Catalog# HA722016
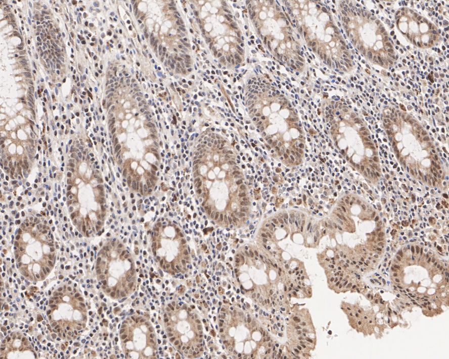
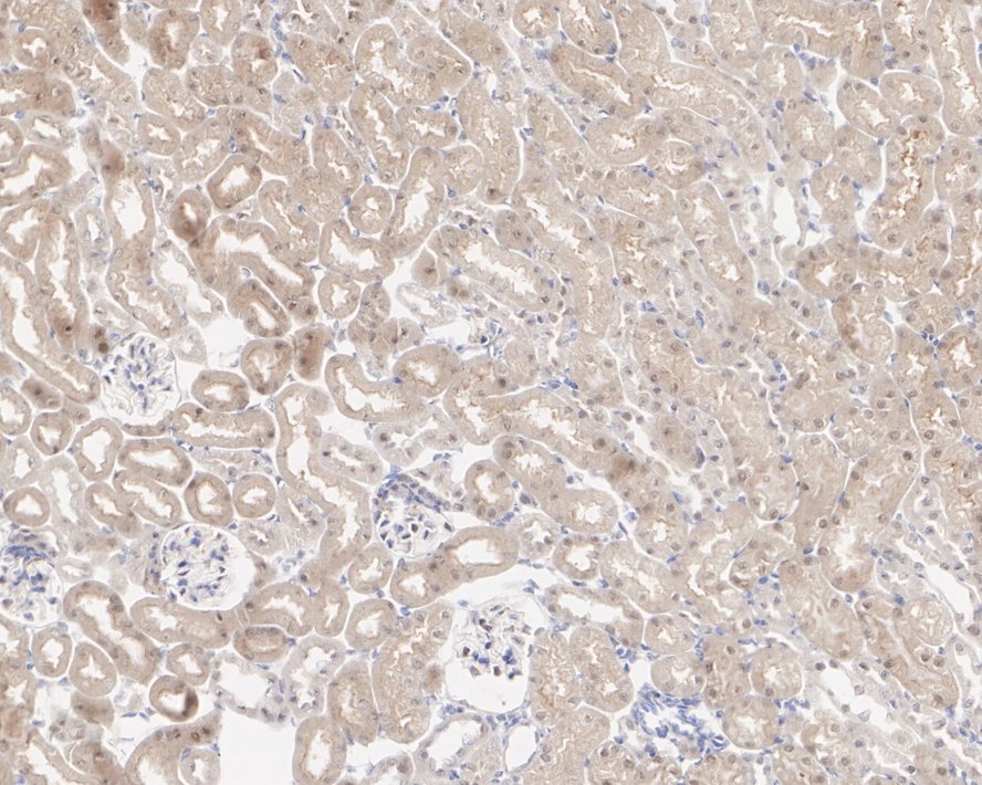
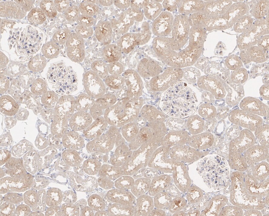
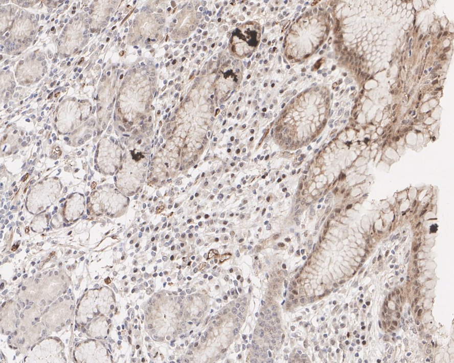
UFSP2 Recombinant Rabbit Monoclonal Antibody [PSH03-57]
Application
-
WB
-
IHC-P
Reactivity
-
Human
-
Mouse
-
Rat
BSA and Azide free
-
HA750891
不含抗保成分
Conjugation
-
unconjugated


浙公网安备 33019202000643号