and mounted with DPX.
请注意: All products are "FOR RESEARCH USE ONLY AND ARE NOT INTENDED FOR DIAGNOSTIC OR THERAPEUTIC USE"